Anh Hiệp, 33 tuổi, trào ngược dạ dày thực quản, đắng miệng, đi khám phát hiện khối u nằm sát thực quản, bác sĩ phải tính toán kỹ, cắt nối thực quản với dạ dày để triệt căn ung thư.

Anh Hiệp (ngụ tại TP HCM) không đau, không sụt cân, mọi sinh hoạt, ăn uống diễn ra bình thường. Anh khá bất ngờ khi biết mình mắc bệnh nguy hiểm này chỉ với triệu chứng đắng miệng.
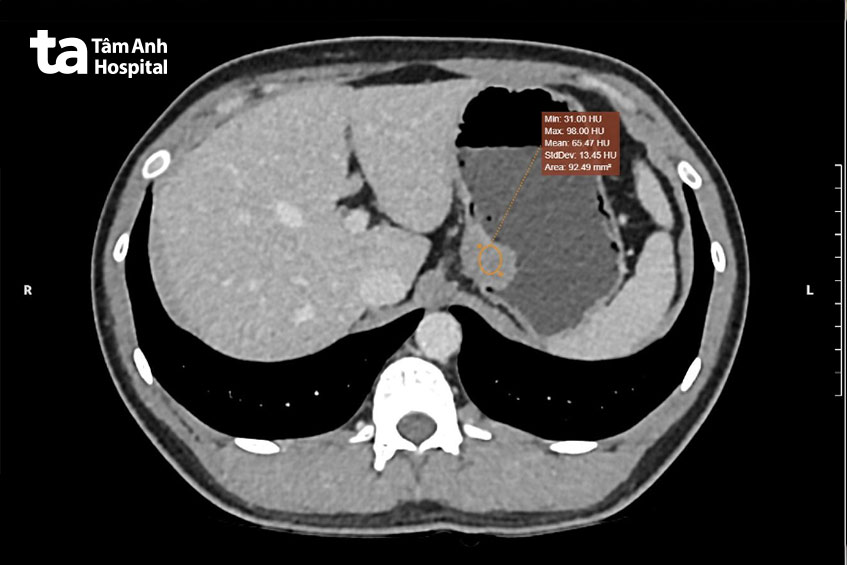
Ngày 22/8, bác sĩ chuyên khoa 2 Nguyễn Quốc Thái, Trung tâm Nội soi và Phẫu thuật Nội soi Tiêu hóa, Bệnh viện Đa khoa Tâm Anh TP HCM cho biết, kết quả chụp cắt lớp vi tính bụng (CT) có khối u kích thước 21 x 30 x 27 mm ở tâm vị (vị trí ở cuối thực quản và đầu dạ dày) chưa xâm lấn mô xung quanh, chưa xuất hiện hạch. Nội soi dạ dày cũng ghi nhận người bệnh bị viêm dạ dày và trào ngược dạ dày – thực quản.

Tuy nhiên, do khối u nằm dưới lớp niêm mạc tâm vị, ở mặt sau dạ dày nên không thể tiến hành sinh thiết khối u trong lúc nội soi. Vì thế chưa xác định được bản chất của khối u. U lại nằm ở vị trí khuất nên không thể can thiệp trong lúc nội soi. Tuy nhiên, cần phải phẫu thuật lấy khối u càng sớm càng tốt, tránh để khối u phát triển bít lòng thực quản. Hoặc nếu u ác tính, các tế bào ung thư có thể xâm lấn sang các cơ quan lân cận.
Anh Hiệp được chỉ định điều trị viêm và trào ngược dạ dày – thực quản bằng thuốc trong 2 tuần trước khi phẫu thuật.
Trở ngại lớn nhất của ca phẫu thuật là vị trí của khối u nằm sát thực quản, nên để lấy trọn khối u, bác sĩ phải cắt đoạn dưới thực quản và phần trên dạ dày. Việc di động thực quản cũng khó khăn do đoạn cuối thực quản nằm trong ngực, nguy cơ tổn thương màng phổi, phổi và màng tim. Miệng nối thực quản với dạ dày cần hạn chế tối đa nguy cơ xì rò, vì có thể gây nhiễm trùng trong bụng và lồng ngực. Do đó, quá trình phẫu thuật đòi hỏi bác sĩ phải khéo léo, và rất thận trọng từng bước.
Trong quá trình phẫu thuật, các bác sĩ đồng thời tiến hành siêu âm ổ bụng kết hợp nội soi dạ dày để xác định khối u chính xác. Sau khi xác định được vị trí khối u, bác sĩ dùng dao siêu âm phẫu tích di động thực quản, cắt ngang thực quản 2 cm phía trên u và ngang dạ dày dưới khối u 3 cm. Sau đó, tiến hành nối thực quản – dạ dày.

