Hà Nội _ Khối u ác tính sần sùi bám vào mặt dưới lưỡi, xâm lấn hạch trong khoang sàn miệng, ảnh hưởng khả năng nhai nuốt, phát âm của người đàn ông 52 tuổi.

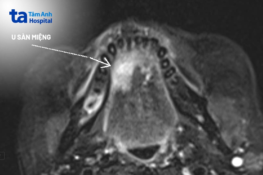
Ông Hùng (ngụ tại Thái Nguyên) có cảm giác đau trong miệng suốt hơn 1 tháng, điều trị tại địa phương không khỏi. Tại Bệnh viện Đa khoa Tâm Anh Hà Nội, bác sĩ chẩn đoán ông có khối u ác tính, sùi loét nằm ở mặt dưới lưỡi bên phải, kích thước 2x3cm. Kiểm tra bằng chụp cộng hưởng từ cho thấy khối u lan qua thắng lưỡi sang bên trái, vùng góc hàm bên phải có hạch kích thước 0,9×1,1cm. Tổn thương xâm lấn tuyến nước bọt dưới hàm bên phải, gây giãn ống tuyến, dính với phần lợi phía sau xương hàm, chân răng.
Lưỡi là cơ quan đảm nhận vai trò nhai nuốt, phát âm, cảm nhận vị giác. Khối u ở lưỡi không chỉ gây đau đớn cho người bệnh mà ảnh hưởng tới chức năng ăn nhai, nói chuyện, giao tiếp. Ông Hùng cũng chia sẻ gần đây khi nói chuyện hay bị nói nhịu, không nói rõ ràng, đặc biệt hay phát âm ngọng âm “l”.
“Phẫu thuật loại bỏ khối u là bước đầu để điều trị ung thư nhưng gặp nhiều thách thức”, PGS.TS.BS Lê Minh Kỳ – Phụ trách chuyên môn, khoa Tai Mũi Họng, Bệnh viện Đa khoa Tâm Anh Hà Nội chia sẻ, ngày 26/3. Cụ thể, trường hợp ung thư sàn miệng như ông Hùng dễ di căn hạch cổ, cần kết hợp loại bỏ khối u dưới lưỡi và nạo vét các hạch nghi ngờ ung thư để loại trừ nguy cơ di căn. Diện tích mô cần loại bỏ lớn ảnh hưởng tới chức năng của lưỡi, phải tiến hành tạo vạt phục hồi. Tuy nhiên điều này sẽ khiến cuộc mổ kéo dài, tăng nguy hiểm và độ khó cho cuộc mổ vì ông Hùng có bệnh nền tăng huyết áp, hẹp mạch vành, tổn thương đông đặc phổi nghi ngờ do lao.

Sau khi hội chẩn đa khoa và trao đổi phương án điều trị, ông Hùng quyết định phẫu thuật. PGS Kỳ trực tiếp phẫu thuật cắt ¼ mặt dưới lưỡi, nhổ bỏ 4 răng cửa và bán phần xương hàm quanh chân răng để loại bỏ trọn vẹn khối u. Tiếp đó, PGS chuẩn bị vạt da dưới cằm bù vào phần mô lưỡi đã bị loại bỏ. Vạt dưới cằm là nhóm vạt gần, có khả năng tưới máu tốt, tiết kiệm thời gian phẫu thuật so với việc lựa chọn các vạt ở vị trí khác.
Thông qua thiết bị vi phẫu chuyên dụng, PGS Kỳ tỉ mỉ bóc tách, tránh tổn thương dây thần kinh để nạo vét các hạch cổ. Vạt da dưới cằm được khâu vào diện cắt của lưỡi, tạo hình sàn miệng. Ca mổ kéo dài 3 tiếng, có sự tham gia sát sao của ekip gây mê hồi sức, đảm bảo người bệnh an toàn trong quá trình phẫu thuật.
Người bệnh được theo dõi kiểm tra sát sao, chăm sóc vạt da ghép hàng ngày. Xác định tình trạng phức tạp, ung thư trên nền nhiều bệnh lý mạn tính và có thêm bệnh lao phổi, ông Hùng được kết hợp điều trị với chuyên khoa Hô hấp, cho phác đồ điều trị lao phổi hiệu quả.

Đảm bảo dinh dưỡng sau mổ đóng vai trò quan trọng không kém trong tưới máu vạt tạo hình và liền vết mổ sau phẫu thuật. Chuyên khoa Dinh dưỡng phối hợp thiết kế chế độ riêng đảm bảo năng lượng và vi chất cho ông Hùng. Nhờ đó, người bệnh phục hồi nhanh, được hướng dẫn tập nuốt nước bọt từ ngày thứ 3 sau mổ, tập nhai nuốt để làm quen dần, tập điều khiển chức năng của lưỡi.
Sau 2 tuần theo dõi, tình trạng của ông Hùng ổn định, lao phổi đã được kiểm soát, đủ điều kiện xuất viện. Tái khám sau khi xuất viện, vạt tạo hình lành tốt, chuyển động lưỡi linh động, thực hiện tốt các chức năng cơ bản. PGS Kỳ cùng chuyên khoa Ung bướu tư vấn người bệnh thực hiện xạ trị bổ trợ. Trong đó đặc biệt lưu ý ông Hùng bỏ thói quen hút thuốc lá, uống rượu nhiều năm qua.
Ung thư sàn miệng thuộc nhóm ung thư khoang miệng, chiếm tỷ lệ 1,4% ca mắc mới tại Việt Nam, theo Globocan 2022. Tổ chức ung thư thâm nhiễm rất nhanh vào các tổ chức xung quanh gây đau và ảnh hưởng chức năng như khó ăn, khó nuốt, khó nói. Nhiều yếu tố nguy cơ liên quan đến ung thư sàn miệng như: thuốc lá, rượu bia, kích thích hóa học (chất cay, thực phẩm có hàm lượng muối cao…), tổn thương niêm mạc do nhiễm trùng (viêm quanh răng, viêm xoang hàm), nhiễm virus (các virus viêm gan, HPV…). Trong những yếu tố này, thuốc lá và rượu bia là hai yếu tố có mối liên quan phổ biến nhất với ung thư khoang miệng nói chung và ung thư sàn miệng nói riêng. Do đó, cần hạn chế 2 yếu tố này nhằm giảm nguy cơ ung thư, chú ý chăm sóc răng miệng và nên đi khám định kỳ sức khỏe để phát hiện sớm bệnh lý, nếu có.
Điều trị ung thư sàn miệng cơ bản là phẫu thuật cắt rộng tổn thương, tuy nhiên đây là một phẫu thuật phức tạp, PGS Kỳ nhấn mạnh. Người bệnh cần lựa chọn địa chỉ khám và điều trị uy tín để đảm bảo an toàn, thành công cho phẫu thuật. Đặc biệt với những người bệnh có mắc nhiều bệnh lý nền phức tạp nên tới các cơ sở y tế đa khoa để được điều trị toàn diện.
* Tên người bệnh đã được thay đổi
HỆ THỐNG BỆNH VIỆN ĐA KHOA TÂM ANH