Nghe tin chồng khó qua khỏi, ngay trong đêm bà Yến lên máy bay qua Campuchia đưa chồng về Việt Nam. Phép màu xảy ra, bác sĩ BVĐK Tâm Anh TP.HCM phát hiện ra thuyên tắc phổi, hồi sinh ngoạn mục, không để lại di chứng.

Sáng 14/11, ông H.V.D. 59 tuổi được xuất viện sau khi các bác sĩ kiểm tra, đánh giá sức khỏe đã ổn định. Ông nắm tay từng bác sĩ, điều dưỡng để cảm ơn vì kịp thời giành lại sự sống.
Ông D. làm kinh doanh, thường xuyên công tác tại Campuchia. Ngày 7/11, đang làm việc tại Campuchia, mắt ông mờ dần, khó thở, tiểu tiện tại chỗ trong vô thức. Ông vào nhà vệ sinh cố gắng cởi quần dài từng chút một, mồ hôi chảy như tắm. Thấy tình hình bất ổn, ông liền gọi nhân viên đưa đến bệnh viện gần nhất. Tại một bệnh viện ở Campuchia, các bác sĩ ghi nhận huyết áp người bệnh tụt còn 70/60mmHg (bình thường bình thường 120/80 mmHg), được truyền dịch nâng huyết áp trong khi đợi người nhà từ Việt Nam sang.
6h sáng 8/11, bà Yến đến nơi, lúc này huyết áp chồng bà ghi nhận ở mức 90/80mmHg, bà đề nghị đưa chồng về BVĐK Tâm Anh TP.HCM bằng xe cấp cứu, có hỗ trợ oxy và y tá đi cùng. Trên xe, bà rơi nước mắt, cầu nguyện “tai qua nạn khỏi”, nắm tay chồng trấn an ông bình tĩnh.

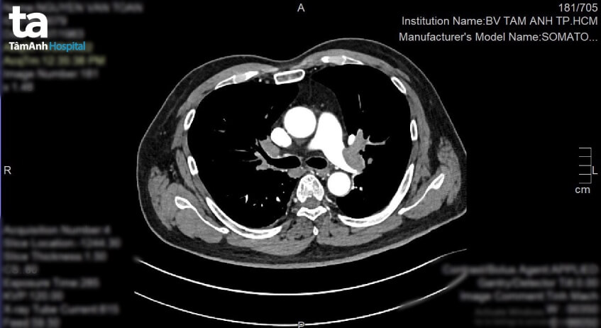
10h30 cùng ngày, xe cấp cứu từ Campuchia về đến khoa Cấp cứu, BVĐK Tâm Anh TP.HCM. Bác sĩ CKI Đoàn Quốc Anh tiếp nhận ông D. trong tình trạng khó thở, vã mồ hồi, nét mặt tái xanh, huyết áp 90/70mmHg, chỉ số SpO2 (mức độ bão hòa oxy trong máu động mạch) giảm còn 89% (bình thường 95% – 100%), mạch nhanh 135 lần/phút, có khả năng suy hô hấp nặng, nguy kịch tính mạng. Nghi ngờ người bệnh bị thuyên tắc phổi, bác sĩ Quốc Anh chỉ định chụp CT-scan. Kết quả ghi nhận người bệnh bị thuyên tắc phổi do huyết khối cấp gây tắc gần hoàn toàn động mạch phổi phải, động mạch phổi trái và các nhánh động mạch phổi 2 bên.
Nhanh chóng, người bệnh được dùng thuốc kháng đông và chuyển đến khoa Hồi sức tích cực (ICU) để tiếp tục điều trị. Thạc sĩ bác sĩ Huỳnh Khiêm Huy, Trưởng khoa Hồi sức tim mạch – Trung tâm Tim mạch, BVĐK Tâm Anh TP.HCM đánh giá bệnh nhân đã suy hô hấp tuần hoàn, nếu không can thiệp bằng tiêm thuốc tiêu sợi huyết, ông D. sẽ tử vong. Ngay lập tức, cả ê kip trực gồm bác sĩ và điều dưỡng khởi động máy móc theo dõi, chuẩn bị thuốc và truyền thuốc tiêu sợi huyết cho ông D. Chỉ 3 phút sau, ông D. thở bình thường trở lại, nói chuyện không ngắt quãng, được giảm dần và ngưng thuốc trợ tim.

