Nhiều mảnh đạn nhỏ trong xoang hàm, phần mềm vùng má phải người đàn ông hơn 50 năm; hai năm nay gây viêm ứ mủ, áp xe, phải phẫu thuật.

Ông B.V.T. (71 tuổi) đến khám tại Bệnh viện Đa khoa Tâm Anh TP.HCM trong tình trạng sưng mắt, sưng mặt, đau nhức mũi xoang, chảy dịch mủ hôi, khạc ra đờm xanh.
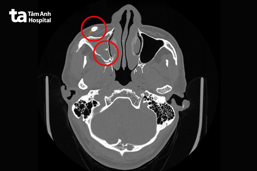
Kết quả nội soi tại Trung tâm Tai Mũi Họng ghi nhận mũi xoang phải ông T. phù nề, khe giữa mũi xuất tiết dịch nhầy mủ, vẹo vách ngăn sang phải. Kết quả chụp cắt lớp vi tính (CT-scan) ghi nhận xơ vữa vôi hóa hai bên đoạn xoang hang và đoạn mắt, dày niêm mạc và dày thành xoang hàm phải, có vài vị trí khuyết thành trước xoang hàm phải, nghi viêm xoang mạn tính, khả năng do nấm, phì đại cuốn mũi dưới hai bên. Viêm xoang do nấm là tình trạng viêm xoang với sự hiện diện của nấm trong các hốc mũi xoang, gây viêm nhiễm kéo dài. Nấm có thể phát triển thành khối đầy trong xoang, phá hủy các thành xoang, sau đó xâm lấn những cơ quan lân cận như hốc mắt, sọ não.
Kết quả chụp CT cũng ghi nhận, cấu trúc đậm độ cao trong mô mềm vùng má phải, kèm vài nốt vôi nhỏ xung quanh và phù nề mô mềm quanh vị trí này.

GS.TS.BS Trần Phan Chung Thủy, Cố vấn Trung tâm Tai Mũi Họng, Bệnh viện Đa khoa Tâm Anh TP.HCM chẩn đoán ông T. viêm đa xoang nhầy mủ, dị vật phần mềm vùng má và dị vật xoang hàm.
GS Chung Thủy giải thích, dị vật này là một vật thể nhỏ nằm trong mô mềm ở má phải. Ngoài ra, xung quanh xoang hàm phải còn xuất hiện một số nốt cản quang giống kim loại, sưng viêm, phù nề – dấu hiệu của phản ứng lâu dài của cơ thể với dị vật. Xoang hàm là các hốc xoang nằm ở hai bên gò má và hốc mắt. Tình trạng viêm xoang hàm đã lan rộng, ứ dịch và phù nề mô mềm nên gây sưng mắt, sưng mặt.
“Đi khám mới biết mảnh đạn không chỉ ở vùng má mà còn trong xoang hàm”, ông T. nói. Ông T. bị những mảnh đạn nhỏ văng vào người năm 18 tuổi ở tay, chân, mặt, đến nay vẫn còn trong cơ thể. Ông biết trên mặt ông có một mảnh đạn nhỏ, nằm trong mô mỡ ở má phải, bình thường có thể sờ thấy. Hơn 50 năm qua, ông T. không cảm thấy đau hay triệu chứng bất thường. Tuy nhiên, hai năm nay, ông T. thường sưng tấy, đau nhức mũi xoang, nhiều dịch mủ hôi ở mũi, khạc ra đờm xanh.

Ông từng đi khám ở địa phương, được chẩn đoán viêm xoang và điều trị những đợt viêm xoang cấp. Nhưng bệnh tái phát liên tục, triệu chứng nặng hơn kèm sưng mắt, sưng mặt nên đến Bệnh viện Đa khoa Tâm Anh TP.HCM khám.
“Dị vật phần mềm vùng má, dị vật xoang hàm là những mảnh đạn như trường hợp ông T. hiếm gặp, đặc biệt tồn tại trong thời gian dài. Vị trí giải phẫu phức tạp với nhiều cấu trúc quan trọng như dây thần kinh mặt, tuyến nước bọt, việc xử lý dị vật vùng má cần thận trọng, kỹ lưỡng, tránh tái phát và biến chứng”, GS Chung Thủy nói.
GS Chung Thủy chỉ định phẫu thuật lấy dị vật cho ông T., đồng thời phẫu thuật mũi xoang, ngăn nhiễm trùng lan rộng. Khi viêm sưng kéo dài, niêm mạc mũi xoang phù nề, tiết dịch nhiều, có thể gây nghẹt mũi nghiêm trọng, ảnh hưởng đến hô hấp, đặc biệt với người lớn tuổi, có thể gây tắc nghẽn đường thở. Đồng thời viêm có thể lan sang các vùng lân cận như hốc mắt, xương sọ hoặc thậm chí gây áp-xe não. Ông T. được điều trị nội khoa 1 tuần trước phẫu thuật để kiểm soát tình trạng viêm.
Ekip bác sĩ phẫu thuật nội soi mũi xoang cho ông T. gồm GS.TS.BS Trần Phan Chung Thủy, Cố vấn Trung tâm Tai Mũi Họng và ThS.BS.CKI Phạm Thị Phương, Trung tâm Tai Mũi Họng. Các bác sĩ loại bỏ triệt để tổ chức nghi nấm trong mũi xoang, dẫn lưu dịch viêm, bảo tồn niêm mạc lành. Phẫu thuật nội soi giúp bác sĩ bóc tách vi phẫu tinh tế, đồng thời ít xâm lấn, hạn chế chảy máu và biến chứng cho người bệnh.

GS Chung Thủy xác định dị vật ở vùng má và mặt trước xoang hàm phải, gần hốc mắt và tiến hành phẫu thuật lấy các dị vật. Khi tiếp cận vùng dị vật, thấy mô viêm lan rộng, ổ mủ và áp-xe bao quanh dị vật. GS Chung Thủy lấy ra các mô viêm, dịch mủ, ổ áp-xe và bao xơ bao quanh dị vật. Việc lấy mô viêm cùng dị vật giúp loại bỏ hoàn toàn tổn thương.
Bao xơ quanh dị vật là một lớp mô sợi được hình thành để bao bọc dị vật nằm trong mô mềm một thời gian dài. Đây là một phản ứng bảo vệ nhằm cách ly dị vật khỏi mô lành xung quanh, giúp hạn chế viêm nhiễm hoặc tổn thương lan rộng. Bao xơ thường gặp trong các trường hợp dị vật tồn tại lâu năm mà không gây viêm cấp tính, như mảnh đạn, mảnh gỗ, hoặc các vật lạ khác bị kẹt trong mô mềm. Trong phẫu thuật lấy dị vật, việc loại bỏ cả bao xơ giúp ngăn ngừa viêm mạn tính và tái phát.
Sau phẫu thuật, ông T. được đặt Merocel trong mũi để cầm máu và hỗ trợ quá trình hồi phục. Tình trạng người bệnh ổn định sau phẫu thuật và xuất viện sau 2 ngày. Người bệnh được bác sĩ hướng dẫn cách chăm sóc sau phẫu thuật, duy trì xịt rửa mũi và tránh khói thuốc lá, không khí ô nhiễm, hóa chất độc hại; tái khám theo lịch hẹn.
HỆ THỐNG BỆNH VIỆN ĐA KHOA TÂM ANH