Bé Trang, 10 tuổi, đau âm ỉ ba ngày không khỏi, gia đình đưa đi khám, kết quả siêu âm ghi nhận viêm có sỏi do phân cứng lại trong ruột thừa.

Ngày 17/2, BS.CKI Nguyễn Thanh Sơn Vũ, chuyên khoa Ngoại Nhi, Bệnh viện Đa khoa Tâm Anh TP HCM cho biết ban đầu cơn đau xuất hiện từ trên rốn rồi lan xuống hố chậu phải.
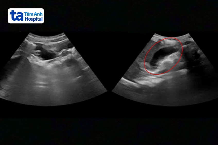
Kết quả xét nghiệm máu cho thấy chỉ số bạch cầu của bé là 13.000/mm3, bình thường 4.000-10.000/mm3 máu. Siêu âm đường kính ruột thừa 10-12mm kèm sỏi phân trong lòng ruột thừa, còn bình thường đường kính dưới 6mm.
Sỏi phân là khối sỏi tiêu hóa hình thành do phân cứng lại thành một hay nhiều cục kích thước khác nhau trong đường ruột. Nguyên nhân do chế độ ăn uống mất cân đối, ít chất xơ, nhiều thịt đỏ.
“Bé Trang viêm ruột thừa có thể do sỏi phân bị kẹt ngay chỗ nối giữa ruột thừa và manh tràng”, bác sĩ Vũ thông tin.

Êkíp ngoại nhi phẫu thuật trong đêm, cắt ruột thừa qua nội soi. Bác sĩ xác định đoạn ruột thừa bị viêm và cắt bỏ, bên trong có nhiều cục sỏi cứng. Sau phẫu thuật tình trạng bé ổn định, vết mổ nhỏ, thẩm mỹ và được xuất viện sau hai ngày. May mắn bé Trang được nhập viện và chẩn đoán sớm, ruột thừa chưa vỡ. Nếu tình trạng viêm kéo dài lâu hơn có thể nhiễm trùng vùng bụng, sốc nhiễm khuẩn, thậm chí có thể gây tử vong.
Viêm ruột thừa là tình trạng nhiễm khuẩn, có thể do chất nhầy hoặc phân cứng tích tụ trong ruột gây tắc nghẽn lòng ruột thừa. Một số trường hợp do virus gây ra hoặc tăng sản bạch huyết ở niêm mạc và dưới niêm mạc ruột thừa, tổn thương đường ruột, búi giun, dị vật…
Bệnh có thể xảy ra ở mọi lứa tuổi. Biểu hiện đặc trưng là cơn đau bắt đầu ở vùng rốn, có thể là cảm giác đau nhẹ, âm ỉ, di chuyển đến góc dưới bụng bên phải. Sau đó, người bệnh đau liên tục và tăng lên khi vận động, ho…

Một số trẻ có triệu chứng đau bụng kèm sốt 38-39 độ C, bạch cầu tăng, chán ăn, buồn nôn, tiêu chảy… Theo bác sĩ Sơn Vũ, bệnh dễ bị nhầm lẫn với các bệnh lý tiêu hóa nên phụ huynh khó nhận biết, thường tự mua thuốc cho con uống, bỏ lỡ “thời gian vàng” cấp cứu.
Khi trẻ có các dấu hiệu hoặc nghi ngờ bệnh, phụ huynh cần nhanh chóng đưa trẻ đến bệnh viện. Bác sĩ sẽ khám bụng, xét nghiệm máu kết hợp siêu âm hoặc chụp X-quang bụng kiểm tra.
Viêm ruột thừa cấp tính không thể phòng ngừa. Tuy nhiên, phụ huynh có thể điều chỉnh lối sống giúp trẻ giảm nguy cơ mắc bệnh như tẩy giun định kỳ, ăn uống lành mạnh, rửa tay bằng xà phòng và nước sạch trước khi ăn…
HỆ THỐNG BỆNH VIỆN ĐA KHOA TÂM ANH