Bệnh nhân bị phù phổi, suy tim, suy thận nặng do nhồi máu cơ tim được ekip khoa Cấp cứu – Nội tim mạch – Lọc thận – Thông tim can thiệp – Hồi sức tích cực Bệnh viện Tâm Anh điều trị ròng rã hơn 1 tháng, đã hồi sinh kỳ diệu.
Hơn một tháng kể từ khi rời quê nhà Đồng Tháp lên TP.HCM cấp cứu, bà Tuyết Minh (63 tuổi) được ra viện trong niềm hạnh phúc của cả gia đình. Bà vui mừng: “Tôi vượt qua cửa tử lần này là nhờ được các bác sĩ Bệnh viện Đa khoa Tâm Anh tận tình cứu chữa và chăm sóc. Không chỉ hồi sinh, sức khỏe của tôi còn cải thiện rõ rệt so với thời điểm chưa nhập viện. Tôi hy vọng với kỹ thuật điều trị ngày càng tiến bộ, bệnh viện Tâm Anh sẽ tạo nên thật nhiều kỳ tích tương tự như trường hợp của tôi”.

PGS.TS.BS Phạm Nguyễn Vinh – Giám đốc Trung tâm Tim mạch, chia sẻ: “Bệnh nhân có tiền sử nhồi máu cơ tim nhiều lần, đã đặt stent mạch vành phải cách đây 4 năm, có bệnh nền tăng huyết áp và đái tháo đường. Nhập viện lần này, tiên lượng xấu do đã qua hai lần nhồi máu cơ tim làm cho chức năng tim suy yếu, khả năng khó qua khỏi. Thế nhưng nhờ được cấp cứu trong ‘giờ vàng’, phối hợp liên chuyên khoa Cấp cứu – Nội tim mạch – Lọc thận – Thông tim can thiệp – Hồi sức tích cực để xây dựng phác đồ điều trị đặc biệt, bệnh nhân đã vượt qua ‘cửa tử’ như một kỳ tích của y khoa. Nếu chỉ thiếu đi một mắt xích, khó đảm bảo người bệnh được cứu sống”.
Khi được chuyển đến BVĐK Tâm Anh TP.HCM, bà Minh có biểu hiện mệt, nặng ngực, khó thở, phù toàn thân. Là người trực tiếp thăm khám cho bà, BS.CKII Võ Ngọc Cẩm, Phó khoa Hồi sức Tim mạch, Trung tâm Tim mạch nhận định: “Bệnh nhân nhập viện trong tình trạng phù phổi cấp do nhồi máu cơ tim không ST chênh lên trên nền bệnh tăng huyết áp, đái tháo đường type 2, bệnh thận mạn giai đoạn 4, nhồi máu cơ tim đã đặt stent mạch vành cách đây 4 năm. Các kết quả thăm khám và cận lâm sàng cho thấy bệnh nhân bị nhồi máu cơ tim cấp, suy tim cấp mất bù (chức năng tim chỉ còn dưới 25%), suy thận cấp trên nền bệnh thận mạn. Bệnh nhân được điều trị nội khoa với phác đồ đặc biệt để ổn định sức khỏe trước khi chụp và can thiệp mạch vành.
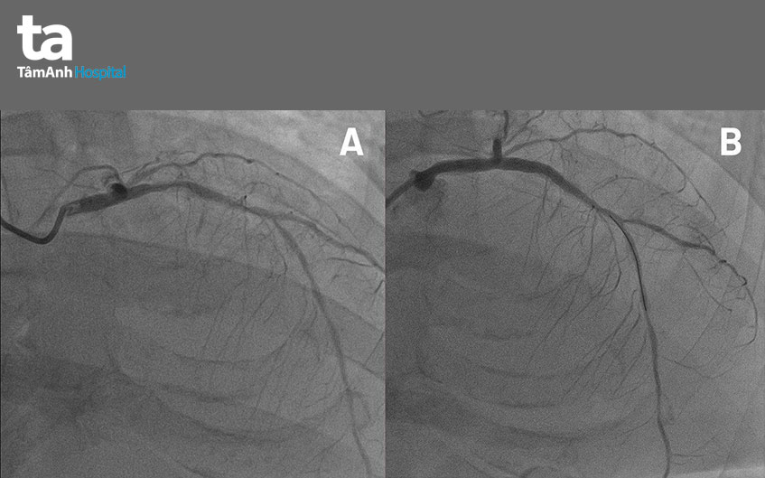
Sau 24 giờ điều trị, tình trạng bệnh nhân không cải thiện, các bác sĩ BVĐK Tâm Anh TP.HCM tiếp tục hội chẩn, quyết định chụp và nong mạch vành cứu bệnh nhân, sau đó lọc thận hỗ trợ. Kết quả chụp mạch vành cho thấy, trong số ba nhánh động mạch nuôi tim, hai nhánh chính (động mạch mũ và động mạch vành phải) đã tắc hoàn toàn. Nhánh còn lại, động mạch liên thất trước hẹp đến 78-80%. Tình trạng khá phức tạp, điều trị nội khoa bằng thuốc không đạt hiệu quả nếu không can thiệp ngay”.

