Chị Hàn, 30 tuổi, vỡ vụn xương mũi, gãy 2 răng sau khi bị tác động mạnh vào vùng mặt, được phẫu thuật nâng xương chỉnh hình mũi.

BS.CKI Châu Trà Linh, Trung tâm Tai Mũi Họng, Bệnh viện Đa khoa Tâm Anh TP HCM cho biết, chị Hàn nhập viện trong tình trạng chảy máu mũi đã cầm, tháp mũi sưng nề, đau vùng mũi và má trái kèm ù tai. Bác sĩ nội soi tai mũi họng thấy vách ngăn mũi lệch, khe và sàn mũi hai bên đọng dịch kèm máu tươi lẫn máu cũ.
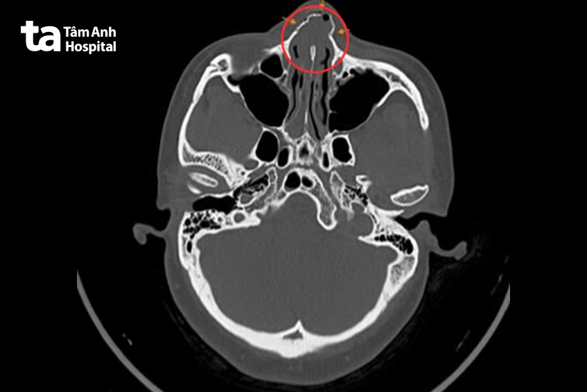
Kết quả chụp CT-scan vùng hàm mặt thấy xương mũi gãy kín thành nhiều mảnh, sưng nề phần mềm, vẹo vách ngăn mũi sang trái. Bác sĩ Trà Linh chẩn đoán chị Hàn vỡ xương chính mũi, chấn thương phần mềm vùng má bên trái, chấn thương răng, không thủng nhĩ. Trước đó, chị Hàn từng phẫu thuật thẩm mỹ nâng mũi, chỉnh sửa dáng mũi.

Chị Hàn được kê đơn thuốc điều trị giảm sưng nề vùng mũi, ổn định ban đầu trước khi tiến hành phẫu thuật nâng xương chỉnh hình mũi qua gây mê toàn thân.
Trong ca phẫu thuật nội soi, ThS.BS.CKII Phạm Thái Duy, Trung tâm Tai Mũi Họng, dùng kềm chuyên dụng nâng xương chỉnh mũi, chỉnh di lệch mũi, kiểm tra xương mũi thẳng. Cuối cùng đặt meche cố định xương trong mũi, hạn chế di lệch, chảy máu phù nề sau phẫu thuật.
Bác sĩ Duy cho biết, trường hợp chị Hàn, chấn thương vùng mũi chưa tác động đến chất liệu được dùng trong lần phẫu thuật thẩm mỹ nâng mũi trước đây, nên không cần lấy ra hoặc thay thế để tránh biến chứng. Phẫu thuật nhằm nắn chỉnh lại các cấu trúc bị gãy là phần xương mũi, xương hàm mặt bên trong.
Hậu phẫu, sức khỏe ổn định, chị Hàn xuất viện sau 3 ngày. Tái khám, vết mổ lành thương tốt, mũi cân đối, trở lại hình dáng ban đầu, đường thở thông thoáng.

Bác sĩ Thái Duy khuyến cáo, người bị gãy xương mũi cần điều trị sớm và đúng cách, khoảng 4-7 ngày đầu sau chấn thương, khi can xương chưa hình thành. Đây là thời điểm bác sĩ có thể nắn chỉnh xương mũi trở lại vị trí ban đầu, giúp giữ dáng mũi tự nhiên và hạn chế biến dạng. Nếu để muộn, can xương hình thành lệch, khiến sống mũi gồ, lõm hoặc vẹo sang một bên, làm mất cân đối khuôn mặt. Lâu dần, mô mềm quanh mũi xơ hóa, co kéo, khiến da mũi biến dạng, kém đàn hồi, không chỉ ảnh hưởng thẩm mỹ mà còn gây nghẹt mũi, khó thở do vách ngăn bị lệch theo.
Sau một tác động mạnh vào vùng mũi, nếu thấy sưng đau, bầm tím hoặc vết xây xước ở da vùng mũi, biến dạng mũi, chảy máu mũi hoặc nghẹt mũi… nên đi khám sớm với bác sĩ chuyên khoa Tai Mũi Họng để được chẩn đoán và điều trị kịp thời, hạn chế biến chứng.
* Tên người bệnh đã được thay đổi.
HỆ THỐNG BỆNH VIỆN ĐA KHOA TÂM ANH