Bé Thịnh, 9 tuổi, được chẩn đoán bị Lupus ban đỏ hệ thống nhiều năm, ban đầu bệnh chỉ gây tổn thương huyết học, nay ảnh hưởng đến thận.

Mẹ bé cho biết hai năm trước, con trai có biểu hiện da nổi hồng ban, đặc biệt khi ra nắng, đau cơ, xương khớp… Gia đình đưa đi khám, bác sĩ chẩn đoán bị lupus ban đỏ tổn thương máu, kê đơn thuốc ức chế miễn dịch và hẹn tái khám định kỳ.
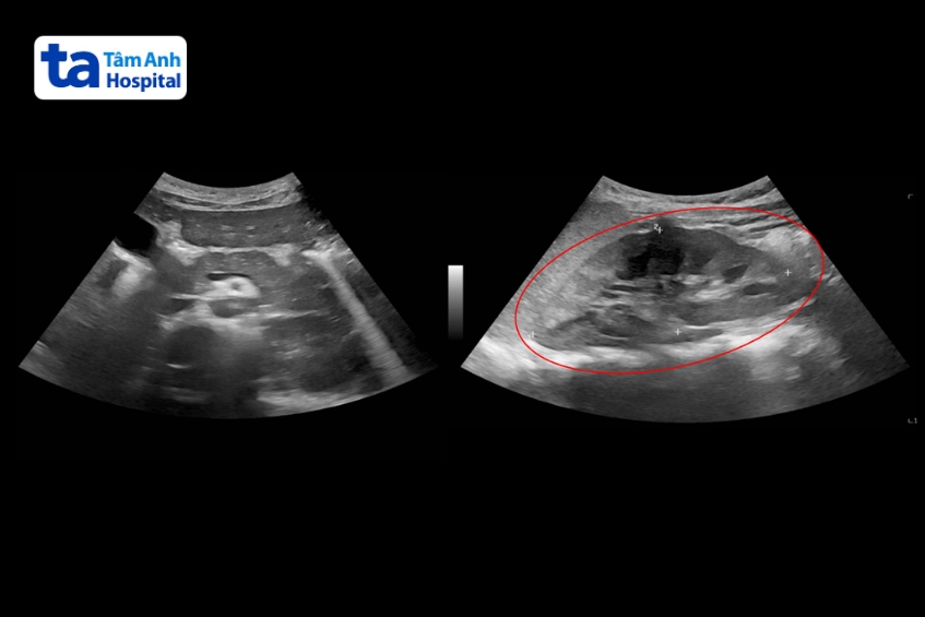
Vài ngày trước, bé đi tiểu màu sẫm, có bọt. Đi khám tại Phòng khám Đa khoa Tâm Anh Quận 7, kết quả xét nghiệm nước tiểu phát hiện đạm niệu cao, có hồng cầu (tiểu ra máu) kèm tổn thương ống thận. Kết quả siêu âm ổ bụng, xét nghiệm lupus ban đỏ, phát hiện bệnh tiến triển nặng khiến thận bị tổn thương, đề nghị sinh thiết để chẩn đoán thêm.
Dựa trên kết quả giải phẫu bệnh, bác sĩ tư vấn, kê đơn thuốc ức chế miễn dịch, kết hợp thuốc giảm đạm niệu, đồng thời bác sĩ hướng dẫn phụ huynh chăm sóc trẻ ở nhà, tái khám theo lịch hẹn. Do bệnh của bé đã ảnh hưởng đến thận nên cần ăn nhạt, ít muối, hạn chế tiếp xúc ánh nắng, tốt nhất trước 8 giờ sáng và sau 5 giờ chiều, nếu ra nắng cần che chắn cẩn thận.

Theo ThS.BS.CKI Hạp Tiến Lộc, khoa Nhi, Phòng khám Đa khoa Tâm Anh Quận 7, lupus ban đỏ là bệnh lý tự miễn, khi cơ thể bị nhiễm trùng hoặc nhiễm siêu vi sẽ tạo ra kháng thể để chống lại các tác nhân bên ngoài. Với người bị lupus ban đỏ, bệnh sẽ tạo ra các kháng thể bất thường tấn công ngược lại gây tổn thương đa cơ quan như máu, da, niêm khớp, gan, thận, thần kinh, não… có thể dẫn đến tử vong.
Trường hợp bé Thịnh dù đã được phát hiện và can thiệp sớm nhưng bệnh vẫn có khả năng tiến triển nặng hơn, khó kiểm soát hơn và gây ảnh hưởng đến các cơ quan khác. “Tình trạng tổn thương thận do lupus ban đỏ có thể dẫn đến suy thận. Lúc này, trẻ cần phẫu thuật ghép thận hoặc lọc máu để có thể duy trì sự sống”, bác sĩ Lộc nói, thêm rằng lupus ban đỏ là bệnh mạn tính, không thể chữa dứt điểm, đồng thời có nhiều yếu tố thúc đẩy kích hoạt quá trình tự miễn gây tổn thương cơ quan như tiếp xúc ánh nắng nhiều, bị các bệnh nhiễm trùng cấp, nhiễm siêu vi…
Bệnh thường gặp ở phụ nữ trưởng thành, hiếm khi gặp ở trẻ, đặc biệt là bé trai. Theo thống kê, mỗi năm có khoảng 0,3 – 0,9 trên 100.000 trẻ em mắc bệnh. Nguyên nhân gây bệnh có thể do di truyền từ người thân trong gia đình, tác động của môi trường, giới tính (nữ giới bị nhiều hơn nam)…
Các triệu chứng của bệnh lupus ban đỏ ở trẻ nhỏ thường là nổi hồng ban dạng đĩa ở đầu, cánh tay, ngực hoặc hồng ban cánh bướm ở sống mũi và má. Trẻ có thể xuất hiện thêm các triệu chứng sốt cao, loét miệng, rụng tóc, tổn thương thận, da nhạy cảm với ánh mặt trời, đau khớp…

Hiện nay, chưa có phương pháp chữa khỏi bệnh hoàn toàn. Bệnh được điều trị bằng cách giảm nhẹ triệu chứng, nếu ở thể nhẹ, trẻ sẽ được chỉ định sử dụng các loại thuốc kháng viêm không steroid (hay NSAIDs) để làm dịu đi những cơn đau khớp hoặc corticosteroid nhằm kiểm soát tình trạng viêm, thuốc ức chế miễn dịch…
Trẻ bị bệnh cần ăn uống khoa học, đảm bảo dinh dưỡng, bổ sung các loại vitamin và khoáng chất như canxi, vitamin C, vitamin D, vitamin A… Đồng thời vận động thường xuyên, ngủ đủ giấc, hạn chế tiếp xúc với ánh nắng, uống thuốc theo đúng chỉ định của bác sĩ, không tự ý tăng giảm liều hoặc ngưng điều trị khi chưa có chỉ định.
HỆ THỐNG BỆNH VIỆN ĐA KHOA TÂM ANH