Theo thống kê có khoảng 50% các loại u nguyên phát xuất phát từ tim là u nhầy. Đây là loại u thường gặp nhất ở người trưởng thành và chủ yếu hình thành ở tâm nhĩ trái. Nếu không được điều trị kịp thời, u có thể gây tắc nghẽn dòng máu, rối loạn nhịp tim hoặc dẫn đến biến chứng nguy hiểm như đột quỵ. [1]

U nhầy là một khối u thường lành tính, xuất hiện ở tim và được xem là loại u nguyên phát phổ biến. Mặc dù không phải ung thư, nhưng khối u này vẫn có thể gây ảnh hưởng nghiêm trọng đến sức khỏe do làm ảnh hưởng đến chức năng tim và lưu lượng máu trong cơ thể.
U nhầy có thể hình thành tại các vị trí khác nhau trong cơ thể với một số đặc điểm nổi bật bao gồm:
Theo thống kê khối u nguyên phát trong tim chỉ ảnh hưởng chưa đến 1/2.000 người. Trong số đó, có khoảng 50% là u nhầy, loại khối u này chiếm tỷ lệ cao nhất trong các loại khối u nguyên phát..
U nhầy có thể gây ra nhiều tác động nghiêm trọng đến sức khỏe, trong đó có hai biến chứng phổ biến nhất bao gồm:
Thuyên tắc xảy ra khi mạch máu bị tắc nghẽn do bởi cục máu đông hoặc mảnh vỡ từ khối u. U nhầy thường có cấu trúc mềm, dễ vỡ, do vậy các mảnh nhỏ có thể bong ra, đi theo dòng máu và gây tắc tại các mạch máu quan trọng. Tình trạng này làm tăng nguy cơ đột quỵ và gây tắc nghẽn động mạch ngoại biên.
U nhầy thường phát triển từ vách ngăn nhĩ, đồng thời được gắn với một cuống mảnh. Đặc điểm này làm khối u di động theo dòng máu và có thể ngăn chặn tạm thời việc đóng mở của van tim trong những kỳ tim co bóp, đặc biệt là ảnh hưởng của khối u lên van hai lá. Hiện tượng này gây cản trở lưu thông máu và làm xuất hiện các triệu chứng nghiệm trọng như khó thở, mệt mỏi, ngất xỉu,…
Phần lớn các trường hợp u nhầy không có nguyên nhân rõ ràng, tuy nhiên một số yếu tố di truyền và đặc điểm cá nhân có thể làm tăng nguy cơ mắc bệnh, chẳng hạn như:
Khoảng 10% trường hợp u nhầy có liên quan đến yếu tố di truyền, đặc biệt là hội chứng Carney. Đây là một rối loạn hiếm gặp gây ra bởi đột biến gen dẫn đến sự xuất hiện của nhiều loại u lành tính, bao gồm u nhầy.
Một số nhóm người có nguy cơ cao hơn mắc bệnh u nhầy thường bao gồm:
Việc hiểu rõ các yếu tố nguy cơ và tiền sử gia đình, có thể giúp phát hiện bệnh sớm và giảm thiểu nguy cơ gặp phải các biến chứng nghiêm trọng.
Triệu chứng của u nhầy phụ thuộc vào vị trí khối u trong tim và mức độ ảnh hưởng của khối u đối với cơ thể. Một số dấu hiệu thường gặp của bệnh này bao gồm:

Hãy thông báo ngay cho bác sĩ hoặc đến cơ sở y tế gần nhất để được thăm khám kịp thời nếu gặp các triệu chứng như: Thường xuyên cảm thấy khó thở, mệt mỏi, sụt cân không rõ nguyên nhân, ngất, sốt dai dẳng kéo dài,… Ngoài ra, nếu bản thân nằm trong nhóm đối tượng có nguy cơ cao hoặc tiền sử gia đình đã từng có người mắc bệnh, hãy chủ động kiểm tra sức khỏe định kỳ để được theo dõi và điều trị kịp thời.
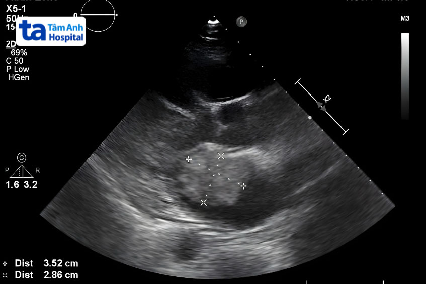
Việc chẩn đoán u nhầy có thể gặp một số khó khăn do triệu chứng của bệnh thường giống với nhiều bệnh lý tim mạch khác. Để chẩn đoán chính xác khối u này, bác sĩ thường thực hiện một số phương pháp như:
Đầu tiên trong quy trình chẩn đoán, bác sĩ sẽ tiến hành khai thác thông tin bệnh nhân thông qua việc thăm hỏi về triệu chứng, tiền sử bệnh cá nhân và gia đình,… Đồng thời, bác sĩ sẽ khám và nghe tim và ghi nhận các tiếng thổi ở tim bất thường của người bệnh.
Sau khi hoàn thành các bước thăm khám lâm sàng, bác sĩ sẽ thực hiện kết hợp một số kỹ thuật chẩn đoán hình ảnh chuyên sâu hơn, chẳng hạn như:

