Bạch cầu mạn dòng lympho tiềm ẩn nhiều biến chứng nguy hiểm đe dọa tính mạng của người bệnh. Vậy, nguyên nhân gây bệnh bạch cầu mạn dòng lympho là gì? Điều trị bệnh bằng cách nào?
Bạch cầu mạn dòng lympho là gì?
Bạch cầu mạn dòng lympho (CLL) là bệnh ung thư máu do tăng sinh tế bào lympho quá mức ở tủy xương, khiến tế bào bạch cầu bị biến đổi bất thường, gây lấn át các tế bào máu khỏe mạnh khác.
Bệnh bạch cầu mạn dòng lympho có thể diễn biến âm thầm mà không gây ra bất kỳ triệu chứng cụ thể nào. Trong nhiều trường hợp, bệnh bạch cầu lympho mạn tính chỉ có thể được phát hiện thông qua kết quả xét nghiệm máu tổng quát khi khám sức khỏe định kỳ [1].
Khác với dạng cấp tính, bệnh bạch cầu lympho mạn tính có xu hướng tiến triển chậm, quan sát mẫu máu của người bệnh dưới kính hiển vi có thể thấy được các tế bào máu bất thường với đủ loại hình thái ở các giai đoạn biệt hoá trưởng thành khác nhau (trong khi ở thể cấp tính thường không biểu hiện đầy đủ).
Bệnh bạch cầu mạn dòng lympho gây ra tình trạng sản sinh quá mức các tế bào bạch cầu bất thường ở tủy xương.
Phân loại bệnh bạch cầu mạn dòng lympho
1. Tế bào lympho B
Tế bào lympho B hay còn gọi là tế bào B, đảm nhận vai trò sản xuất hạt loạt kháng thể tương thích với tác nhân xâm nhập vào cơ thể (khoảng 10.000 kháng thể/giây). Khi mắc bệnh bạch cầu mạn dòng lympho B, quá trình tạo ra kháng thể sẽ bị ảnh hưởng nghiêm trọng.
2. Tế bào lympho T
Khi mắc bệnh bạch cầu mạn dòng lympho T, hệ thống miễn dịch sẽ suy yếu nghiêm trọng, khi đó cơ thể sẽ nhanh chóng bị suy kiệt. Bởi tế bào lympho T hay còn gọi là tế bào T đóng vai trò quan trọng trong việc kiểm soát phản ứng của hệ thống miễn dịch. Tế bào T sẽ trực tiếp tham gia vào quá trình tấn công để triệt tiêu các tế bào bất thường (bao gồm cả các tế bào ác tính).
Nguyên nhân gây bệnh bạch cầu lympho mạn tính
Nguyên nhân gây bệnh bạch cầu mạn dòng lympho có thể bắt nguồn từ sự thay đổi hoặc đột biến gen xảy ra trong cơ thể. Tuy nhiên, căn nguyên gây ra tình trạng đột biến gen này vẫn chưa được xác định cụ thể. Theo các chuyên gia, một số yếu tố rủi ro có thể góp phần làm tăng nguy cơ mắc bệnh CLL [2], gồm:
Yếu tố di truyền: Nguy cơ mắc bệnh CLL có thể gia tăng ở người có tiền sử gia đình mắc phải bệnh lý này.
Tuổi tác: Người cao tuổi có nguy cơ mắc bệnh CLL cao hơn các đối tượng khác.
Giới tính: So với nữ giới, nguy cơ mắc bệnh CLL ở nam giới có thể cao hơn.
Thường xuyên tiếp xúc với hóa chất: Người thường xuyên tiếp xúc với hóa chất (đặc biệt là chất độc màu da cam) có thể tiềm ẩn nguy cơ khởi phát bệnh CLL.
Tình trạng tăng tế bào lympho B đơn dòng (MBL): Lượng tế bào lympho B đơn dòng cao hơn bình thường có thể tìm ẩn nguy cơ khởi phát bệnh CLL.
Người cao tuổi có thể dễ mắc phải bạch cầu mạn dòng lympho hơn các độ tuổi khác.
Triệu chứng bệnh bạch cầu mạn dòng lympho
Trong hầu hết các trường hợp, bạch cầu mạn dòng lympho có thể diễn biến âm thầm mà không gây ra bất kỳ triệu chứng đặc hiệu nào. Khi bệnh tiến triển nghiêm trọng hơn có thể gây ra các dấu hiệu như:
Mệt mỏi, uể oải do sự thiếu hụt tế bào hồng cầu dẫn đến tình trạng thiếu máu.
