Hà Nội_Cụ ông 86 tuổi, hút thuốc nhiều năm, được chẩn đoán ung thư thanh quản, khối u ác tính lấn chiếm toàn bộ thanh quản, buộc phải cắt bỏ hoàn toàn, hy sinh giọng nói để giữ cơ hội sống.

Sau ca phẫu thuật 1 tháng, cụ ông Dương Xuân Dương (86 tuổi) quay lại Bệnh viện Đa khoa Tâm Anh Hà Nội tái khám theo hẹn. Kết quả khám khả quan, vết mổ lành tốt, ông Dương ăn uống bình thường, sức khỏe ổn định nhưng ông Dương vẫn trầm mặc trong suốt buổi khám. Để giữ được cơ hội sống hiện tại, ông Dương phải đánh đổi giọng nói của mình.
Ông Dương có thói quen hút thuốc trên 40 năm. Từ đầu năm 2024, ông Dương có biểu hiện đau họng, khàn tiếng không rõ lý do. Ông đi khám nhiều nơi và được chẩn đoán hẹp dây thanh quản, điều trị theo đơn thuốc nhưng không đỡ. Nghi ngờ nguyên nhân do vấn đề hô hấp, ông được gia đình đưa đi kiểm tra nội soi phế quản nhưng kết quả tình trạng vẫn không cải thiện.
Tới tháng 12/2024, ông Dương xuất hiện triệu chứng ho khạc đờm đục, khó thở tăng khi gắng sức, chảy dịch mũi, ngạt mũi, ù tai trái, mệt mỏi. Nhập viện gần nhà điều trị kháng sinh 10 ngày không cải thiện. Gia đình đưa ông tới Bệnh viện Đa khoa Tâm Anh Hà Nội, bác sĩ chuyên khoa Hô hấp xác định ông Dương có tình trạng viêm phổi kèm giãn phế quản. Tiếp đó, ông Dương được kiểm tra với chuyên khoa Tai Mũi Họng nhằm đánh giá toàn diện sức khỏe đường thở.
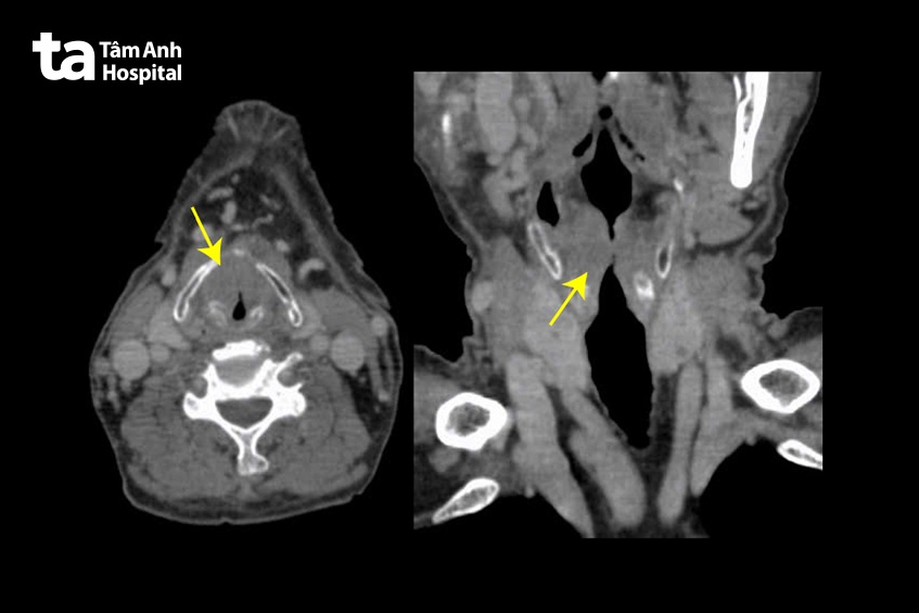
Hình ảnh nội soi tại phòng khám cho thấy u sùi thanh quản nghi ung thư, tuy nhiên không thể quan sát toàn bộ vùng thanh quản do người bệnh khó thở và hạn chế về tư thế ngồi khi khám. Để đánh giá mức độ xâm lấn và sinh thiết khẳng định tính chất khối u, ông Dương cần mở lỗ thông khí quản và nội soi nhằm quan sát toàn bộ khối u vùng thanh quản – hạ họng. Các bác sĩ cẩn thận chỉ định ông Dương khám chuyên khoa Hô hấp, Tim mạch, Gây mê nhằm kiểm tra điều kiện sức khỏe và lựa chọn phương pháp gây mê, đảm bảo an toàn phẫu thuật cho người bệnh cao tuổi.

