Sau nhiều tháng đau bụng âm ỉ, đi khám và điều trị không hiệu quả, người bệnh được bác sĩ Bệnh viện Đa khoa Tâm Anh Hà Nội phát hiện sỏi ống mật chủ, giãn đường mật trong gan, nguy cơ viêm đường mật và nhiễm trùng huyết.

Ông Đông (66 tuổi, Hải Phòng) cho biết thường xuyên đau âm ỉ vùng hạ sườn và mạn sườn phải đã kéo dài vài tháng, đôi lúc quặn từng cơn. Lo lắng, ông đi khám tại nhiều bệnh viện, được nội soi dạ dày và đại tràng nhiều lần nhưng không phát hiện bất thường rõ ràng. Lần gần nhất, tháng 4 năm nay, tại một bệnh viện, ông được chẩn đoán viêm dạ dày, sẹo trực tràng và kê thuốc điều trị. Tuy nhiên, cơn đau không thuyên giảm, ông còn sốt nhẹ kéo dài.
Đầu tháng 5, gia đình đưa ông đến Bệnh viện Đa khoa Tâm Anh Hà Nội để khám chuyên sâu. Tại đây, sau khi khám lâm sàng và khai thác kỹ bệnh sử, bác sĩ nghi ngờ nguyên nhân không đơn thuần từ dạ dày hay đại tràng như các kết luận trước đó. Ông Đông được chỉ định thực hiện các xét nghiệm máu và chụp cộng hưởng từ ổ bụng (MRI) nhằm đánh giá toàn diện hệ gan mật.
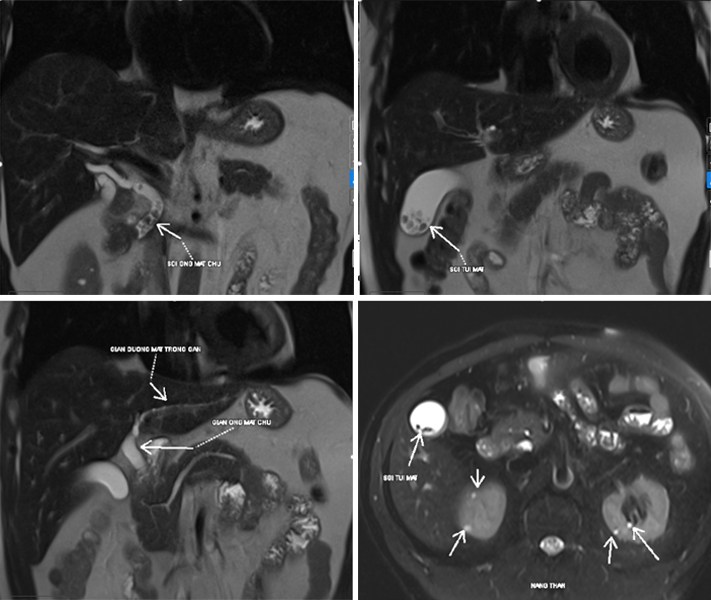
TTƯT.TS.BS Vũ Trường Khanh, Trưởng khoa Khoa Tiêu hóa – Gan mật – Tụy, Bệnh viện Đa khoa Tâm Anh Hà Nội cho biết, kết quả thăm dò chuyên sâu cho thấy ông Đông bị giãn nhẹ đường mật trong gan hai bên. Đặc biệt, ống mật chủ giãn, đường kính có đoạn lên tới 9 mm, bên trong có nhiều sỏi nhỏ tập trung thành đám dài tới 31 mm. Ngoài ra, túi mật cũng chứa nhiều sỏi kích thước lớn (23×21 mm). Sỏi trong ống mật chủ và tình trạng giãn đường mật nếu không được xử lý kịp thời có thể gây ứ mật kéo dài, dẫn đến viêm đường mật cấp, nhiễm trùng huyết, viêm tụy cấp, thậm chí đe dọa tính mạng.

Ông Đông được chỉ định nhập viện điều trị nội trú bằng kháng sinh và thực hiện nội soi mật tụy ngược dòng (ERCP) để lấy sỏi và đặt stent dẫn lưu. Sau khi ổn định, bệnh nhân sẽ được cân nhắc phẫu thuật cắt túi mật nội soi nhằm phòng ngừa tái phát và biến chứng.
Bác sĩ Khanh lý giải, trong trường hợp của ông Đông, sỏi từ túi mật đã rơi xuống ống mật chủ gây tắc nghẽn và giãn đường mật. Đây là tình huống cần xử lý. Do đó, bước ưu tiên là thực hiện nội soi mật tụy ngược dòng (ERCP) để lấy sỏi, giải áp và giúp người bệnh ổn định. Khi tình trạng đã được kiểm soát, bác sĩ tiến hành cắt túi mật – nơi hình thành sỏi nhằm ngăn ngừa tái phát.
Giai đoạn đầu tiên thực hiện kỹ thuật ERCP, ê kíp phát hiện vị trí lỗ đổ mật (nhú Vater) nằm sâu trong một túi thừa lớn ở tá tràng – yếu tố gây khó khăn trong tiếp cận đường mật. Tuy nhiên, nhờ kỹ thuật chuyên sâu và thiết bị hiện đại, ê kíp đã tiếp cận thành công, bơm rửa sạch đường mật, lấy sỏi và đặt stent dẫn lưu nhằm dự phòng biến chứng. Sau thủ thuật, ông Đông hết đau, bụng mềm. 24 giờ tiếp theo, ông hồi phục tốt, ăn nhẹ được và đại tiện bình thường. Sau 1 tháng, ông Đông tiếp tục thực hiện giai đoạn 2 – phẫu thuật cắt túi mật. Ca mổ thuận lợi, người bệnh hồi phục nhanh, ăn uống bình thường và không còn đau bụng.

Bác sĩ Khanh cho biết thêm, trong thực tế lâm sàng, nhiều bệnh lý đường mật như sỏi ống mật chủ thường biểu hiện mơ hồ, dễ nhầm với rối loạn tiêu hóa thông thường, khiến việc chẩn đoán ban đầu dễ lệch hướng. Những trường hợp như ông Đông đòi hỏi phải có quy trình thăm khám toàn diện, sự phối hợp chặt chẽ giữa các chuyên khoa và hỗ trợ từ các kỹ thuật hình ảnh chuyên sâu, mới có thể tiếp cận đúng bản chất vấn đề, điều trị kịp thời và hạn chế bỏ sót.
Bác sĩ Khanh khuyến cáo khi có triệu chứng đau âm ỉ hoặc quặn từng cơn vùng hạ sườn phải kéo dài, nhất là đã điều trị dạ dày mà không cải thiện, người bệnh không nên chủ quan. Đây có thể là dấu hiệu cảnh báo bệnh lý gan mật tiềm ẩn như sỏi đường mật, cần được khám chuyên sâu và thực hiện các xét nghiệm, kỹ thuật chẩn đoán hình ảnh phù hợp (như siêu âm, MRI bụng, ERCP…) để phát hiện sớm và điều trị kịp thời, tránh biến chứng nguy hiểm.
*Tên người bệnh đã được thay đổi.
HỆ THỐNG BỆNH VIỆN ĐA KHOA TÂM ANH