Đang ăn ly chè, ông Hiền lên cơn đau quặn bụng nên được đưa vào bệnh viện, bác sĩ tuyến dưới phát hiện ông có khối u ở giữa thận, nghi ngờ ung thư.

Từ phường Vũng Tàu (TP.HCM), vợ chồng ông Hiền đón xe lên một bệnh viện lớn ở thành phố kiểm tra, kết quả có khối u thận đúng như chẩn đoán ban đầu. “Bác sĩ nói khối u lớn lắm, phải mổ ngay, nhưng tôi bán tín bán nghi vì trước giờ vẫn khỏe mạnh, không có bệnh tật gì”, ông Hiền nói.
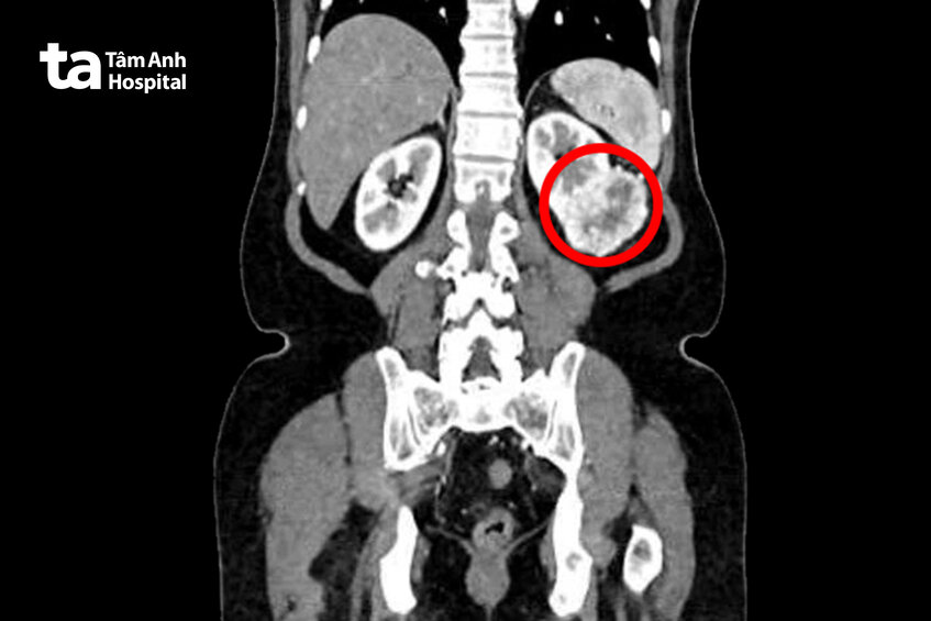
Để chắc chắn hơn, vợ chồng ông đến Bệnh viện Đa khoa Tâm Anh TP HCM kiểm tra một lần nữa. Kết quả chụp cắt lớp vi tính cho thấy, ông Hiền có một khối u ở thận trái kích thước 6 cm, nằm ở 1/3 giữa thận, lấn sâu vào xoang thận, nghi ngờ ung thư tế bào thận, một loại ung thư thường gặp của thận.

