Bé Hưng, 12 tuổi, đau bụng âm ỉ, tưởng rối loạn tiêu hóa nhưng uống thuốc không khỏi, phát hiện vỡ ruột thừa gây biến chứng viêm phúc mạc.

Mẹ Hưng cho biết, trước nhập viện một ngày, em có biểu hiện đau bụng quanh rốn, khám tại một phòng khám, bác sĩ chẩn đoán rối loạn tiêu hóa nhưng uống thuốc không khỏi. Tối cùng ngày, Hưng nôn ói, tiêu chảy và đau bụng nhiều hơn nên cấp cứu tại Phòng khám Đa khoa Tâm Anh Quận 7.
Kết quả xét nghiệm máu ghi nhận chỉ số bạch cầu lên đến 22.74 K/ul (bình thường dưới 10 K/ul) cho thấy cơ thể bệnh nhi bị nhiễm trùng nặng. Chỉ số CRP đến 20.5 mg/L (bình thường dưới 5) báo động tình trạng viêm cấp tính.
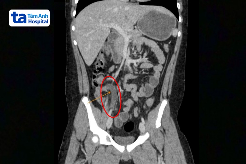
Chụp CT phát hiện ruột thừa đường kính 12mm (trên 6 mm là viêm), kèm sỏi phân 8 mm gây bít tắc lòng ruột thừa. Sỏi phân gây tăng áp lực trong ruột thừa, chèn ép mạch máu, dẫn đến hoại tử và vỡ ruột thừa trong thời gian ngắn, buộc phải phẫu thuật khẩn cấp.

Bệnh nhi được chuyển sang khoa Ngoại Nhi, Bệnh viện Đa khoa Tâm Anh TP HCM mổ cấp cứu khẩn trong đêm. ThS.BS.CKI Tôn Thị Anh Tú mổ nội soi phát hiện ruột thừa bệnh nhi đã vỡ khiến vi khuẩn và mủ tràn vào ổ bụng, gây viêm phúc mạc – biến chứng nguy hiểm nhất của viêm ruột thừa vì vi khuẩn có thể xâm nhập vào máu gây nhiễm khuẩn huyết. Ê kíp bác sĩ cắt bỏ đoạn ruột thừa bị viêm, làm sạch ổ bụng, gỡ dính ruột. Cuối cùng đặt ống dẫn lưu đưa dịch mủ còn sót lại ra ngoài, tránh tạo thành áp xe ổ bụng.
Hậu phẫu, bệnh nhi tiếp tục được theo dõi và truyền kháng sinh đường tĩnh mạch nhằm tiêu diệt tận gốc vi khuẩn đã lan trong ổ bụng trong 7 ngày (mổ ruột thừa bình thường cần 1-2 ngày). Hưng đáp ứng thuốc, ăn uống tốt, hết đau bụng và được xuất viện.
Bác sĩ Tú lưu ý, nếu bé có biểu hiện đau bụng từng cơn kèm nôn trớ, phụ huynh cần đưa đi khám ngay phòng nguy cơ tắc ruột sau mổ do bé từng bị viêm phúc mạc.

Viêm ruột thừa là tình trạng ruột thừa (một túi nhỏ hình ngón tay đính vào ruột già) bị tắc nghẽn, sưng viêm và nhiễm trùng. Biểu hiện thường gặp là đau bụng quanh rốn, sau đó di chuyển xuống vùng bụng dưới bên phải. Cơn đau sẽ diễn tiến âm ỉ liên tục và ngày càng dữ dội hơn. Bệnh thường đi kèm buồn nôn, nôn, chán ăn, có thể bị tiêu chảy hoặc táo bón.
Trẻ nhỏ thường không thể mô tả chính xác cơn đau, biểu hiện mơ hồ nên dễ nhầm với rối loạn tiêu hóa. Ở trẻ em, ruột thừa có thành mỏng, nên viêm ruột thừa thường diễn tiến nhanh, từ lúc xuất hiện cơn đau đến lúc vỡ chỉ trong vòng 24-48 giờ.
Nếu không điều trị kịp thời, bệnh sẽ gây các biến chứng như áp xe ruột thừa, đám quánh ruột thừa, tắc ruột,… Trong đó, nguy hiểm nhất là viêm phúc mạc như trường hợp bé Hưng. Tình trạng này xảy ra khi ruột thừa bị vỡ, vi khuẩn và phân sẽ tràn vào gây nhiễm trùng toàn bộ ổ bụng, đe dọa tính mạng trẻ.
Việc can thiệp cũng khó khăn hơn, thời gian điều trị kéo dài, thậm chí ngay cả sau khi đã phẫu thuật thành công, trẻ bị viêm phúc mạc vẫn phải đối mặt với nguy cơ dính ruột, tắc ruột do tình trạng viêm nhiễm quá nặng tạo thành dải xơ dính các quai ruột lại với nhau, đồng thời khiến hệ miễn dịch suy yếu do nhiễm trùng nặng kéo dài.
Bác sĩ Tú khuyến cáo, nếu trẻ có biểu hiện đau bụng liên tục, đặc biệt là đau vùng bụng dưới bên phải, sốt, kèm nôn trớ, bụng căng cứng, đau khi sờ vào, phụ huynh cần đưa trẻ đi khám ngay để được điều trị phù hợp.
HỆ THỐNG BỆNH VIỆN ĐA KHOA TÂM ANH