Bà Điệp, 72 tuổi, khó thở, tim đập nhanh, điều trị tăng áp phổi không cải thiện, bác sĩ chẩn đoán liệt cơ hoành sau chấn thương 30 năm trước dẫn đến chèn ép tim.

Gần đây bà Điệp mệt, hồi hộp, tim đập nhanh, nằm ngửa không thở được, hụt hơi, nói ngắt quãng, đo SpO2 tại nhà có lúc ghi nhận 85% (chỉ tình trạng thiếu oxy máu). Bà đi khám ở Đà Nẵng được bác sĩ chỉ định uống thuốc điều trị suy tim và tăng áp phổi, tình trạng không cải thiện nên đến Phòng khám Đa khoa Tâm Anh Quận 7.
Bác sĩ kiểm tra lâm sàng ghi nhận âm thở gần như mất ở 2/3 dưới phổi phải. Bà bị hở van ba lá trung bình, áp lực động mạch phổi 60-70 mmHg (bình thường khoảng 25 mmHg), suy tim độ ba. Hẹp mạch vành mức độ trung bình, đặc biệt cơ hoành phải nâng cao vào lồng ngực, chèn ép tim nhiều.
Bà Điệp cho biết từng bị tai nạn giao thông hơn 30 năm trước, được chẩn đoán liệt thần kinh hoành phải. Lúc trẻ, sức khỏe còn tốt, không có triệu chứng nên bà không điều trị.
PGS.TS.BS Phạm Nguyễn Vinh, Giám đốc Trung tâm Tim mạch, Bệnh viện Đa khoa Tâm Anh TP HCM, nhận định cơ hoành chèn ép tim ảnh hưởng đến áp lực động mạch phổi của bà Điệp. “Đây là lần đầu tiên bênh viện ghi nhận một trường hợp đặc biệt, vì chèn ép cơ học mà dẫn đến tăng áp động mạch phổi nặng”, phó giáo sư Vinh nói, giải thích thêm rằng nguyên nhân chủ yếu gây ra tăng áp phổi bao gồm bệnh phổi, tim mạch, huyết khối thuyên tắc động mạch phổi… Nếu không phát hiện và điều trị kịp thời người bệnh có nguy cơ suy tim nặng, suy hô hấp…

ThS.BS Trần Thúc Khang, Phó khoa Ngoại Tim mạch, Trung tâm Tim mạch, giải thích cơ hoành là một cơ hô hấp, được chi phối bởi dây thần kinh hoành. Thông thường khi hít vào, cơ hoành đi xuống. Trong trường hợp tổn thương thần kinh hoành gây liệt cơ hoành, khi người bệnh hít vào, cơ hoành di chuyển ngược lại và đi lên cao trên lồng ngực (do áp lực âm trên lồng ngực).
Theo thời gian cơ hoành bị các tạng trong ổ bụng (áp lực dương) đẩy lên cao vào trong lồng ngực. Điều này làm giảm thể tích lồng ngực, xô đẩy tim, cấu trúc trong trung thất, khiến bệnh nhân khó thở ở nhiều mức độ khác nhau.
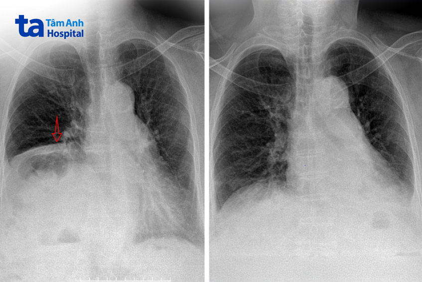
Bác sĩ Khang cho biết hiện nay khâu nếp gấp cơ hoành qua nội soi lồng ngực là phương pháp điều trị hiệu quả nhất. Mục đích của phẫu thuật là làm căng cơ hoành, trả lại thể tích khoang lồng ngực như ban đầu. Ở bệnh nhân này, hình ảnh chụp X-quang sau mổ, cơ hoành phải đã trở về vị trí gần như bình thường.
Bà Điệp ra viện sau mổ 4 ngày, chức năng hô hấp cải thiện rõ, hết khó thở, siêu âm tim kiểm tra áp lực động mạch phổi còn 32 mmHg trở về gần như bình thường. Bà tiếp tục tập vật lý trị liệu, uống thuốc và tái khám theo chỉ định.
“Tôi rất mừng vì bác sĩ điều trị đúng nguyên nhân, sức khỏe của tôi cải thiện rõ rệt, thở nhẹ nhàng và dễ chịu hơn so với trước đây, đặc biệt là khi nằm ngửa”, bà Điệp nói. Bà cụ 72 tuổi hy vọng thời gian tới có thể cùng gia đình trở lại thăm Ai Cập cổ đại một lần nữa, bởi sức khỏe sa sút khiến bà không thể du lịch nước ngoài 10 năm nay.

Liệt cơ hoành không thường gặp, dễ nhầm lẫn với các triệu chứng tim mạch hoặc hô hấp như khó thở, hụt hơi, nhất là khi gắng sức hoặc nằm ngửa. Nguyên nhân có thể bao gồm chấn thương (ngực, cột sống cổ, sau phẫu thuật tim hoặc vùng ngực – cổ…), hay trong các bệnh lý (khối u trung thất xâm lấn thần kinh hoành, bệnh lý thần kinh cơ…).
Điều trị liệt cơ hoành phụ thuộc vào nguyên nhân, triệu chứng, mức độ bệnh, tình trạng sức khỏe của người bệnh. Phương pháp bao gồm hỗ trợ thông khí, phẫu thuật gấp nếp, tạo nhịp cơ hoành… Phó giáo sư Vinh khuyến nghị các trường hợp xuất hiện triệu chứng như hụt hơi, thở nhanh và nông, khó thở khi gắng sức, đau ngực, không thể nằm ngửa, chóng mặt, ngất xỉu, khó nuốt, đầy bụng, nấc cụt liên tục và kéo dài… cần đến ngay cơ sở y tế chuyên khoa để được chẩn đoán.
*Tên người bệnh đã được thay đổi
HỆ THỐNG BỆNH VIỆN ĐA KHOA TÂM ANH