Ông Tỉnh (75 tuổi, Đồng Tháp) đi khám sức khỏe tổng quát do khó thở, tức ngực kéo dài, sốt không rõ nguyên nhân, kết quả xác định nấm phổi.

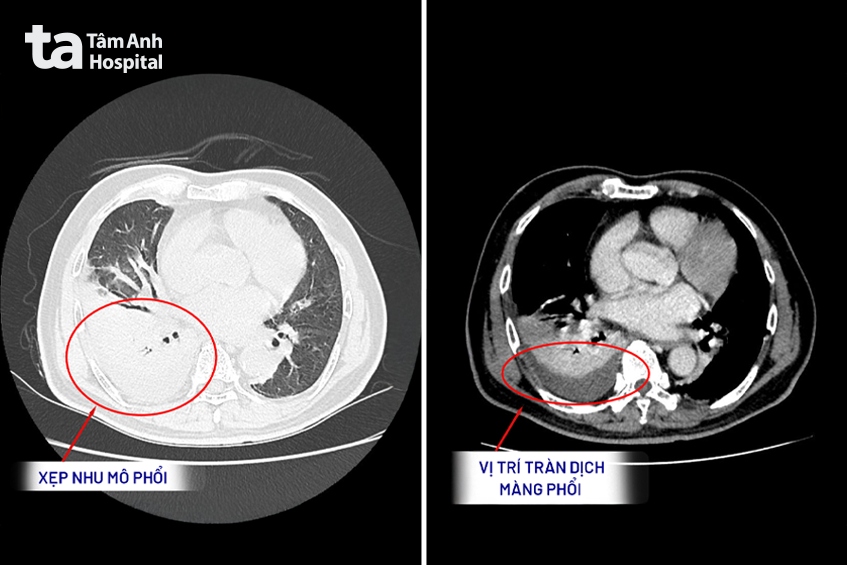
Tại Bệnh viện Đa khoa Tâm Anh TP.HCM (cơ sở P.Tân Hưng – Q.7 cũ), TS.BS Trần Minh Giang, đơn vị Nội Tổng quát chỉ định thực hiện chụp CT tầm soát phổi liều thấp. Kết quả cho thấy người bệnh bị tràn dịch hai bên màng phổi, tức là có một lượng lớn dịch bất thường bao quanh phổi, làm phổi không thể nở ra bình thường khi hít thở.
Người bệnh có tiền sử hút thuốc hơn 50 năm nhưng đã cai khoảng 8 tháng, không có tiền căn bệnh phổi tắc nghẽn mạn tính (COPD), lao.
Để tìm nguyên nhân gây tràn dịch màng phổi, bác sĩ Giang tiếp tục chỉ định thực hiện các xét nghiệm chuyên sâu, bao gồm xét nghiệm đàm, lấy dịch đường thở sâu và nội soi phế quản sinh thiết – phương pháp được xem là “tiêu chuẩn vàng” trong chẩn đoán nhiều bệnh hô hấp. Tuy nhiên, các kết quả ban đầu đều chưa xác định được tác nhân gây bệnh. Người bệnh được nhập viện nằm tại khoa Nội Tổng hợp, Bệnh viện Đa khoa Tâm Anh TP.HCM (cơ sở P.Tân Sơn Hoà – Q.Tân Bình cũ) để theo dõi và điều trị.

