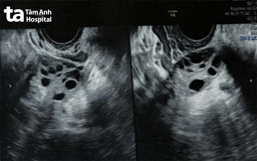
TP HCM – Chị Vân, 33 tuổi, hai buồng trứng có nhiều nang noãn nhỏ, trơn bóng như “chuỗi ngọc trai”, kinh nguyệt thưa thớt, gây vô sinh 4 năm.

Ngày 29/1, ThS.BS Giang Huỳnh Như, giám đốc Trung tâm Hỗ trợ sinh sản, Bệnh viện Đa khoa Tâm Anh TP HCM (IVF Tâm Anh TP HCM), cho biết tình trạng của chị Vân là biểu hiện của hội chứng buồng trứng đa nang (PCOS). Không có nang nhỏ nào trong số này có khả năng phát triển trưởng thành để dẫn đến rụng trứng. Đó là lý do mỗi năm chị Vân chỉ có 4-6 chu kỳ kinh nguyệt, hai lần bơm tinh trùng vào buồng tử cung (IUI) thất bại.
Thống kê từ Tổ chức Y tế Thế giới (WHO), hội chứng buồng trứng đa nang là nguyên nhân chủ yếu dẫn đến vô sinh hiếm muộn ở phụ nữ, ảnh hưởng đến 8-13% người trong độ tuổi sinh sản.
Sự rụng trứng không xảy ra do buồng trứng không sản xuất progesterone thúc đẩy niêm mạc tử cung dày hơn và có thể bong ra không đều, dẫn đến chảy máu nhiều hoặc kéo dài. Kinh nguyệt thất thường còn gây tăng nguy cơ phát triển quá mức nội mạc tử cung, hoặc thậm chí ung thư nội mạc tử cung.
“Phụ nữ bị buồng trứng đa nang khó mang thai tự nhiên, cần hỗ trợ sinh sản để kích thích trứng trưởng thành”, bác sĩ Như nói.

Vợ chồng chị Vân đến IVF Tâm Anh TP HCM lần đầu vào năm 2021, được chỉ định phương pháp thụ tinh ống nghiệm (IVF), tỷ lệ thành công cao hơn.
Chị Vân có nguy cơ quá kích buồng trứng, được bác sĩ áp dụng phác đồ kích thích buồng trứng nhẹ, chọc hút được 24 trứng trưởng thành. Các chuyên gia phôi học thụ tinh ống nghiệm tạo được 17 phôi ngày 5, trong đó 12 phôi tốt nhất được trữ đông. Chị được chuẩn bị nội mạc tử cung đủ điều kiện, chuyển một phôi tốt nhưng thai phát triển ngoài tử cung phải đình chỉ thai kỳ.
Sau thời gian nghỉ ngơi, chị được chuyển phôi lần thứ hai, tiếp tục đậu thai nhưng không may mắc Covid-19 khiến thai lưu. Lần thứ 3 chuyển phôi vào tháng 2/2023, chị tiếp tục đậu thai, may mắn thai kỳ suôn sẻ. Cuối năm 2023, bé trai 3,3 kg chào đời khỏe mạnh.
“Sau nhiều năm mong con, nhiều lần chuyển phôi thất bại, cuối cùng tôi cũng được làm mẹ”, chị nói.
Theo các chuyên gia, triệu chứng của hội chứng buồng trứng đa nang có thể khác nhau ở mỗi người và thay đổi theo thời gian.
Bác sĩ Như khuyến cáo phụ nữ nên thăm khám sớm nếu có các triệu chứng như chu kỳ kinh nguyệt thưa thớt, da mụn do nồng độ testosterone trong máu tăng cao, tăng cân đặc biệt quanh vùng bụng, lông nhiều trên mặt hoặc cơ thể. Phương pháp xét nghiệm máu có thể giúp chẩn đoán chính xác và bác sĩ có căn cứ điều trị.
Phụ nữ mắc PCOS tăng nguy cơ mắc các bệnh lý như tiểu đường type 2, tăng huyết áp, bệnh tim… Họ còn có nguy cơ cao quá kích buồng trứng khi thực hiện kích thích buồng trứng trong quá trình IVF nên cần được khám sức khỏe sinh sản toàn diện. Bác sĩ thường áp dụng phác đồ kích thích buồng trứng với loại thuốc và liều lượng phù hợp để thực hiện thụ tinh ống nghiệm, giúp người bệnh có thai. Tại IVF Tâm Anh TP HCM, tỷ lệ IVF thành công với phụ nữ mắc PCOS khoảng 68,5%.
Tên nhân vật đã được thay đổi
HỆ THỐNG BỆNH VIỆN ĐA KHOA TÂM ANH