Sốt cao do cơ thể bị nhiễm trùng – khi mắc bệnh CLL, nguy cơ nhiễm trùng sẽ gia tăng do lượng tế bào bạch cầu khỏe mạnh bị suy giảm nghiêm trọng.
Sưng hạch bạch huyết ở các vùng như nách, cổ, bụng hoặc bẹn.
Thường xuyên đổ mồ hôi vào ban đêm.
Sụt cân không rõ nguyên nhân.
Cảm giác đau nhức ở vùng dưới xương sườn do bệnh CLL có thể ảnh hưởng nghiêm trọng đến lách và gan.
Biến chứng có thể xảy ra khi mắc bệnh bạch cầu lympho mạn tính
Nếu không được chẩn đoán và điều trị kịp thời, bệnh sẽ ảnh hưởng nghiêm trọng đến các tế bào máu khỏe mạnh (hồng cầu, tiểu cầu, bạch cầu), tiềm ẩn nhiều rủi ro sức khỏe thậm chí đe dọa tính mạng của người bệnh. Các biến chứng nguy hiểm có thể xảy ra ở người mắc phải bạch cầu mạn dòng lympho điển hình như:
U lympho: Tỷ lệ phát triển nên u lympho ở người bệnh CLL có thể dao động từ 2 – 10%.
Tăng nguy cơ mắc các bệnh ung thư khác: Nguy cơ khởi phát các bệnh ung thư khác có thể gia tăng ở người bệnh CLL. Bởi hệ thống miễn dịch ở người bệnh CLL thường bị suy yếu, không đủ khả năng bảo vệ cơ thể khỏi các tác nhân gây bệnh.
Thiếu máu: Bệnh CLL sẽ làm giảm lượng tế bào hồng cầu khỏe mạnh có trong cơ thể. Trong khi đó, các tế bào hồng cầu đảm nhiệm vai trò vận chuyển oxy đi khắp cơ thể.
Thúc đẩy phản ứng nhiễm trùng: Hệ thống miễn dịch suy yếu do bệnh CLL chính là điều kiện thuận lợi gây khởi phát các phản ứng nhiễm trùng trong cơ thể.
Khởi phát bệnh thiếu máu tan máu tự miễn: Trong một số trường hợp, người bệnh CLL có thể bị thiếu máu tan máu tự miễn.
Chẩn đoán bệnh bạch cầu mạn thể lympho
1. Phương pháp chẩn đoán
Để chẩn đoán chính xác bệnh bạch cầu mạn dòng lympho, đầu tiên bác sĩ sẽ tiến hành thăm khám lâm sàng để ghi nhận các triệu chứng đặc hiệu (nếu có) và một số thông tin cần thiết như tuổi tác, tiền sử mắc bệnh trong gia đình, thói quen sinh hoạt… Sau đó, để đủ cơ sở đưa ra chẩn đoán chính xác bạch cầu mạn thể lympho, bác sĩ có thể chỉ định người bệnh thực hiện một số xét nghiệm [3], gồm:
Xét nghiệm công thức máu toàn phần (CBC): Giúp đánh giá số lượng tế bào bạch cầu, hồng cầu và tiểu cầu trong huyết tương. Đồng thời, kết quả CBC cũng giúp bác sĩ đánh giá được lượng hemoglobin (protein mang oxy) trong hồng cầu.