PGS.TS.BS Lê Minh Kỳ – Phụ trách chuyên môn khoa Tai Mũi Họng, Bệnh viện Đa khoa Tâm Anh Hà Nội, trực tiếp thực hiện mở khí quản và nội soi thăm dò tình trạng bệnh. Kết quả nội soi thanh quản hạ họng cho thấy u sủi toàn bộ thanh quản trái, lan tới mép dây thanh. Kết quả sinh thiết sau đó khẳng định toàn bộ các mẫu bệnh phẩm lấy từ thanh quản là ung thư biểu mô tế bào vảy.
Thanh quản nối liền với khí quản và vị trí gần kề với thực quản, nếu ung thư tiến triển sẽ dễ di căn phổi, hạch bạch huyết… Ông Dương được tư vấn cắt bỏ hoàn toàn thanh quản kết hợp nạo hạch vùng cổ, để ngăn ung thư di căn, tuy nhiên điều này đồng nghĩa với việc ông sẽ mất giọng nói tự nhiên. Sau khi cân nhắc, gia đình và ông Dương đồng ý thực hiện phẫu thuật.
Ca mổ phức tạp thay đổi hoàn toàn đường thở, ông Dương sẽ không thở bằng mũi miệng, phải thở qua lỗ mở khí quản vĩnh viễn. Người bệnh thực hiện 2 lần phẫu thuật chỉ trong 1 tuần, cộng thêm tình trạng suy hô hấp do viêm phổi khiến ca mổ càng phức tạp hơn. PGS.TS.BS Lê Minh Kỳ tỉ mỉ bóc tách các vùng cơ, dây thần kinh để nạo vét các hạch vùng cổ. Toàn bộ hạch được lấy ra được tiến hành giải phẫu bệnh. Sau đó, PGS Kỳ cẩn thận cắt bỏ toàn bộ thanh quản, tránh tổn thương thực quản và khí quản, tạo lỗ mở khí quản vĩnh viễn để người bệnh có thể thở. Sau hơn 5 tiếng, ca mổ kết thúc thành công.
Theo dõi nội trú 9 ngày, ông Dương dần phục hồi sức khỏe, đủ điều kiện xuất viện. Giọng nói tự nhiên mất do dây thanh đã bị cắt bỏ, người bệnh có thể luyện tập nói giọng thực quản hoặc sử dụng van giọng nói, máy phát âm thanh. Chức năng nuốt cũng bị ảnh hướng, ông Dương được hướng dẫn tập luyện để nuốt bình thường sau mổ. Phẫu thuật thành công loại bỏ khối u ác tính, trong tương lai ông Dương vẫn cần theo dõi định kỳ để đánh giá khả năng tái phát, cân nhắc xạ trị hoặc hóa chất để kiểm soát tình trạng.

Ung thư thanh quản là bệnh lý ác tính xuất phát từ niêm mạc thanh quản, ảnh hưởng đến giọng nói, hô hấp và nuốt. Theo Globocan 2022, ung thư thanh quản chiếm khoảng 0,95% các ca mắc ung thư mới. Riêng tại Việt Nam, tỷ lệ này là khoảng 1,2% và bệnh phổ biến ở nam giới hơn. Nguyên nhân và các yếu tố nguy cơ của ung thư thanh quản được xác định là thuốc lá, rượu, trào ngược dạ dày, tiếp xúc hóa chất…
Tiên lượng ung thư thanh quản rất nặng nề ở giai đoạn muộn như trường hợp của ông Dương, do đó việc phát hiện sớm có vai trò quan trọng. Các triệu chứng của ung thư thanh quản là rối loạn giọng nói như giọng khàn, cứng, kéo dài và tăng dần; đau họng hoặc có cảm giác nghẹn cổ họng, ho kéo dài, khó thở… Tuy nhiên, những dấu hiệu này khá dễ nhầm lẫn, khiến việc phát hiện khó khăn. Các chuyên gia y tế khuyến cáo người bệnh khi xuất hiện các triệu chứng bất thường trong thời gian dài (trên 2 tuần) nên tới khám sớm nhằm phát hiện nguyên nhân, can thiệp điều trị kịp thời. Đặc biệt, cần duy trì lối sống lành mạnh, tránh thuốc lá, lạm dụng bia rượu để hạn chế nguy cơ mắc ung thư thanh quản cũng như nhiều loại ung thư khác.
* Tên nhân vật đã được thay đổi
HỆ THỐNG BỆNH VIỆN ĐA KHOA TÂM ANH