Bà Lành, 70 tuổi, hai xương đùi ngày càng biến dạng, thân dưới bất động nhưng nhầm tưởng bệnh khác; nay bác sĩ phát hiện gãy cả hai xương đùi.

“Đây là một trường hợp khá hi hữu, sau tai nạn hơn 7 tháng mới phát hiện gãy xương đùi, trong khi gãy xương thường phát hiện nhanh chóng và cần điều trị càng sớm càng tốt”, ThS.BS Trần Ngọc Chọn, Trung tâm Chấn thương Chỉnh hình, Bệnh viện Đa khoa Tâm Anh TP HCM, cho biết.
Hơn 7 tháng trước, bà Lành bị tai nạn giao thông, được chẩn đoán dập tủy và phải phẫu thuật cột sống. Từ đó đến nay, tình trạng sưng đau, biến dạng hai bên đùi ngày càng nghiêm trọng. Bà Lành đau rất nhiều khi cử động, chỉ có thể xoay trở phần thân trên, bất động thân dưới và phải nằm băng ca. Bà không đi khám do nhầm tưởng tác động của bệnh ở cột sống như chẩn đoán ban đầu sau tai nạn.
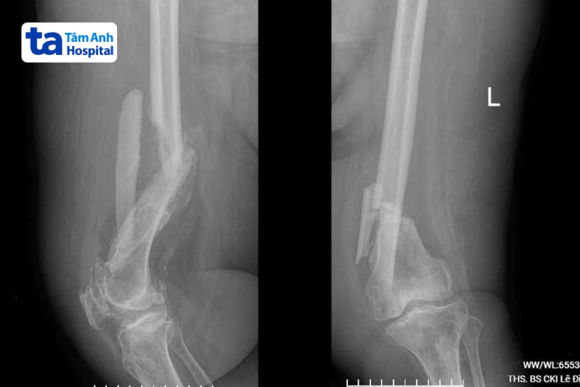
Kết quả chụp X-quang cho thấy người bệnh bị gãy xương đùi ở cả hai chân, mức độ gãy phức tạp. Bác sĩ nhận định bà Lành đang đối mặt các cơn đau đớn, đã xuất hiện tình trạng huyết khối ở động mạch phổi, đùi và cẳng chân hai bên. Cục huyết khối có thể gây tắc nghẽn mạch máu tại chỗ hoặc di chuyển theo dòng máu và gây tắc ở nơi khác, dẫn đến đột quỵ hoặc nhồi máu cơ tim.

Ngay sau khi chẩn đoán, các bác sĩ chỉ định phẫu thuật cho bà Lành bằng kỹ thuật nẹp vít kết hợp xương, thực hiện trước với chân trái. Theo kỹ thuật này, bác sĩ sẽ sắp xếp lại các mảnh xương gãy vào đúng vị trí, sau đó cố định bằng các nẹp vít kim loại được gắn vào bề ngoài của xương.
Bác sĩ Chọn cho biết đây là kỹ thuật không khó nhưng thách thức đặt ra là người bệnh đã nằm lâu một chỗ, nguy cơ huyết khối làm tắc nghẽn mạch máu trong lúc mổ. Đồng thời, do điều trị chậm trễ, các can xương (xương mềm mới tạo thành xung quanh chỗ gãy xương) đã mọc ra rất nhiều và hai đầu xương gãy chồng lên nhau làm ngắn chân.
Vì vậy, việc loại bỏ can xương, nắn chỉnh lại xương có thể mất nhiều thời gian. Trong khi đó, người bệnh có nhiều bệnh nền như tim mạch, tăng huyết áp, rối loạn lipid máu, bệnh mạch vành mạn… Nếu thời gian phẫu thuật kéo dài, có thể làm tăng nguy cơ mất máu, tổn thương tim mạch, thậm chí ngưng tim, ngưng phổi trong và cả sau mổ.
Các bác sĩ hội chẩn đa chuyên khoa gồm chấn thương chỉnh hình, tim mạch, gây mê, nội tổng hợp để đảm bảo an toàn trước, trong và sau phẫu thuật. ThS.BS Nguyễn Thị Thùy Linh, Trung tâm Chấn thương Chỉnh hình, cho biết trước khi phẫu thuật, người bệnh được chỉ định điều trị ổn định nội khoa, giải quyết tình trạng thuyên tắc huyết khối. Từ đó, nâng đỡ tổng trạng và phòng ngừa các biến chứng nguy hiểm.
Trong quá trình phẫu thuật, kế hoạch gây mê cho người bệnh được chú ý và theo dõi sát sao để tránh nguy cơ trụy mạch, ngưng tim trên bàn mổ. Đối với những trường hợp bệnh lý phức tạp, ca mổ có thể kéo dài đến 4 giờ. Tuy nhiên, nhờ sự chuẩn bị kỹ càng và phối hợp ăn ý của ê kíp bác sĩ, ca phẫu thuật của bà Lành kết thúc tốt đẹp chỉ sau 2 giờ.
Sau phẫu thuật, người bệnh cho biết chân trái giảm đau rõ rệt, có thể tự ngồi dậy và thực hiện một số sinh hoạt. Sau 7 ngày, người bệnh xuất viện. Bà Lành được hẹn phẫu thuật lần 2 ở chân phải vào 3 tháng sau. Bác sĩ dự kiến tiên lượng điều trị tốt, tương tự ca mổ vừa diễn ra.

Bác sĩ Chọn cho biết thêm, đa số các trường hợp gãy xương đùi thường phải phẫu thuật, rất hiếm khi có thể điều trị bảo tồn thành công. Gãy xương nói chung cũng là tình trạng cần được điều trị càng sớm càng tốt. Người bệnh nghi ngờ gãy xương, cần sớm đến khám tại bệnh viện chuyên khoa để kịp thời điều trị. Gãy xương làm giảm khả năng vận động, nhiều người bệnh có thể phải nằm một chỗ. Điều này làm tăng nguy cơ mắc phải các biến chứng nguy hiểm như loét tì đè, huyết khối, nhiễm trùng tiểu, tăng nguy cơ tử vong.
* Tên người bệnh đã được thay đổi
HỆ THỐNG BỆNH VIỆN ĐA KHOA TÂM ANH