Hơn 10 năm sau phẫu thuật nâng ngực, hai phụ nữ bất ngờ sưng đau, tụ máu quanh túi độn – một biến chứng hiếm gặp, dễ nhầm lẫn với u lympho liên quan túi ngực.

Đầu tháng 8, Bệnh viện Đa khoa Tâm Anh TP.HCM tiếp nhận trường hợp của chị Thành, (50 tuổi, ở Quảng Ngãi) đến khám vì vú trái sưng to gấp đôi vú đối bên, kèm đau nhức, chèn ép, khó thở.
Chị Thành cho biết từng nâng ngực cách đây 15 năm và bản thân không có bệnh lý bất thường về mạch máu cũng như không sử dụng thuốc chống đông. Khi bác sĩ hỏi bệnh, bệnh nhân phủ nhận các chấn thương trực tiếp vào ngực quanh thời điểm xảy ra triệu chứng.
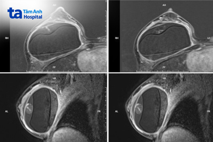
Chị Thành được chỉ định siêu âm và chụp cộng hưởng từ (MRI). Hình ảnh MRI cho thấy túi hai bên còn nguyên vẹn. Ngực bên trái ghi nhận có tụ dịch không thuần nhất quanh túi ngực trái. Bệnh nhân sau đó được chỉ định chọc hút dịch xét nghiệm tế bào học, kết quả cho thấy dịch viêm chẩn đoán phân biệt với u lympho tế bào lớn thoái sản liên quan túi ngực (BIA-ALCL), một dạng ung thư hiếm gặp có thể xuất hiện sau hơn 10 năm phẫu thuật nâng ngực.
Bệnh nhân được hội chẩn đa chuyên khoa và được chỉ định phẫu thuật lấy bỏ túi ngực hai bên, cắt trọn bao xơ vú trái và sinh thiết bao xơ vú phải. Trong quá trình phẫu thuật, ê-kíp bác sĩ đã phát hiện khoảng 100 ml dịch máu tụ trong bao xơ quanh túi, kết quả sinh thiết lạnh xác định không có tế bào ác tính.
Phẫu thuật kéo dài khoảng ba giờ do ThS.BS.CKI Huỳnh Bá Tấn, khoa Ngoại Vú – Đầu Mặt Cổ trực tiếp thực hiện. Sau mổ, chị Thành ổn định sức khỏe, không có biến chứng. Kết quả giải phẫu bệnh không có tế bào ác tính.
Một trường hợp khác ở Đồng Nai, chị Thắm, 51 tuổi, đau vú phải kéo dài và biến dạng vú phải. Bệnh nhân đã phẫu thuật đặt túi ngực 10 năm trước. Lo lắng, chị đến khám tại Bệnh viện Đa khoa Tâm Anh TP.HCM vào đầu tháng 9.
Quá trình thăm khám cho thấy vú phải của chị Thắm có các dấu hiệu căng tức, biến dạng, nghi ngờ co thắt bao xơ túi ngực, vỡ túi ngực. Kết quả MRI phát hiện vỡ túi hai bên kèm tụ máu quanh, silicone rò ra mô xung quanh.
Trong khi mổ, ê-kíp phẫu thuật đã hút khoảng 200 ml hỗn hợp máu và silicone, xử lý bao xơ và thay túi độn mới. Sau phẫu thuật, chị Thắm hồi phục nhanh, sức khỏe ổn định, giữ được hình thể, tự tin, ổn định tâm lý.

Bác sĩ Tấn cho biết đây là hai trong vài trường hợp tụ dịch, tụ máu muộn quanh túi ngực mà bệnh viện tiếp nhận và xử trí trong quý 3/2025. Cơ chế gây ra hiện tượng này chưa được xác định rõ, có thể liên quan đến tổn thương vi mạch, co thắt bao xơ hoặc phản ứng viêm mạn tính dẫn đến chảy máu quanh túi.
Một số giả thiết trên thế giới đưa ra nguyên nhân có thể liên quan đến viêm mạn tính hoặc tổn thương vi mạch quanh bao xơ. Những trường hợp này cần loại trừ sớm BIA-ALCL để tránh tiến triển ác tính. Bác sĩ khuyến cáo, phụ nữ bị sưng đau sau nhiều năm phẫu thuật nên đi khám sớm; nếu phát hiện và điều trị kịp thời, tiên lượng thường tốt.

