Thuốc nhắm trúng đích CDK 4/6 ức chế tế bào ung thư, làm chậm hoặc ngừng sự tiến triển của bệnh, không gây tác dụng phụ như buồn nôn, rụng tóc, cải thiện thể lực.

Tiến sĩ, bác sĩ Trần Hải Bình, Phó khoa Ung bướu, Bệnh viện Đa khoa Tâm Anh Hà Nội, cho biết như trên, thêm rằng “thuốc nhắm trúng đích CDK 4/6 là bước tiến trong điều trị ung thư vú di căn”. Bệnh nhân ung thư vú di căn thường điều trị theo phác đồ thuốc nội tiết kết hợp hóa trị hoặc xạ trị. Tuy nhiên, một số trường hợp thuốc nội tiết đơn thuần hiệu quả không đủ mạnh, bệnh vẫn tiến triển sau một thời gian, trong khi hóa trị có thể gây rụng tóc, buồn nôn, mệt mỏi, tiên lượng sống thấp.
“Thuốc nhắm trúng đích CDK 4/6 hoạt động bằng cách ức chế enzym CDK 4 và 6 là những protein giúp tế bào phân chia”, Tiến sĩ Bình giải thích. Khi bị ức chế, tế bào ung thư bị kìm hãm, không thể tiếp tục nhân lên. Phương pháp này kết hợp với thuốc nội tiết nhằm làm chậm sự phát triển của tế bào ung thư vú, nhất là trong giai đoạn tiến xa hoặc di căn, nhờ vậy tiên lượng thời gian sống dài hơn.
Thuốc nhắm trúng đích CDK 4/6 gây tác dụng phụ như tiêu chảy nhẹ, mệt hay giảm bạch cầu, nhưng nhìn chung không nặng như hóa trị, theo bác sĩ Bình. Loại thuốc này có ý nghĩa với phụ nữ trẻ tuổi, đang đi làm hoặc nuôi con nhỏ, vì giúp giữ thể lực và tinh thần tốt trong quá trình điều trị.
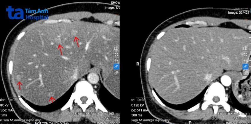
Như chị Phương, 40 tuổi, năm 2022 xuất hiện khối u kích thước 19×17 mm ở ngực, sinh thiết xác định ung thư biểu mô tuyến vú xâm nhập độ ba, tế bào ung thư di căn gan đa ổ và lan xương sườn, cột sống, xương chậu. Xét nghiệm hóa mô miễn dịch kết quả dương tính với thụ thể hormone và âm tính với protein HER2 (HR+/HER2-). Sau điều trị nội tiết kết hợp với thuốc ức chế CDK 4/6, chị đỡ đau lưng, bắt đầu dừng thuốc giảm đau.
Sau ba năm, kiểm tra cho thấy khối u vú của chị Phương không còn, các nốt di căn gan tiêu biến, tổn thương xương đặc hóa, không gây đau. Suốt quá trình điều trị, chị không gặp tác dụng phụ đáng kể, không rụng tóc hay buồn nôn mà ăn uống ngon miệng, sinh hoạt bình thường. Hiện, chị Phương tiếp tục được tái khám định kỳ và điều trị duy trì.

Còn chị Nguyệt 38 tuổi, ung thư vú di căn gan, phổi năm 2023, xét nghiệm dương tính với thụ thể hormone và âm tính với protein HER2. Sau một năm điều trị bằng thuốc CDK 4/6, các nốt di căn gan, phổi thu nhỏ, sức khỏe người bệnh cải thiện hơn, không bị rụng tóc, thể trạng sức khỏe tốt. Hiện sau hai năm, tình trạng bệnh của chị vẫn được kiểm soát.

Ung thư vú đứng đầu về tỷ lệ mắc và tử vong do ung thư ở phụ nữ tại Việt Nam, theo thống kê của Globocan năm 2022. Khoảng 30-40% người bệnh ung thư vú sẽ tiến triển đến giai đoạn di căn gan, xương, phổi, não…
Hiện có ba loại thuốc CDK 4/6 đã được Cục quản lý Thực phẩm và Dược phẩm Mỹ phê duyệt tháng 2/2016 để điều trị ung thư vú giai đoạn tiến triển và di căn. Hai trong số đó được Bộ Y tế đưa vào Hướng dẫn chẩn đoán và điều trị ung thư vú tại Việt Nam tháng 7/2020.
HỆ THỐNG BỆNH VIỆN ĐA KHOA TÂM ANH