Từ phòng hồi sức bước ra, bác sĩ Huy thông báo tình trạng ông D. tạm thời ổn định. Mẹ con bà Yến vỡ òa. BVĐK Tâm Anh TP.HCM có đội ngũ nhân viên y tế giàu kinh nghiệm và đầy đủ trang thiết bị để vừa có thể theo dõi sát tình trạng người bệnh và đồng thời chuẩn bị các phương án dự phòng khi có biến chứng xuất huyết, đặc biệt là xuất huyết não xảy ra sau khi dùng thuốc tiêu sợi huyết. Nhờ phác đồ theo dõi chuẩn, sau 24 giờ theo dõi, ông D. không xuất hiện biến chứng.
Người bệnh được chuyển xuống Trung tâm Tim mạch để truyền thuốc kháng đông, sau đó điều chỉnh sang thuốc viên. Trên giường bệnh, ông D. thoải mái xem tivi và trò chuyện cùng con gái. Thỉnh thoảng, có cuộc gọi của người quen hỏi thăm sức khỏe, ông bắt máy, kể lại hiểm nguy đã đi qua.
Nhìn chồng hồi sinh trở lại, bà Yến kể suốt quá trình cấp cứu và hồi sức, hai mẹ con bà đứng ngồi không yên, lặng người trong từng nhận định của bác sĩ. Nghe chồng có nguy cơ tử vong đến 9 phần, mẹ con bà cố cầm cự nhưng nước mắt vẫn chảy giàn giụa. Bà sợ mất chồng bởi cách đây 10 năm, con trai bà cũng “ra đi” ở tuổi 22 nghi do đột quỵ. 3 năm trước, mẹ chồng bà cũng mất vì tai biến mạch máu não nên lần này bà rất sợ!
Cách nhập viện 10 ngày, bà Yến linh tính trong đợt đi công tác Campuchia lần này có điều chẳng lành. Bởi bà thấy ông hụt hơi, khó thở khi rinh chậu hoa mai nặng khoảng 20kg từ trên kệ cao cách mặt đất 1,2m xuống sàn. Để an tâm, bà ra tiệm thuốc tây mua thuốc cho ông uống 2 ngày. Sức khỏe tạm ổn, ông thấy bớt nên tiếp tục sang Campuchia công tác. Dự tính khi về Việt Nam sẽ đến BVĐK Tâm Anh TP.HCM khám tổng quát. Tuy nhiên, sức khỏe ông chuyển biến xấu và dẫn đến nguy kịch.

Thạc sĩ bác sĩ Phạm Hoàng Trọng Hiếu, Trung tâm Tim mạch, BVĐK Tâm Anh TP.HCM cho biết, có nhiều nguyên nhân dẫn đến hình thành huyết khối gây thuyên tắc phổi: rối loạn đông máu, ngồi/nằm lâu một chỗ, dùng thuốc ngừa thai… Trường hợp ông D. thường xuyên di chuyển bằng máy bay phải ngồi lâu một chỗ, ít vận động nên dễ hình thành cục máu đông. Ngoài ra, gia đình ông từng có người đột quy, tai biến mạch máu não nên cần tầm soát yếu tố di truyền, đánh giá yếu tố đông máu.
Ngày ông D. xuất viện vẫy tay chào từng bác sĩ, điều dưỡng. Bác sĩ Hiếu khuyên ông D. vận động nhẹ nhàng, đi bộ thường xuyên và không làm việc gắng sức. Khi ngồi trên máy bay, cứ mỗi 30 – 60 phút nên đi lại lòng vòng hoặc cử động chân. Bác sĩ Hiếu cũng khuyên nhóm người có yếu tố nguy cơ thuyên tắc phổi cần tầm soát bệnh tim, thuyên tắc mạch gồm: phụ nữ dùng thuốc ngừa thai; người làm việc văn phòng, đi máy bay đường dài, ít vận động; hút thuốc lá; người bệnh tim mạch, béo phì; di truyền rối loạn đông máu (gia đình có người bị đột quỵ, tai biến mạch máu não)…
Bác sĩ Huy cho biết thuốc tiêu sợi huyết chỉ dùng ở các cơ sở y tế đạt tiêu chuẩn danh mục kỹ thuật được Bộ Y tế cấp phép. BVĐK Tâm Anh TP.HCM có đầy đủ điều kiện, máy móc và thuốc tiêu sợi huyết. Đặc biệt với đội ngũ bác sĩ giỏi, sự phối hợp nhuần nhuyễn, quyết định nhanh chóng của êkíp bác sĩ cấp cứu và hồi sức đã kịp thời phát hiện, giúp người bệnh thoát khỏi cửa tử.
HỆ THỐNG BỆNH VIỆN ĐA KHOA TÂM ANH