Bệnh nhân được phẫu thuật nội soi cắt u quái buồng trứng phải, nội mạch tắc bán phần dị dạng mạch máu tử cung.
Nguyễn Thị Nga (30 tuổi, TP Thủ Đức) bị đau nhiều vùng hạ vị vào ngày đầu chu kỳ kinh, ra máu kinh nhiều, số ngày kinh kéo dài suốt gần một năm nay. Vì triệu chứng tiến triển nặng nên sáng 1/11, chị khám, nhập viện BVĐK Tâm Anh TP HCM điều trị.
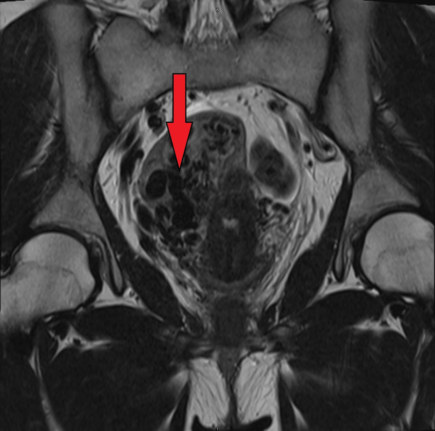
BS.CKII Thi Văn Gừng, Trưởng đơn vị Hình ảnh học can thiệp – Trung tâm Chẩn đoán hình ảnh & Điện quang can thiệp, kiêm Phó Giám đốc Trung tâm Can thiệp mạch, Bệnh viện Đa khoa Tâm Anh TP HCM cho biết, sau khi siêu âm, chụp cộng hưởng từ vùng chậu chẩn đoán cho thấy chị Nga có 2 tổn thương. Bên cạnh khối u buồng trứng phải kích thước khoảng 3.5 cm, nghi ngờ u quái buồng trứng, bệnh nhân còn có khối tổn thương lớn mặt sau dưới thanh mạc cơ tử cung, kích thước khoảng 6 cm, có nhiều mạch máu bên trong, nghi ngờ thông nối động tĩnh mạch (arteriovenous malformation-AVM) trong cơ tử cung.


Chị Nga độc thân, do đó bác sĩ vừa điều trị, kết hợp bảo tồn tử cung và 2 buồng trứng.
BS.CKII Nguyễn Bá Mỹ Nhi, Giám đốc Trung tâm Sản Phụ khoa Bệnh viện Đa khoa Tâm Anh TP HCM cho biết, AVM gây ra bởi sự tăng sinh các động mạch, tĩnh mạch với sự hình thành của thông nối trực tiếp giữa động mạch, tĩnh mạch không qua mao mạch. Đa số AVM ở tử cung thường mắc phải sau sảy thai, thủ thuật như nạo phá thai, mổ lấy thai… Một số trường hợp hiếm gặp là AVM bẩm sinh như trường hợp bệnh nhân Nga là xuất phát phát từ sự bất thường phát triển phôi thai.
AVM tử cung là một bất thường hiếm gặp, y văn thế giới ghi nhận 150 trường hợp được báo cáo, là nguyên nhân có thể gây xuất huyết âm đạo đe dọa tính mạng của bệnh nhân.
Nếu AVM nhỏ, chưa gây ra biến chứng nặng nề như xuất huyết âm đạo ồ ạt gây nguy hiểm đến tính mạng thì có thể điều trị bằng thuốc. Trường hợp AVM lớn hoặc chảy máu nhiều thì cần điều trị tích cực hơn bằng can thiệp nội mạch hoặc phẫu thuật cắt tử cung.
Ekip đã tiến hành phẫu thuật nội soi cắt u buồng trứng phải và lấy mẫu bệnh phẩm. Kết quả giải phẫu bệnh người bệnh mắc u quái trưởng thành lành tính (Mature teratoma).
Hai ngày sau phẫu thuật, bệnh nhân được tiến hành can thiệp nội mạch tắc bán phần dị dạng mạch máu của tử cung. Sau can thiệp, bệnh nhân khỏe mạnh, không đau bụng, xuất viện một ngày sau đó. Chị Nga tái khám sau một tháng để can thiệp tắc phần còn lại của dị dạng mạch máu tử cung.

Bác sĩ Gừng cho biết thêm, dị dạng mạch máu tử cung bẩm sinh của bệnh nhân lớn, được xếp nguy cơ cao gây chảy máu ồ ạt nếu bị vỡ vào trong ổ bụng hoặc xuất huyết tử cung nặng. Khối này được cấp máu từ rất nhiều nhánh có nguồn gốc động mạch chậu trong hai bên, bác sĩ phải chọn lọc sâu vào nhánh động mạch cấp máu cho dị dạng, bơm tắc cẩn thận để tránh dội vào nhánh động mạch lành nuôi tử cung, nhánh mạch máu nuôi buồng trứng.
“Trước đây các dị dạng mạch máu phức tạp như chị Nga bắt buộc phải cắt bỏ tử cung để điều trị. Hiện, phương pháp can thiệp nội mạch kết hợp chụp hình mạch máu xóa nền sau đó nút mạch giúp điều trị cho, bảo tồn tử cung và giảm thiểu nguy cơ suy buồng trứng cho người bệnh”, bác sĩ Nguyễn Bá Mỹ Nhi cho biết.
HỆ THỐNG BỆNH VIỆN ĐA KHOA TÂM ANH