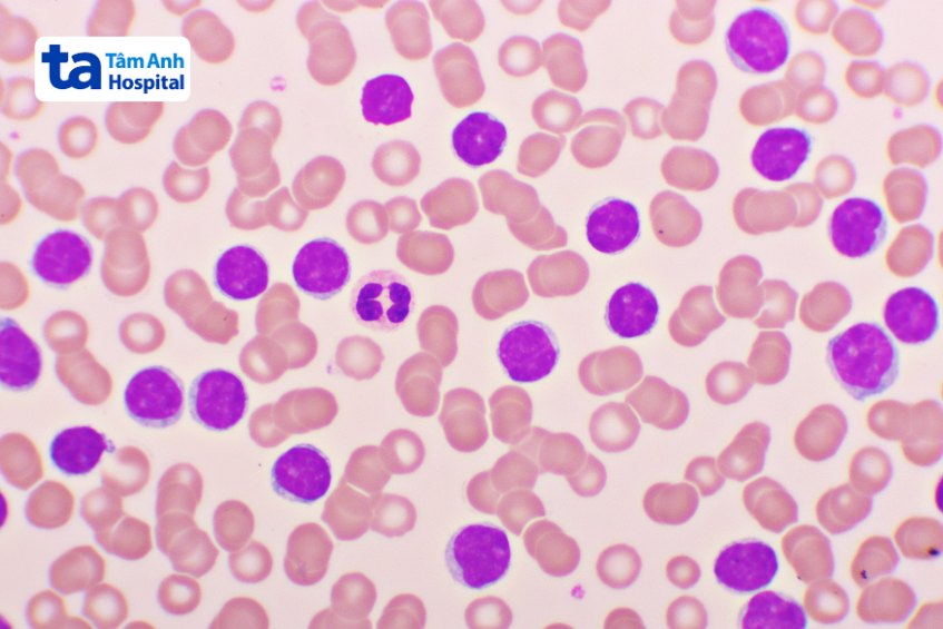
Xét nghiệm phết máu ngoại vi: Giúp bác sĩ quan sát, tìm kiếm các tế bào máu ác tính có trong máu ngoại vi.
Phân tích tế bào dòng chảy: Kết quả phân tích tế bào dòng chảy giúp bác sĩ xác định được các tế bào bạch cầu bị biến đổi bất thường.
Xét nghiệm di truyền học: Để kiểm tra nhiễm sắc thể và gen giúp chẩn đoán bệnh CLL, các chuyên gia huyết học có thể thực hiện lai huỳnh quang tại chỗ (FISH) và xét nghiệm chuỗi nặng immunoglobulin (IGHV).
Để chẩn đoán chính xác bạch cầu lympho mạn tính người bệnh cần thực hiện một số xét nghiệm chuyên sâu.
2. Các giai đoạn của bệnh
Theo các chuyên gia, bệnh CLL được phân loại dựa trên hai hệ thống, gồm:
Hệ thống RAI:
Giai đoạn RAI 0: Đặc trưng bởi tình trạng tăng tế bào bạch cầu bất thường trong tủy xương và máu.
Giai đoạn RAI I (hoặc giai đoạn II): Đặc trưng bởi tình trạng gan to, sưng hạch bạch huyết và lách.
Giai đoạn RAI III: Đặc trưng bởi tình trạng giảm tiểu cầu, thiếu máu nghiêm trọng.
Hệ thống Binet: Phân loại dựa trên số lượng tế bào máu và số vùng cơ thể xuất hiện hạch bạch huyết sưng to:
Giai đoạn A: Người bệnh không bị thiếu máu (thiếu hồng cầu) hoặc lượng tiểu cầu thấp nhưng bị sưng hạch bạch huyết ở ít nhất hai vùng trong cơ thể. Ví dụ, sưng hạch bạch huyết ở cổ và háng.
Giai đoạn B: Xuất hiện hạch bạch huyết sưng to ở ba vùng trên cơ thể nhưng lượng tế bào tiểu cầu bình thường và không đi kèm tình trạng thiếu máu.
Giai đoạn C: Đặc trưng bởi tình trạng thiếu máu, sưng hạch bạch huyết từ 3 vùng trên cơ thể.
Phương pháp điều trị bệnh bạch cầu mạn dòng lympho
Hiện tại, các nhà khoa học cho biết vẫn chưa có biện pháp điều trị triệt để bệnh bạch cầu lympho mạn tính. Mục tiêu điều trị bệnh lý này là tập trung nâng cao hiệu quả làm thuyên giảm triệu chứng và sự ảnh hưởng của bệnh đối với sức khỏe, từ đó nâng cao chất lượng sống cho người bệnh.
1. Liệu pháp nhắm mục tiêu
Liệu pháp nhắm mục tiêu tập trung vào việc triệt tiêu tế bào máu ác tính, đồng thời bảo vệ các tế bào máu khỏe mạnh. Các liệu pháp nhắm mục tiêu giúp hỗ trợ điều trị bạch cầu mạn dòng lympho bao gồm:
Liệu pháp ức chế tyrosine kinase Bruton (BTK): Kiểm soát hoạt động của các enzyme gây kích thích tế bào B phát triển thành các tế bào bạch cầu dư thừa.
