Anh Tuấn, 36 tuổi, khó thở nghiêm trọng do tràn khí màng phổi suốt một tuần, chụp CT phát hiện phổi chưa nở hết, rải rác nhiều kén khí.

Anh Tuấn (ngụ TP Thủ Đức) hút thuốc lá từ 15 năm trước, vài năm trở lại đây trung bình hút 1 gói mỗi ngày. Đầu tháng 7/2024, anh đang đi làm thì đột ngột đau ngực, khó thở nhiều. Cấp cứu tại bệnh viện tuyến trước, bác sĩ chẩn đoán tràn khí màng phổi phải, chỉ định đặt dẫn lưu màng phổi. Sau 7 ngày điều trị tích cực, bệnh nhân có cải thiện triệu chứng hô hấp nhưng ống dẫn lưu màng phổi còn dò khí nhiều. Anh chuyển đến Bệnh viện Đa khoa Tâm Anh TP HCM.
Ngày 15/7, ThS.BSNT Trần Thúc Khang, khoa Ngoại Tim mạch – Lồng ngực, Trung tâm Tim mạch, cho biết đây là một trường hợp tràn khí màng phổi phải tự phát, dẫn lưu tối thiểu khoang màng phổi không hiệu quả (còn gọi là rò khí kéo dài). Tràn khí màng phổi thường do nhu mô phổi có các bóng hay kén khí bị vỡ.
Đối với tràn khí màng phổi tự phát, nếu lượng khí nhiều, không xử trí kịp thời, bệnh nhân có thể bị suy hô hấp. Điều trị đối với tràn khí tự phát là dẫn lưu tối thiểu khoang màng phổi. Tuy nhiên, đối với những bóng hay kén khí lớn, không tự bịt kín được, dẫn lưu vẫn còn rò khí kéo dài sau 5-7 ngày, cần xem xét chỉ định phẫu thuật giải quyết nguyên nhân.
ThS.BSNT Phạm Ngọc Minh Thủy, khoa Ngoại Tim mạch – Lồng ngực, Trung tâm Tim mạch, Bệnh viện Đa khoa Tâm Anh TP HCM thông tin, kén khí phổi là những khoang có thành mỏng trong phổi chứa đầy không khí. Hút thuốc lá là yếu tố nguy cơ phổ biến gây kén khí phổi ở những bệnh nhân trẻ.
Bác sĩ Khang chia sẻ, khó khăn lớn nhất khi điều trị tràn khí màng phổi tự phát bệnh hay tái phát. Nếu lần dẫn lưu đầu thành công, tỷ lệ tái phát tràn khí màng phổi rất cao (do còn nhiều bóng kén khí khác chưa vỡ). Tùy vào tình trạng dò khí, lần đầu hay tái phát, nhóm nguyên nhân (tự phát hay thứ phát), bác sĩ sẽ đưa ra phác đồ điều trị thích hợp.
Ở trường hợp này, dò khí kéo dài, người bệnh được chỉ định phẫu thuật nhằm hai mục đích: cắt khâu các bóng/kén khí (đã vỡ và chưa vỡ) và tạo dính khoang màng phổi nhằm ngăn ngừa tái phát.
Ê kíp tiến hành phẫu thuật nội soi lồng ngực cho bệnh nhân. So với mổ mở, phương pháp này đem lại nhiều ưu điểm như chỉ cần hai đường rạch nhỏ dài khoảng 1cm, ít đau sau mổ, rút ngắn quá trình hồi phục.
Phẫu thuật được thực hiện nội soi lồng ngực hoàn toàn, kéo dài khoảng 60 phút. Qua hệ thống hình ảnh nội soi, tổn thương ở nhu mô phổi được xác định gồm nhiều bóng khí đã vỡ và chưa vỡ. Tổn thương được cắt bỏ hoàn toàn và nhu mô phổi được khâu lại bằng hệ thống khâu máy tự động. Kiểm tra ngay trong mổ, phổi (sau khi cắt bỏ kén khí) nở tốt, không thấy dò khí. Đồng thời, màng phổi thành của bệnh nhân được cắt và cọ xát cơ học nhằm tạo dính khoang màng phổi, tránh tái phát về sau.

