Bà Duyên, 68 tuổi, ung thư phổi đa ổ, được bác sĩ phẫu thuật hai lần cách nhau một tháng để loại bỏ hoàn toàn khối u triệt căn bệnh.

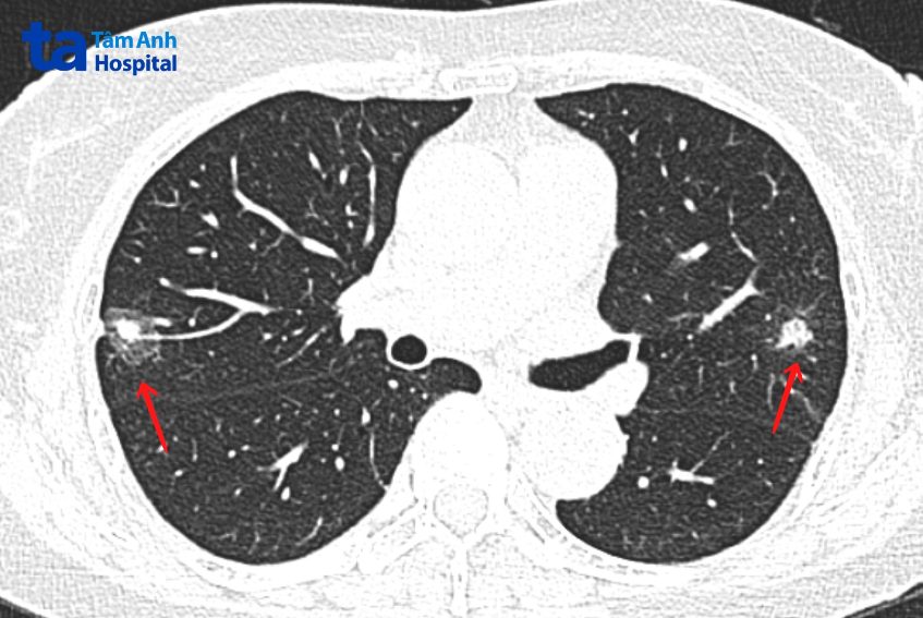
Bà Duyên không có dấu hiệu bất thường, đến Bệnh viện Đa khoa Tâm Anh Hà Nội khám sức khỏe phát hiện hai khối u kích thước 16×16 mm và 27×28 mm ở hai bên phổi. Tiến sĩ, bác sĩ Vũ Hữu Khiêm, Trưởng khoa Ung bướu, chẩn đoán bà Duyên ung thư phổi nguyên phát đa ổ ở giai đoạn sớm, có thể phẫu thuật điều trị triệt căn.
Phổi là cơ quan đặc biệt có khả năng tự giãn nở. Sau khi phẫu thuật và được chăm sóc tốt, phổi có thể trở về kích thước ban đầu, người bệnh vẫn có thể sống khỏe.
Khối u nằm ở cả hai phổi, nếu cắt cùng lúc có nguy cơ cao gây suy hô hấp, nguy hiểm đến tính mạng bệnh nhân. Êkíp quyết định chia thành hai lần phẫu thuật, mỗi lần cắt một bên thùy phổi nhằm giúp người bệnh có thời gian phục hồi chức năng hô hấp.

Lần phẫu thuật đầu tiên, bác sĩ cắt thùy trên phổi phải chứa u, kết quả sinh thiết cho thấy bệnh nhân ung thư phổi dạng biểu mô tuyến chưa xâm lấn xung quanh và chưa di căn hạch. Hơn một tháng sau, phổi nở tốt, chức năng hô hấp ổn định, người bệnh được phẫu thuật lần hai cắt thùy trên phổi trái, loại bỏ hoàn toàn khối u.
Hậu phẫu, bà Duyên ổn định sức khỏe, tập phục hồi chức năng để phổi giãn nở tốt hơn. “Nếu chăm sóc và tập luyện tốt, phổi có thể trở lại kích thước ban đầu trong ba tháng”, Tiến sĩ Khiêm nói.
Ung thư phổi giai đoạn sớm được phát hiện và can thiệp kịp thời bằng phẫu thuật, tỷ lệ sống sau 5 năm có thể đến 70-90% tùy thể mô bệnh học và thể trạng bệnh nhân. Bệnh có tốc độ tiến triển nhanh, nếu sang giai đoạn muộn, khối u lan ra ngoài phổi hoặc di căn xa, phương pháp phẫu thuật sẽ không còn khả thi. Lúc này, điều trị bằng hóa trị, xạ trị hoặc thuốc đích, miễn dịch, có tác dụng kiểm soát tiến triển và kéo dài thời gian sống, theo Tiến sĩ Khiêm.

Ung thư phổi có số ca mắc mới đứng thứ ba và tử vong đứng thứ hai trong các loại ung thư tại Việt Nam, theo Globocan 2022. Bác sĩ khuyến cáo những người trên 50 tuổi, có yếu tố nguy cơ như hút thuốc lá, thường xuyên tiếp xúc khói bụi, ô nhiễm không khí, mắc bệnh phổi mạn tính, tiền sử gia đình… nên chủ động tầm soát ung thư phổi định kỳ bằng chụp CT liều thấp.
20h thứ Tư ngày 13/8/2025, BVĐK Tâm Anh tổ chức chương trình tư vấn trực tuyến “K PHỔI: CÔNG NGHỆ MỚI PHÁT HIỆN CỰC SỚM, ĐIỀU TRỊ HIỆU QUẢ, ÍT XÂM LẤN”, mang đến những thông tin mới và hữu ích về phòng ngừa, tầm soát và điều trị K phổi. Các chuyên gia giàu kinh nghiệm BVĐK Tâm Anh Hà Nội tham gia tư vấn gồm:
Livestream phát sóng trực tiếp trên website tamanhhospital.vn, vnvc.vn; trên các fanpage: VTV24 – Trung tâm tin tức, VTV8 – Đài Truyền hình Việt Nam, VnExpress.net, Báo Thanh niên, Bệnh viện Đa khoa Tâm Anh, VNVC – Trung tâm Tiêm chủng Trẻ em và Người lớn, Khoa Ung bướu Tâm Anh, Khoa Hô hấp Tâm Anh; tiếp sóng trên kênh Youtube Bệnh viện Đa Khoa Tâm Anh, Youtube VNVC, Youtube Báo Thanh niên
Mời quý vị gửi câu hỏi để được chuyên gia giải đáp trực tiếp trong chương trình, bằng cách liên hệ tổng đài 024 7106 6858 hoặc 024 3872 3872 (Hà Nội).
HỆ THỐNG BỆNH VIỆN ĐA KHOA TÂM ANH