“Nếu phẫu thuật cắt thận bán phần có nguy cơ không lấy hết được khối u do kích thước lớn, gần mạch máu rốn thận, có nguy cơ sẽ làm tổn thương các cấu trúc bên trong xoang thận như các mạch máu thận và bể thận. Do đó, phương pháp điều trị an toàn và hiệu quả nhất là phẫu thuật nội soi cắt thận triệt căn. Với sự hỗ trợ của robot Da Vinci Xi, ca phẫu thuật sẽ thuận lợi và xử lý tốt hơn các mạch máu vùng rốn thận”, ThS.BS Nguyễn Tân Cương, Phó khoa Tiết niệu, Trung tâm Tiết niệu – Thận học – Nam khoa, Bệnh viện Đa khoa Tâm Anh TP.HCM cho biết.
Bác sĩ Cương cùng êkip ThS.BS Phan Đức Hữu, BS.CKI Phan Huỳnh Tiến Đạt tiến hành phẫu thuật nội soi có robot hỗ trợ cắt thận tận gốc qua ổ bụng cho ông Hiền.
Quá trình phẫu thuật, các bác sĩ phát hiện động mạch thận phân nhánh bất thường, tĩnh mạch thận rất lớn, khối u tăng sinh mạch máu nhiều nên việc phẫu tích mạch máu ở rốn thận gặp nhiều khó khăn. Nhưng nhờ các cánh tay robot đã luồn sâu vào các vùng hẹp, sâu của vùng mổ, hỗ trợ bác sĩ thao tác linh hoạt, chính xác, nhờ đó động mạch thận và tĩnh mạch thận đã lần lượt được kẹp cắt bằng hemolock và clip kim loại nhanh chóng và an toàn.

Ngày đầu sau mổ, ông Hiền đã hồi phục, tự ngồi dậy và ăn uống ít cháo. Vết mổ nhỏ vùng bụng ít đau, được bác sĩ cho xuất viện 2 ngày sau. Sắp xếp đồ dùng trước lúc về, bà Lan (vợ ông Hiền) nói “nếu không có ly chè, chắc không biết chồng bị bệnh” do trước giờ chồng bà rất khỏe mạnh, không có triệu chứng nào nghi ngờ mắc bệnh, thỉnh thoảng chỉ bị tiêu chảy, ho nhưng nghĩ do hút nhiều thuốc lá.
“Vợ chồng tôi cũng không đi khám sức khỏe định kỳ, nếu khám sớm hơn có lẽ đã giữ được thận cho cho chồng”, bà Lan chia sẻ.
Theo ThS.BS Nguyễn Tân Cương, ung thư tế bào thận là loại ung thư thường gặp nhất, chiếm khoảng 85% các trường hợp ung thư thận. Ở giai đoạn đầu, bệnh thường không có triệu chứng, thường được phát hiện tình cờ qua siêu âm hoặc chụp cắt lớp vi tính. Khi xuất hiện các triệu chứng như tiểu ra máu, đau hông lưng, sốt không rõ nguyên nhân, sờ thấy khối u bụng… thì ung thư đã tiến triển, có thể đã xâm lấn xung quanh thận và di căn đến hạch bạch huyết hoặc các cơ quan khác.

Phẫu thuật cắt bỏ khối u (cắt thận bán phần hoặc cắt u thận) là phương pháp điều trị hiệu quả nhất ở giai đoạn sớm, khi u kích thước <5cm. Với những u >5cm nằm sâu trong thận, gần với cuống thận như trường hợp của ông Hiền, phẫu thuật cắt bán phần thận có nhiều nguy cơ bỏ sót tế bào ung thư ở diện cắt, chảy máu do tổn thương mạch máu lớn của thận và nhiều biến chứng sau mổ khác. Phẫu thuật nội soi cắt thận là chọn lựa phù hợp giúp loại bỏ triệt căn ung thư và giảm nguy cơ biến chứng phẫu thuật.
Với người bệnh đã cắt bỏ một quả thận như ông Hiền, cần chú ý bảo vệ quả thận còn lại để duy trì sức khỏe. Thực hiện chế độ ăn uống lành mạnh, hạn chế ăn mặn, thực phẩm nhiều đạm động vật, bổ sung rau xanh và trái cây, hạn chế rượu, bia, thuốc lá vì có thể gây hại cho thận, tập thể dục đều đặn… Tuân thủ lịch khám sức khỏe định kỳ, kiểm tra chức năng thận để phát hiện sớm các bất thường, không tự ý dùng thuốc không kê đơn, thuốc nam không rõ nguồn gốc có thể làm hại thận.
HỆ THỐNG BỆNH VIỆN ĐA KHOA TÂM ANH