Phẫu thuật nâng ngực bằng túi độn là một trong những các phẫu thuật được thực hiện nhiều nhất, theo thống kê của Hội Tạo hình Thẩm mỹ Hoa Kỳ. Các loại túi ngực hiện đại được chấp thuận sử dụng trên thị trường, bao gồm túi gel silicone hay túi nước muối sinh lý, có độ bền cao và được thiết kế để sử dụng lâu dài.
Tuy nhiên, theo ThS.BS Trần Nguyễn Nhật Khánh, khoa Ngoại Vú – Đầu Mặt Cổ, không có túi ngực nào được tạo ra để tồn tại suốt đời. Trước đây, quan điểm của nhiều phẫu thuật viên khuyên bệnh nhân nên thay túi ngực sau khoảng 10 năm. Hiện nay, trên thực tế, đây không phải là một quy tắc cố định. Nhiều phụ nữ có thể duy trì túi ngực an toàn trong thời gian dài hơn nếu không gặp biến chứng. Ngược lại, một số trường hợp lại phải phẫu thuật lại sớm hơn dự kiến do xuất hiện biến chứng liên quan đến túi như co thắt bao xơ, vỡ túi hoặc biến dạng ngực.
Các biến chứng hiếm gặp hơn của túi ngực là các trường hợp tụ dịch, tụ máu muộn như các ca đã kể trên – biểu hiện bằng ngực sưng, đau, to nhanh, dễ bị nhầm với u lympho tế bào lớn không biệt hoá liên quan đến túi ngực (BIA-ALCL), đặc biệt là khi biến chứng này xảy ra trên người bệnh không có tiền sử chấn thương hay các bệnh lý nền về mạch máu.
Bác sĩ Tấn cho biết, tụ máu và tụ dịch quanh túi ngực là biến chứng thường chỉ xảy ra ngay sau phẫu thuật nâng ngực. Các trường hợp tụ máu muộn sau 10-20 năm phẫu thuật nâng ngực là biến chứng hiếm gặp, đặc biệt là khi các triệu chứng này xuất hiện nguyên phát, không có nguyên nhân.
Theo một số báo cáo y văn, chỉ hơn 15-20 ca tụ máu muộn quanh túi ngực được mô tả toàn cầu, và có trường hợp hiếm tới hơn 40 năm sau đặt túi mới phát hiện. Một nghiên cứu gần đây (2025) ghi nhận bệnh nhân 88 tuổi, xuất hiện một khối u dưới da kích thước 10 cm ở vú trái sau 70 năm phẫu thuật nâng ngực, nghi ngờ là ung thư vú. Sau khi kiểm tra, chẩn đoán là tụ máu mạn tính. Đây là một trong những trường hợp hiếm hoi được ghi nhận trong y văn.
Sau khi được xử trí biến chứng do đặt túi ngực, sức khỏe của các bệnh nhân ổn định. “Tôi từng lo mất ngực vì nghi ung thư, giờ khỏe mạnh và cân đối, tôi hiểu làm đẹp quan trọng, nhưng chăm sóc sau phẫu thuật còn quan trọng hơn”, chị Thắm, một trong những bệnh nhân được phẫu thuật kịp thời, bày tỏ.
Còn chị Thành chia sẻ “từng nghĩ chỉ là ngực bị lệch do tuổi tác, không ngờ lại có máu tụ bên trong. May mắn khám sớm, bác sĩ loại trừ ung thư và xử lý kịp, tôi quẳng được gánh lo về tình trạng ngực bất thường, an tâm sống chan hòa, hạnh phúc bên gia đình”.
ThS.BS.CKI Huỳnh Bá Tấn, khoa Ngoại Vú – Đầu Mặt Cổ, Bệnh viện Đa khoa Tâm Anh TPHCM cho biết, khoa đã gặp một số ca biến chứng hiếm như tụ máu sau hơn 10 năm đặt túi ngực. Cơ chế gây ra hiện tượng này chưa được xác định rõ, có thể liên quan đến tổn thương vi mạch, co thắt bao xơ hoặc phản ứng viêm mạn tính dẫn đến chảy máu quanh túi. Bác sĩ khuyến cáo, phụ nữ bị sưng đau sau nhiều năm phẫu thuật nên đi khám sớm; nếu phát hiện và điều trị kịp thời, tiên lượng thường tốt.
Theo Hiệp hội Phẫu thuật Thẩm mỹ Hoa Kỳ năm 2023, trung bình mỗi năm có khoảng 400.000 phụ nữ được đặt túi ngực tại Mỹ, trong đó 300.000 ca thẩm mỹ và 100.000 ca tái tạo sau phẫu thuật cắt bỏ vú nhằm điều trị hoặc ngăn ngừa ung thư.
Tại Việt Nam, Bộ Y tế ghi nhận TP.HCM có khoảng 5.000-6.500 ca phẫu thuật nâng ngực mỗi năm, phản ánh nhu cầu ngày càng cao của phụ nữ trong việc cải thiện hình thể sau sinh hoặc sau điều trị bệnh lý tuyến vú.
Bác sĩ Khánh cho biết phẫu thuật nâng ngực là một phẫu thuật an toàn khi được thực hiện tại cơ sở đáng tin cậy, bác sĩ được đào tạo bài bản và người bệnh được theo dõi định kỳ. Tuy nhiên, theo thời gian, da và mô vú lão hóa có thể khiến hình dáng hoặc cảm giác thay đổi, làm cho việc thay túi ngực trở nên cần thiết. “Thời điểm thay túi ở mỗi người khác nhau, tùy cơ địa, loại túi, kỹ thuật phẫu thuật và quá trình chăm sóc sau mổ”, bác sĩ Khánh giải thích thêm.
Thống kê năm 2024 cho thấy thế giới ghi nhận 1.380 ca biến chứng liên quan túi ngực, trong đó 64 trường hợp tử vong, với thời gian tiềm ẩn trung bình 8-9 năm sau phẫu thuật.
Bác sĩ Khánh khuyến cáo, phụ nữ đã đặt túi ngực cần tái khám định kỳ, kết hợp thăm khám lâm sàng và chẩn đoán hình ảnh (như MRI hoặc siêu âm) khi cần thiết. Việc theo dõi thường xuyên không chỉ giúp phát hiện sớm những bất thường tiềm ẩn, mà còn bảo đảm an toàn, duy trì vẻ đẹp và sự tự tin cho chị em phụ nữ.
HỆ THỐNG BỆNH VIỆN ĐA KHOA TÂM ANH