Bà Hoa (62 tuổi) đột ngột tê yếu nửa người, nghĩ đột quỵ, bác sĩ phát hiện ung thư phổi di căn xuất hiện nhiều u ở não, gan, thận, xương.

BS.CKII Nguyễn Trần Anh Thư, khoa Ung Bướu, Trung tâm Ung Bướu, Bệnh viện Đa khoa Tâm Anh TP HCM, cho biết kết quả chụp MRI sọ não ghi nhận bà Hoa có khối u lớn 2,5 cm ở vùng trán – đỉnh bên phải gây phù não lan rộng và chèn ép sừng trán não thất phải. Tiểu não hai bên có hai nốt tổn thương cùng nhiều u nhỏ khác trong não (đa ổ). Bác sĩ nghi ngờ các khối u ở não do ung thư di căn.
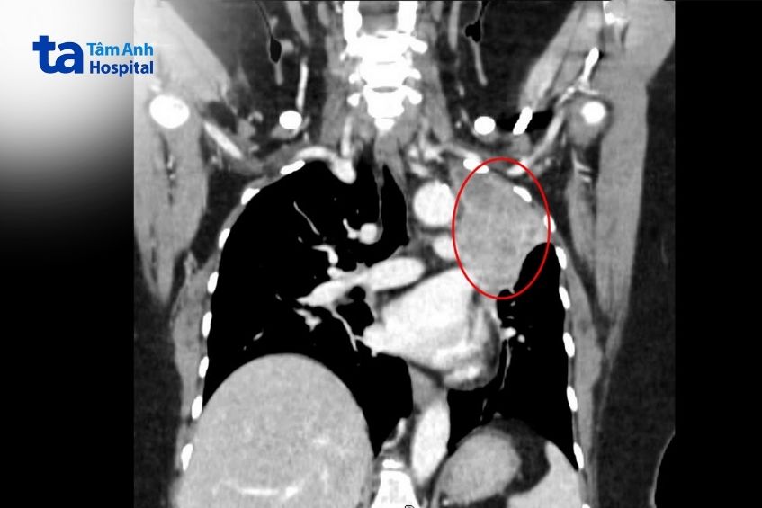
“Đây là nguyên nhân khiến bà Hoa xuất hiện các triệu chứng đau đầu, mất thăng bằng, tê yếu nửa người như đột quỵ”, bác sĩ Anh Thư cho biết, thêm rằng kết quả chụp CT lồng ngực tiếp tục ghi nhận thùy trên phổi trái của người bệnh có khối tổn thương kích thước hơn 7 cm, bờ gồ ghề, gây xẹp phổi xung quanh. Bà Hoa trước đây nhiều lần bị bệnh cảm sốt nhưng chỉ uống thuốc điều trị tại nhà. Lần gần nhất bà có vấn đề sức khỏe là bị hoa mắt, chóng mặt, ngất xỉu, nằm ngủ mê man 6 tiếng thì khỏe lại.

Sau hội chẩn, bà Hoa được ê kíp phẫu thuật thần kinh mổ não lấy trọn khối u 2,5 cm để giải áp nội sọ, giúp cải thiện các triệu chứng. Kết quả giải phẫu bệnh tổn thương ở não xác nhận ung thư biểu mô tuyến của phổi di căn não. Các kết quả kiểm tra sau đó tiếp tục ghi nhận bà Hoa bị di căn thêm ở gan, thượng thận, xương.
Bác sĩ Anh Thư cho biết bà Hoa phát hiện bệnh ở giai đoạn trễ. Việc điều trị hiện tại tập trung vào cải thiện triệu chứng, giảm đau, nâng cao chất lượng cuộc sống. Bên cạnh dùng thuốc giảm đau, bà Hoa được xạ trị để giảm các triệu chứng đau dữ dội ở đầu, buồn nôn, chóng mặt, mất khả năng giữ thăng bằng…
BS.CKII Bùi Lê Phước Thu Thảo – Phó khoa Xạ trị, Trung tâm Ung bướu, Bệnh viện Đa khoa Tâm Anh TP HCM, cho hay do bà Hoa có nhiều khối u di căn ở khắp não (đa ổ), nên được chỉ định xạ trị toàn bộ não với 10 tia. Tuy nhiên, não có hai dải hồi hải mã có vai trò trong ghi nhớ, học tập, định hướng không gian. Do đó, đội ngũ kỹ sư vật lý y khoa chọn kỹ thuật xạ trị không đồng phẳng nhằm bảo tồn hồi hải mã, giúp giảm thiểu các triệu chứng liên quan đến nhận thức, trí nhớ, cải thiện chất lượng sống cho người bệnh.
Ngoài ra, bệnh nhân được chỉ định tăng liều đồng thời vào các tổn thương đại thể (2 tổn thương tiểu não) để nâng hiệu quả điều trị. Vài lần xạ đầu tiên, người bệnh có cảm giác triệu chứng tăng hơn do phản ứng viêm của khối u gây tăng chèn ép. Các lần xạ tiếp theo, triệu chứng cải thiện dần, bà Hoa thấy không còn đau đầu, buồn nôn, chóng mặt, ăn uống và vận động dễ dàng hơn.

Bác sĩ Anh Thư cho biết ung thư phổi đứng hàng đầu trong số ca mắc và tử vong do ung thư trên thế giới cũng như tại Việt Nam. Bệnh tiến triển âm thầm, ở giai đoạn sớm, ung thư phổi không biểu hiện triệu chứng. Khi các triệu chứng xuất hiện, thường bệnh đã ở giai đoạn muộn, khối u lan rộng, xâm lấn hệ thống hạch bạch huyết và các cơ quan xa qua hệ thống mạch máu và mạch bạch huyết.
Ung thư phổi khi được phát hiện sớm và điều trị đúng hướng, người bệnh có khả năng được chữa khỏi – kiểm soát bệnh, tiên lượng sống cao.
Bác sĩ Anh Thư khuyên mỗi người nên khám sức khỏe định kỳ. Nhóm nguy cơ cao như người từ 50 tuổi trở lên, tiền sử hút thuốc lá nên khám sàng lọc, chụp CT phổi liều thấp để kiểm tra sức khỏe phổi, có thể phát hiện sớm các bất thường (nếu có) và điều trị hiệu quả.
*Tên nhân vật đã được thay đổi
HỆ THỐNG BỆNH VIỆN ĐA KHOA TÂM ANH