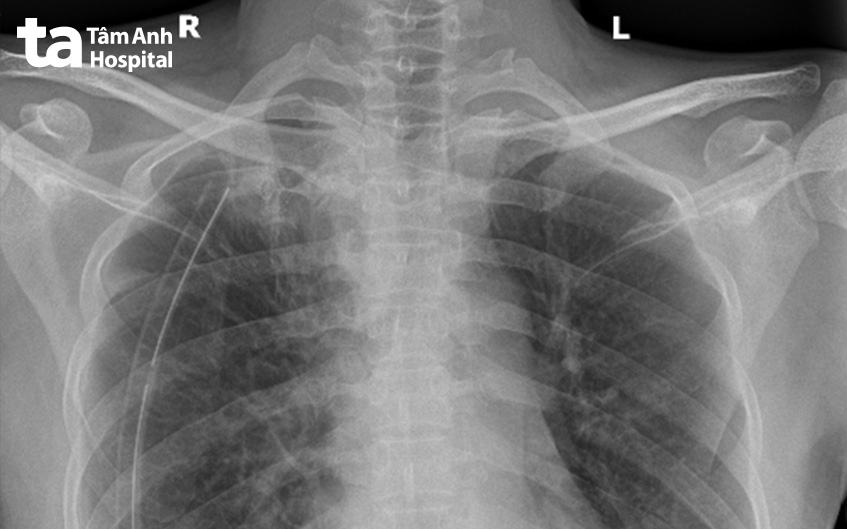
Sau mổ, bệnh nhân hồi phục nhanh, đau vết mổ ít, chụp X-quang kiểm tra thấy phổi nở tốt, dẫn lưu hết rò khí và được rút sau mổ 36 giờ. Bệnh nhân xuất viện sau 3 ngày với tình trạng hô hấp bình thường.

Bóng hay kén khí phổi được chia thành hai dạng: bẩm sinh (nguyên phát) và mắc phải (thứ phát). Kén khí phổi bẩm sinh phát triển từ trong thời kỳ bào thai, bao gồm nhiều nhóm bệnh lý khác nhau: bất thường nang tuyến bẩm sinh, khí phế thũng thùy bẩm sinh, u nguyên bào phổi – màng phổi, nang nguồn gốc phế quản, phổi biệt trí…
Ngược lại, kén khí phổi mắc phải xuất hiện thứ phát do các bệnh lý nguyên phát ở phổi như áp xe phổi, khí phế thũng, phổi tắc nghẽn mạn tính (COPD), rách phổi do chấn thương, bệnh lý nhiễm trùng có tạo kén (nhiễm sán chó, nấm phổi…) hoặc do hút thuốc lá trong thời gian dài.
Theo bác sĩ Minh Thủy, nhiều trường hợp kén khí phổi không biểu hiện triệu chứng, chỉ tình cờ phát hiện trên phim chụp X-quang hoặc CT scan ngực. Một số bệnh nhân xuất hiện các triệu chứng hô hấp bao gồm ho, khó thở, hụt hơi, đánh trống ngực…, dễ gây chẩn đoán nhầm sang các bệnh lý phổi khác như hen suyễn, lao, phổi tắc nghẽn mạn tính…
Một số trường hợp đến viện khi có các biến chứng như nhiễm khuẩn kén khí, vỡ bóng kén khí gây tràn khí màng phổi, thậm chí có trường hợp suy hô hấp nặng gây tử vong.
Sau điều trị kén khí phổi, bệnh nhân nên nghỉ ngơi nhiều, tránh những hoạt động đòi hỏi gắng sức hay tập thể dục cường độ cao; bỏ thuốc lá; kiểm soát các bệnh lý đi kèm như viêm phế quản mạn tính, khí phế thũng, COPD… để ngăn ngừa tái phát.
*Tên bệnh nhân đã được thay đổi
HỆ THỐNG BỆNH VIỆN ĐA KHOA TÂM ANH