Khi được chẩn đoán mắc u nhầy, phẫu thuật cắt bỏ khối u được xem là phương pháp điều trị cần thiết và hiệu quả nhất. Việc loại bỏ khối u kịp thời không chỉ giảm nguy cơ biến chứng, mà còn ngăn chặn các tổn thương nghiêm trọng ảnh hưởng đến chức năng tim.
Bệnh nhân thường được yêu cầu phẫu thuật ngay nếu khối u này làm tăng nguy cơ thuyên tắc và gây ra các biến chứng đe dọa tính mạng, như đột quỵ hoặc làm tắc nghẽn mạch máu quan trọng.
Sau phẫu thuật, bệnh nhân cần được theo dõi và chăm sóc sau điều trị với sự hướng dẫn của bác sĩ chuyên môn. Việc tuân thủ chỉ định của bác sĩ sau điều trị là vô cùng cần thiết, điều này giúp người bệnh hồi phục sức khỏe nhanh chóng và giảm nguy cơ tái phát.
Hầu hết bệnh nhân mắc u nhầy đều có tiên lượng tốt sau phẫu thuật. Phẫu thuật thường giúp loại bỏ hoàn toàn khối u và giảm nguy cơ tái phát.
Tuy nhiên, vẫn có từ 1-2% trường hợp bệnh nhân phát triển u nhầy mới vào khoảng 10 đến 15 năm sau phẫu thuật. Nguy cơ này thường gặp hơn ở những người mắc hội chứng Carney. Ngoài ra, những người từng mắc bệnh này có nguy cơ cao phải đối mặt với tình trạng rối loạn nhịp nhĩ (vấn đề về nhịp tim ở các buồng tim trên) cao hơn.
Hiện tại, chưa có phương pháp phòng ngừa cụ thể đối với u nhầy tim, đặc biệt là đối với các trường hợp khối u không có nguyên nhân rõ ràng. Tuy nhiên, việc kiểm soát tốt các yếu tố như huyết áp cao, rối loạn nhịp tim và thay đổi lối sống lành mạnh có thể giúp giảm thiểu nguy cơ mắc bệnh.
Bên cạnh đó, nếu bản thân có tiền sử gia đình mắc hội chứng Carney hoặc các bệnh lý di truyền liên quan. Người bệnh cần thường xuyên thăm khám sức khỏe định kỳ để kịp thời phát hiện ra các dấu hiệu tiềm ẩn ảnh hưởng đến sức khỏe, bao gồm khối u nhầy.

U nhầy là loại khối u lành tính, không có khả năng phát triển thành ung thư. Tuy không phải ung thư, nhưng khối u vẫn có thể gây ra các biến chứng nguy hiểm ảnh hưởng đến sức khỏe và tính mạng người bệnh. Do đó, khối u nhầy vẫn cần được theo dõi sớm và điều trị kịp thời.
U nhầy rất hiếm khi tự biến mất. Đa số các khối u nhầy cần được điều trị bằng phẫu thuật để loại bỏ hoàn toàn. Nếu không được can thiệp, khối u này có thể gây ra các biến chứng nghiêm trọng và làm ảnh hưởng đến sức khỏe của người bệnh.
Dù phẫu thuật có thể loại bỏ u nhầy một cách hiệu quả, nhưng vẫn có khoảng 1-2% bệnh nhân có thể gặp tình trạng tái phát khối u trong vòng 10 đến 15 năm sau phẫu thuật. Tỷ lệ tái phát cao hơn ở những bệnh nhân có hội chứng Carney. Vì vậy, bệnh nhân sau phẫu thuật vẫn nên kiểm tra sức khỏe định kỳ để đảm bảo hiệu quả điều trị và kịp thời phát hiện nếu u nhầy có tái phát.
Để đặt lịch khám, tư vấn và điều trị trực tiếp với các bác sĩ tại Trung tâm Tim mạch, Bệnh viện Đa khoa Tâm Anh TP.HCM, quý khách hàng có thể liên hệ theo thông tin sau:
HỆ THỐNG BỆNH VIỆN ĐA KHOA TÂM ANH
U nhầy là một khối u lành tính nhưng có thể gây ra các biến chứng nguy hiểm nếu không được phát hiện và điều trị kịp thời. Việc sàng lọc và chăm sóc sau điều trị đóng vai trò quan trọng trong việc duy trì sức khỏe lâu dài của người bệnh. Với sự can thiệp y tế kịp thời, tiên lượng của bệnh nhân mắc u nhầy tim là rất tốt.