Liệu pháp ức chế BCL2: BCL2 là một loại protein được tìm thấy trên các tế bào bệnh bạch cầu, bao gồm bệnh CLL. Phương pháp điều trị này có thể tiêu diệt các tế bào bệnh hoặc khiến chúng dễ bị tiêu diệt bởi các phương pháp điều trị khác.
Liệu pháp kháng thể đơn dòng: Kháng thể đơn dòng là loại kháng thể sở hữu tác động giúp ngăn chặn sự phát triển hoặc tiêu diệt các tế bào ác tính.
2. Hóa trị
Để hỗ trợ điều trị bệnh bạch cầu mạn tính thuộc dòng lympho, bác sĩ có thể chỉ định người bệnh thực hiệu hóa trị. Tùy thuộc vào từng tình trạng bệnh, bác sĩ sẽ cân nhắc đưa ra liệu trình hóa trị với tần suất phù hợp. Hóa trị có thể là phương pháp điều trị bệnh CLL chính hoặc kết hợp với các liệu pháp khác (tùy thuộc vào chỉ định của bác sĩ).
3. Liệu pháp miễn dịch
Liệu pháp miễn dịch tập trung vào mục tiêu làm chậm sự phát triển của tế bào máu ác tính bằng cách phục hồi và tăng cường hệ thống miễn dịch của cơ thể. Để hỗ trợ điều trị bệnh CLL tái phát hoặc không đáp ứng với hóa trị, bác sĩ có thể cân nhắc người bệnh thực hiện liệu pháp miễn dịch (sử dụng thuốc miễn dịch trị liệu lenalidomide). Ngoài ra, liệu pháp thụ thể kháng nguyên khảm (CAR-T) cũng đang được nghiên cứu để ứng dụng vào điều trị bệnh CLL không đáp ứng với các phương pháp điều trị tiêu chuẩn.
Hướng dẫn chăm sóc người mắc bệnh bạch cầu mạn dòng lympho
Người bệnh CLL cần được chăm sóc đặc biệt để có thể nâng cao sức đề kháng, hỗ trợ tăng hiệu quả điều trị bệnh. Một số lưu ý trong quá trình chăm sóc người mắc bệnh CLL gồm:
Người bệnh CLL cần dành nhiều thời gian nghỉ ngơi, tránh hoạt động quá sức.
Trao đổi với bác sĩ về cách chăm sóc sức khỏe người bệnh sao cho phù hợp với từng giai đoạn bệnh.
Xây dựng chế độ dinh dưỡng chuyên biệt, tập trung bổ sung chất dinh dưỡng cần thiết giúp xây dựng sức khỏe và tối ưu hệ thống miễn dịch của cơ thể.
Tuân thủ nghiêm ngặt chỉ định sử dụng thuốc, lịch hẹn tái khám của bác sĩ điều trị.
Thông báo ngay với bác sĩ khi người bệnh xuất hiện các triệu chứng bất thường để có biện pháp xử trí kịp thời.
Người bệnh bạch cầu mạn dòng lympho cần được chăm sóc đặc biệt dựa trên hướng dẫn của bác sĩ.
Tóm lại, chậm trễ trong chẩn đoán và điều trị bạch cầu mạn dòng lympho có thể đe dọa tính mạng của người bệnh. Mỗi người nên thăm khám sức khỏe định kỳ để sớm phát hiện yếu tố gây bệnh tiềm ẩn, từ đó có biện pháp xử trí kịp thời giúp hạn chế biến chứng nguy hiểm.
Cập nhật lần cuối: 16:06 12/06/2025
Chia sẻ:
Nguồn tham khảo
Chronic lymphocytic leukemia (CLL). (2025, March 19). Cleveland Clinic. https://my.clevelandclinic.org/health/diseases/6210-chronic-lymphocytic-leukemia
Chronic lymphocytic leukemia – Symptoms and causes. (n.d.). Mayo Clinic. https://www.mayoclinic.org/diseases-conditions/chronic-lymphocytic-leukemia/symptoms-causes/syc-20352428
Chronic lymphocytic leukemia treatment. (2024, October 15). Cancer.gov. https://www.cancer.gov/types/leukemia/patient/cll-treatment-pdq