Người bệnh đã được chọc dẫn lưu dịch màng phổi để phổi có thêm không gian nở ra, từ đó cải thiện tình trạng khó thở, đồng thời sử dụng thuốc điều trị nhiễm trùng theo hướng viêm phổi nặng. Các xét nghiệm máu cho thấy chỉ số viêm tăng cao, phản ánh cơ thể đang có phản ứng viêm hoặc nhiễm trùng mạnh.
Sau hai tuần, tình trạng khó thở của ông Tỉnh có cải thiện, lượng dịch màng phổi giảm nhưng vẫn còn xuất hiện, đáp ứng điều trị chưa rõ rệt. Dựa trên yếu tố môi trường sống (vùng trồng nông sản, có nhiều kho bãi), bác sĩ Giang nghi ngờ khả năng nhiễm nấm, quyết định điều chỉnh phác đồ, tăng liều kháng sinh và bổ sung thuốc kháng nấm. Sau đó, người bệnh đáp ứng điều trị tốt, dịch màng phổi giảm rõ rệt, các triệu chứng ho và khó thở thuyên giảm.
Kết quả xét nghiệm sau cùng xác định tác nhân gây bệnh là nấm Aspergillus. Đây là loại nấm mốc phổ biến trong môi trường tự nhiên, thường tồn tại trong không khí, bụi, đất, rơm rạ mục, ngũ cốc bảo quản lâu ngày hoặc các không gian ẩm thấp, kém thông thoáng như kho nông sản.
Thông thường, con người hít phải bào tử nấm hàng ngày nhưng không mắc bệnh nhờ hệ miễn dịch và cơ chế bảo vệ của đường hô hấp. Tuy nhiên, ở những người có bệnh phổi mạn tính như COPD, giãn phế quản, di chứng lao phổi hoặc suy giảm miễn dịch, nấm có thể xâm nhập, phát triển tại phổi, gây viêm phổi do nấm, tạo búi nấm trong hang phổi hoặc gây viêm đường hô hấp kéo dài.
Tùy thuộc vào loại nhiễm trùng, nấm Aspergillus có thể gây ra một loạt các biến chứng nghiêm trọng như suy hô hấp do chảy máu nặng ở phổi hoặc nhiễm trùng toàn thân. Biến chứng nghiêm trọng nhất là sự lây lan của nhiễm trùng sang các bộ phận khác của cơ thể, đặc biệt ở não, tim và thận, thậm chí gây tử vong.
Theo bác sĩ Giang, nhiễm nấm phổi thường rất khó phát hiện ở giai đoạn đầu vì bệnh tiến triển âm thầm và các biểu hiện lâm sàng dễ nhầm lẫn với viêm phổi thông thường. Các xét nghiệm ban đầu có thể chưa tìm thấy tác nhân gây bệnh do nấm không luôn hiện diện trong đờm hay dịch màng phổi, trong khi hình ảnh học sớm chủ yếu chỉ ghi nhận tình trạng viêm và tràn dịch.
“Ở trường hợp này, khi người bệnh điều trị kháng sinh kéo dài nhưng đáp ứng kém, tình trạng cải thiện chậm, bác sĩ mới có cơ sở nghĩ đến khả năng nhiễm nấm và chỉ định các xét nghiệm chuyên sâu hơn để xác định nguyên nhân chính xác”, bác sĩ Giang nhấn mạnh.

Sau 6 tuần điều trị phối hợp kháng sinh và kháng nấm, tình trạng của ông Tỉnh cải thiện hoàn toàn. Hình ảnh phổi trở lại thông khí tốt, không còn tình trạng tràn dịch “trắng xóa” như trước.
Bác sĩ Giang khuyến cáo, nhiễm nấm phổi thường tiến triển âm thầm, dễ bị bỏ sót hoặc nhầm lẫn với viêm phổi thông thường, đặc biệt ở người cao tuổi và người có bệnh nền hô hấp mạn tính. Những người có bệnh nền COPD, giãn phế quản, tiền sử lao phổi, đái tháo đường hoặc đang sử dụng thuốc ức chế miễn dịch cần chủ động phòng ngừa bằng cách đeo khẩu trang khi làm việc trong môi trường nhiều bụi, ẩm mốc, kho nông sản, chuồng trại, bên cạnh đó là giữ không gian sống thông thoáng, hạn chế ẩm thấp kéo dài.
Ngoài ra, người bệnh không nên tự ý sử dụng kháng sinh hoặc corticoid khi chưa có chỉ định y tế. Khi xuất hiện các triệu chứng ho, khó thở kéo dài, sốt không rõ nguyên nhân hoặc điều trị viêm phổi thông thường không đáp ứng, cần đến cơ sở y tế uy tín để được thăm khám, chẩn đoán chính xác và điều trị kịp thời, tránh các biến chứng nguy hiểm.
*Tên người bệnh đã được thay đổi
HỆ THỐNG BỆNH VIỆN ĐA KHOA TÂM ANH