Một ngày sau khi được chăm sóc và điều trị tích cực tại khoa cấp cứu, bà Minh được BS.CKII Huỳnh Ngọc Long – Giám đốc Trung tâm Can thiệp Mạch tiến hành chụp và can thiệp nong động mạch vành. Nhờ hệ thống chụp mạch máu Philips Azurion Robotic Ceiling FlexArm với cánh tay robot xoay 360 độ quanh người bệnh, bác sĩ có thể tiến hành kỹ thuật chụp mạch vành Cardiac Swing, chỉ cần 2 lần chụp với tổng cộng 7-8 ml thuốc cản quang đã thu được kết quả tối ưu thay vì phải chụp 6-8 góc độ như thông thường.
Theo bác sĩ Long, kỹ thuật nong mạch vành phải tiến hành nhiều lần, mỗi lần thật nhanh (2-3 giây) nhằm tránh tình trạng huyết áp tụt không xử lý kịp. Kết quả là sau vài lần nong, mạch máu hẹp được mở rộng, tạo điều kiện thuận lợi để đưa đoạn stent đường kính 3,5mm vào động mạch liên thất trước. Thủ thuật kết thúc thành công, mạch máu nuôi tim thông trở lại, cứu sống bệnh nhân trong gang tấc.

Sau can thiệp, bà Minh tiếp tục được lọc thận song song với theo dõi điện tim ECG và đo men tim mỗi ngày. Quá trình chăm sóc hậu phẫu được tiến hành chu đáo, cẩn trọng. Các bác sĩ luôn túc trực từng ngày, từng giờ để can thiệp kịp thời nếu xảy ra biến cố. Nhờ đó, bà Minh dần giảm phù, chức năng tim phổi cải thiện và đủ điều kiện xuất viện sau hơn một tháng điều trị.
Nhồi máu cơ tim xảy ra khi những động mạch vành đưa máu nuôi tim bị tắc nghẽn hoặc bị hẹp do sự tích tụ của mảng bám. Nếu không được can thiệp kịp thời, người bệnh có nguy cơ tử vong hoặc đối diện với các biến chứng như suy tim, hở van tim, loạn nhịp tim, đột tử,…
Theo BS.CKII Huỳnh Ngọc Long, trong hội chứng động mạch vành cấp, nhồi máu cơ tim không ST chênh lên chiếm tới 70%, chỉ có 30% là nhồi máu cơ tim có ST chênh lên. Nhồi máu cơ tim không ST chênh lên thường gặp trong tổn thương nặng nhiều nhánh mạch vành, trên người cao tuổi có nhiều bệnh đồng mắc như huyết áp cao, đái tháo đường, bệnh thận mạn,… nên việc chẩn đoán và điều trị có nhiều khó khăn, tỷ lệ tử vong cao.
Mọi biện pháp điều trị cơn nhồi máu cơ tim đều nhằm mục đích khôi phục lưu lượng máu đến cơ tim càng sớm càng tốt. Tùy từng trường hợp, bác sĩ sẽ có chỉ định dùng thuốc, thông tim đặt stent hoặc phẫu thuật bắc cầu động mạch vành.
PGS.TS.BS Phạm Nguyễn Vinh lưu ý, bệnh nhân vẫn có thể bị tái phát nhồi máu cơ tim dù được nong đặt stent mạch vành. Do đó, bệnh nhân cần tái khám đúng lịch hẹn, uống thuốc đúng liều lượng để hạn chế nguy cơ tái hẹp trong stent, suy tim tiến triển và đột tử do rối loạn nhịp. Cụ thể, người bệnh phải kiểm soát đái tháo đường bằng insulin, uống thuốc lợi tiểu, chống kết tập tiểu cầu, thuốc điều trị mỡ máu, thuốc điều trị suy tim. Ngoài ra, bệnh nhân cần được siêu âm tim thường xuyên, nếu chức năng tim không cải thiện sau 40 ngày thì sẽ cân nhắc đặt máy khử rung tim ICD để phòng ngừa đột tử do rung thất. Bệnh nhân cần điều chỉnh lối sống, ăn giảm muối, giảm chất béo có hại, bỏ thuốc lá, rượu bia, giảm căng thẳng, tập thể dục nhẹ nhàng để giảm khả năng tái hẹp mạch vành, giảm nguy tái phát cơ nhồi máu cơ tim.
Với hệ thống chụp mạch can thiệp số hóa xóa nền (DSA) Philips Azurion Robotic Ceiling-FlexArm – đầu tiên tại Việt Nam, siêu âm trong lòng mạch (IVUS), đo phân suất lưu lượng mạch vành (FFR/iFR), IntraSight tích hợp nhiều phần mềm tiên tiến trên thế giới như Cardiac Swing, Dynamic Coronary Roadmap, StentBoost Live…, Trung tâm Can thiệp Mạch BVĐK Tâm Anh chẩn đoán và thực hiện nhiều thủ thuật can thiệp phức tạp trong điều trị bệnh lý nhồi máu cơ tim cấp, nhồi máu não, nong van tim, tim bẩm sinh, nhịp tim nhanh, nhịp tim chậm, suy nút xoang, hội chứng Brugada, ngoại tâm thu, rung nhĩ, cuồng nhĩ, rung thất, block nhĩ thất, hẹp động mạch chi dưới, xuất huyết tiêu hóa, ung thư di căn, phì đại tuyến tiền liệt, u xơ tử cung…
Bệnh viện Đa khoa Tâm Anh cũng là đơn vị đầu tiên tại Việt Nam ứng dụng hệ thống IntraSight tích hợp hệ thống chụp mạch Azurion để thực hiện đánh giá siêu âm lòng mạch IVUS và sinh lý lòng mạch (iFR/FFR), giúp bác sĩ thực hiện các thủ thuật can thiệp tim và mạch chính xác nhất, giảm tối đa những biến chứng và di chứng sau khi can thiệp. Hơn nữa, kỹ thuật đo phân suất lưu lượng mạch vành không cần dùng thuốc Adenosin – iFR, phù hợp với bệnh nhân không thể thực hiện kỹ thuật FFR thường quy như: bệnh nhân block AV, người bị dị ứng, hen suyễn.
HỆ THỐNG BỆNH VIỆN ĐA KHOA TÂM ANH