Chị Thu, 45 tuổi, đột ngột lú lẫn, co giật, tê yếu nửa người tưởng do đột quỵ, bác sĩ chẩn đoán mắc hội chứng Melas – bệnh ty thể di truyền ít gặp.

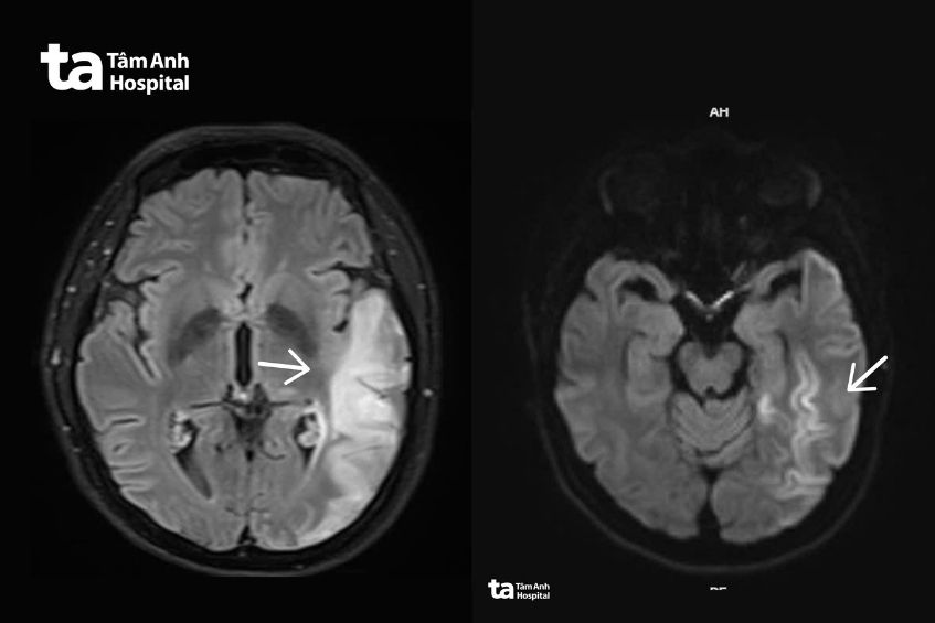
Chị Thu được gia đình đưa đến Bệnh viện Đa khoa Tâm Anh TP HCM cấp cứu trong tình trạng có các triệu chứng giống đột quỵ. BS.CKI Đặng Khắc Giáp, Trung tâm Khoa học Thần kinh, cho biết hình ảnh MRI 3 Tesla của chị Thu ghi nhận tổn thương não lan rộng bất thường, song không phù hợp với các đặc điểm điển hình của đột quỵ do tắc mạch hay viêm não.
Khai thác bệnh sử, người bệnh có thể trạng nhỏ con, gầy, kèm đái tháo đường khởi phát từ khi còn trẻ – những đặc điểm gợi ý rối loạn chuyển hóa năng lượng. Các xét nghiệm chuyển hóa chuyên sâu và chụp cộng hưởng từ phổ (MRI spectroscopy) ghi nhận bất thường rõ rệt trong quá trình oxy hóa năng lượng tại não, từ đó bác sĩ nghi ngờ bệnh lý ty thể.
Kết quả xét nghiệm di truyền phân tích DNA ty thể xác định chị Thu mang đột biến điển hình trên gene MT-TL1, thuộc nhóm hội chứng Melas. Đây là một dạng rối loạn ty thể ít gặp, di truyền theo dòng mẹ, một nghiên cứu tại Nhật Bản cho thấy tỷ lệ mắc ước tính 0,2/100.000 dân.
Theo bác sĩ Giáp, ty thể được ví như “nhà máy năng lượng” của tế bào, đặc biệt quan trọng với tế bào thần kinh, cơ tim và cơ vân. Khi gen ty thể bị đột biến, quá trình tạo ATP – nguồn năng lượng cho tế bào bị suy giảm, khiến tế bào não thiếu năng lượng, dễ tổn thương, thoái hóa và chết theo thời gian.