Hậu phẫu, sức khỏe bệnh nhân hồi phục tốt, có thể ăn thức ăn lỏng chuyển dần sang đặc. Sau 5 ngày phẫu thuật, bệnh nhân phục hồi tốt, vết thương ổn định và xuất viện. Khối u sau khi lấy ra được thực hiện giải phẫu bệnh học và mô hóa miễn dịch. Kết quả, khối u có nguy cơ hóa ác thấp nên không phải tiến hành điều trị sau đó, người bệnh khám sức khỏe định kỳ để theo dõi.
Bác sĩ Quốc Thái cho biết u dưới niêm đường tiêu hóa là những khối u xuất phát từ lớp cơ – niêm, lớp dưới niêm hay lớp cơ của thành ống tiêu hóa. U dưới niêm là tổn thương hình tròn nhỏ nhô vào lòng ống tiêu hóa được bao phủ bởi lớp niêm mạc bình thường, có thể gặp bất cứ vị trí nào của ống tiêu hóa. Tuy nhiên, thường gặp nhất là ở dạ dày và được phát hiện tình cờ qua nội soi dạ dày hay nội soi đại tràng.
Thông thường, khối u dưới 2 cm không có triệu chứng và chỉ theo dõi. Tuy nhiên, u dưới niêm có thể gây xuất huyết, tắc nghẽn đường tiêu hóa hay di căn tùy vào kích thước, vị trí và bản chất của khối u.
U mô đệm đường tiêu hóa (GIST) nếu không được phát hiện và điều trị kịp thời có thể gây ra một số biến chứng cấp tính như xuất huyết, tắc ruột, xoắn ruột, thủng ruột gây viêm phúc mạc (thường xảy ra khi u lớn hơn 4 cm). Thậm chí, có thể gây tử vong do xuất huyết tiêu hóa. Triệu chứng thường gặp của u GIST là nôn ra máu, đại tiện ra máu, hoặc đi ngoài phân đen, mệt mỏi, chóng mặt, ngất, thiếu máu không rõ nguyên nhân.
Trường hợp bị tắc hoặc xoắn ruột do GIST thường có biểu hiện đau quặn bụng, chán ăn, nôn mửa, buồn nôn, táo bón, khó tiêu, không thể đi đại tiện, đại tiện ra máu hoặc phân đen. Nguy hiểm nhất là thủng ruột (biến chứng hiếm gặp) sẽ gây đau bụng dữ dội.

Bác sĩ Quốc Thái cho biết, GIST là khối u trung mô gặp, chiếm từ 0,1 – 3% trong tổng số khối u ác tính ở đường tiêu hóa. U dưới niêm thường là lành tính (chiếm 85%), chỉ 15% là ác tính.
GIST hình thành khi các tế bào lót đường tiêu hóa nhân lên không kiểm soát. Hầu hết các GIST này đều liên quan đến đột biến trong gen KIT. Gen này kích thích các tế bào tạo ra một loại protein có tên là KIT CD117, đẩy nhanh tốc độ phát triển và phân chia mất kiểm soát. Ngoài ra, còn có rất ít một số yếu tố nguy cơ liên quan đến bệnh GIST như người từ 50 tuổi trở lên, di truyền từ cha mẹ sang con cái, u xơ thần kinh loại 1, Hội chứng Carney-Stratigakis (một bệnh di truyền hiếm gặp).
Do đây là bệnh lý không liên quan đến lối sống, chế độ ăn uống, nên không thể phòng ngừa. Người bệnh cần chủ động thăm khám sức khỏe định kỳ, khám ngay khi có triệu chứng bất thường để được kiểm tra, chẩn đoán và điều trị kịp thời, phòng ngừa biến chứng nguy hiểm.
HỆ THỐNG BỆNH VIỆN ĐA KHOA TÂM ANH