Bé Trinh, 2 tuổi, bị trật khớp háng bên trái bẩm sinh, được phẫu thuật điều trị, song bệnh tái phát khiến bé phải mổ thêm hai lần.

Mẹ bé cho biết, tháng 4/2024 bé được phẫu thuật tại một bệnh viện. Sau 5 tháng bé tháo bột, khi tái khám phát hiện hai chân không bằng nhau, đi khập khiễng, khó vận động khớp háng bên trái nên gia đình đưa đến khám tại Bệnh viện Đa khoa Tâm Anh TP HCM.
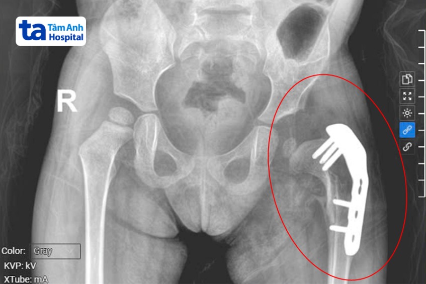
ThS.BS.CKI Tôn Thị Anh Tú, chuyên khoa Ngoại Nhi cho biết phần chỏm xương đùi bệnh nhi bị tái trật ra khỏi ổ cối (phần xương chậu), cần phẫu thuật lại lần hai để mở rộng và tạo hình lại, chỉnh trục xương đùi, nắn chỏm xương đùi vào ổ cối, sau đó dùng nẹp vít cố định lại.

Êkíp bác sĩ tiếp cận cấu trúc khớp háng bị trật, tiến hành tách cơ bám vào mào chậu, mở rộng ổ cối và đặt lại chỏm xương đùi, đưa khớp háng về đúng vị trí. Sau đó đặt nẹp vít để cố định và khâu tái tạo lại bao khớp háng, đóng vết mổ. Bé được chăm sóc hậu phẫu, xuất viện sau một tuần.
Sau phẫu thuật bệnh nhi cần cố định bằng bó bột trong vài tháng để đảm bảo khớp háng vẫn ổn định và ở đúng vị trí. Bác sĩ hướng dẫn phụ huynh chăm sóc, theo dõi tại nhà, cho bé vận động nhẹ nhàng và tái khám theo lịch hẹn.
Tháng 5/2025, bé tái khám, khớp háng đã về đúng cấu trúc thông thường, bác sĩ chỉ định phẫu thuật lần thứ ba để tháo nẹp vít, kết thúc quá trình điều trị. Bác sĩ rạch một đường tại vị trí vết mổ cũ vùng bẹn, kiểm tra lại cấu trúc khớp háng bị trật, lấy dụng cụ nẹp ra và đóng lại. Bệnh nhi xuất viện sau 1 ngày.

Trật khớp háng bẩm sinh hay loạn sản khớp háng trong quá trình phát triển (tên tiếng Anh là Developmental Hip Dysplasia –- DDH) xảy ra khi chỏm xương đùi (khối hình tròn đầu trên xương đùi) trật ra ngoài ổ cối xương chậu, xuất hiện ngay sau khi trẻ chào đời hoặc một thời gian ngắn sau sinh.
Bệnh có thể phát hiện ngay bằng những dấu hiệu như các nếp ở mông, bẹn, đùi không đồng đều, chân hướng ra bên ngoài hoặc chiều dài hai chân chênh lệch nhau, tầm vận động khớp háng bị hạn chế. Trẻ lớn hơn sẽ phát hiện khi tập đi có dáng điệu bất thường, chân cao, chân thấp, đi khập khiễng.
Nếu không được phát hiện và điều trị kịp thời, bệnh sẽ ảnh hưởng đến dáng đi và ngoại hình khiến trẻ tự ti, về lâu dài sẽ gây ra các biến chứng nặng nề như vẹo cột sống, hoại tử chỏm xương đùi, viêm khớp thoái hoá, đau nhức kéo dài…
Bác sĩ Tú cho biết trật khớp háng bẩm sinh cần phát hiện và điều trị sớm để đảm bảo hiệu quả điều trị. Lý tưởng nhất là tháng đầu sau sinh, lúc này xương trẻ còn còn mềm dẻo, dễ dàng nắng chỉnh và tạo hình, giúp khớp háng hoạt động tốt.
Nếu điều trị sớm có thể sử dụng nẹp, không cần phẫu thuật nắn chỉnh. Bên cạnh bị tái trật như trường hợp bé Trinh, phẫu thuật trật khớp háng bẩm sinh có thể xảy ra các biến chứng như nhiễm trùng vết thương do vệ sinh vết thương không đúng cách, vùng da bó bột bị kích ứng, cứng khớp, rối loạn tăng trưởng xương đùi…
Để hạn chế biến chứng, phụ huynh cần giữ cho bó bột sạch sẽ, không bị ẩm ướt, không nên di chuyển nhiều để khớp háng ổn định, đảm bảo phục hồi chức năng, hạn chế nguy cơ bị lỏng khớp hoặc tái trật. Đồng thời tái khám định kỳ để bác sĩ đánh giá tốc độ phục hồi và kiểm soát rủi ro biến chứng.
Phụ huynh cần đưa trẻ đến gặp bác sĩ nếu có biểu hiện chân không đều nhau như chênh lệch độ dài, bàn chân có xu hướng đưa ra bên ngoài khi duỗi thẳng, đi khập khiễng (nếu trẻ đã biết đi), khó khăn dạng khớp háng, vận động khớp háng bị hạn chế,… Đồng thời cần chủ động tầm soát xem bé có trật khớp háng bẩm sinh hay không khi bé có các yếu tố nguy cơ như trong gia đình có người bị, bé sinh ngôi mông, con gái, con so, có các dị tật khác phối hợp…
“Một số trường hợp chẩn đoán muộn, cần phải nắn kéo, phẫu thuật phức tạp hơn để đưa khớp háng về đúng vị trí”, bác sĩ Tú thông tin.
HỆ THỐNG BỆNH VIỆN ĐA KHOA TÂM ANH