Người mắc Melas có thể xuất hiện nhiều biểu hiện như đau đầu kéo dài, động kinh, lú lẫn, suy giảm trí nhớ, yếu liệt, đột quỵ ở người trẻ, đái tháo đường sớm, yếu cơ mạn tính. “Đặc trưng nhất là các cơn “giả đột quỵ” nhưng không do tắc hay vỡ mạch máu não, mà do tế bào thần kinh bị tổn thương vì thiếu năng lượng”, bác sĩ Giáp nói, thêm rằng bệnh dễ bị chẩn đoán nhầm với đột quỵ, viêm não hoặc động kinh vô căn.
Sau hội chẩn, chị Thu được điều trị kiểm soát cơn co giật bằng thuốc chống động kinh, kết hợp các biện pháp hỗ trợ chuyển hóa nhằm cải thiện quá trình tạo năng lượng cho tế bào thần kinh. Sau khoảng 9 ngày điều trị, tình trạng lú lẫn giảm rõ rệt, sức cơ hai bên cải thiện dần, tỉnh táo, chị giao tiếp tốt hơn và có thể tự đi lại. Chị Thu được xuất viện và tiếp tục điều trị ngoại trú, theo dõi lâu dài nhằm hạn chế tái phát các cơn “giả đột quỵ”, phòng ngừa biến chứng thần kinh và rối loạn đa cơ quan do bệnh ty thể.
Bác sĩ Giáp cho biết, nếu phát hiện muộn và không được điều trị, bệnh nhân hội chứng Melas như chị Thu có thể tổn thương não lan rộng và không hồi phục. Các cơn “giả đột quỵ” có xu hướng tái diễn, dẫn đến suy giảm nhận thức, rối loạn ngôn ngữ, giảm thị lực hoặc yếu liệt kéo dài. Người bệnh cũng có nguy cơ động kinh khó kiểm soát và tổn thương đa cơ quan như bệnh cơ tim, rối loạn nhịp tim, teo yếu cơ tiến triển, rối loạn chuyển hóa nặng. Một số trường hợp có thể rơi vào toan lactic (axit lactic tích tụ trong máu, gây rối loạn pH) hoặc suy đa cơ quan, đe dọa tính mạng.

Hiện y học chưa có phương pháp điều trị khỏi hoàn toàn bệnh ty thể. Người bệnh chủ yếu được điều trị kiểm soát bệnh, dự phòng biến chứng, kiểm soát rối loạn chuyển hóa và theo dõi lâu dài. Việc chẩn đoán sớm và theo dõi thông qua kết hợp lâm sàng, chụp MRI 3 Tesla, MRI phổ, xét nghiệm chuyển hóa và phân tích gene giúp giảm nguy cơ tổn thương não không hồi phục.
Melas thường khởi phát ở trẻ em, thanh thiếu niên, người trưởng thành trẻ tuổi hoặc số ít trường hợp biểu hiện muộn ở tuổi trung niên. Các dấu hiệu gợi ý gồm thể trạng nhỏ con, gầy, đái tháo đường xuất hiện sớm, kèm các đợt tổn thương thần kinh tái diễn không rõ nguyên nhân.
Đột biến gây Melas nằm trong DNA ty thể và được di truyền theo dòng mẹ. Con sinh ra có nguy cơ mang bệnh nếu người mẹ mang gen bệnh, kể cả khi không có biểu hiện lâm sàng rõ ràng. Một số trường hợp không có tiền sử gia đình có thể do đột biến tự phát, nhưng vẫn theo cơ chế di truyền dòng mẹ cho thế hệ sau. Do đó, các bác sĩ khuyến cáo người thân ruột thịt, đặc biệt là con cái và các thành viên bên ngoại, nên được tư vấn di truyền và theo dõi khi có dấu hiệu nghi ngờ.
Bác sĩ Giáp lưu ý, khi người trẻ hoặc trung niên xuất hiện đau đầu kéo dài, co giật, lú lẫn, liệt nửa người tái diễn, kèm các biểu hiện chuyển hóa bất thường như đái tháo đường sớm, thể trạng nhỏ con, yếu cơ, cần được thăm dò chuyên sâu tại các bệnh viện có chuyên khoa thần kinh để phát hiện sớm bệnh lý ty thể, tránh chẩn đoán nhầm và bỏ lỡ cơ hội điều trị phù hợp.
*Tên người bệnh đã được thay đổi
HỆ THỐNG BỆNH VIỆN ĐA KHOA TÂM ANH