Ung thư âm hộ là một dạng ung thư hiếm gặp, nếu không được phát hiện và điều trị kịp thời, có thể gây ra những hậu quả nghiêm trọng đối với sức khỏe phụ nữ. Việc nhận diện sớm các dấu hiệu và triệu chứng của bệnh đóng vai trò quan trọng trong việc nâng cao tỷ lệ điều trị thành công.

Ung thư âm hộ là loại ung thư xuất phát từ các tế bào vùng âm hộ, bao gồm môi lớn, môi bé và các cấu trúc ở khu vực xung quanh. Khối u ung thư thường được hình thành dưới dạng cục u hoặc các vết loét trên âm hộ, có thể gây ngứa và khó chịu.
Ung thư ở âm hộ khá hiếm gặp nhưng có thể gây ra nhiều biến chứng nguy hiểm, ảnh hưởng đến chất lượng sống của phụ nữ. Tại Việt Nam, căn bệnh ung thư này chiếm từ 3-5% các ung thư phụ khoa. Bệnh thường gặp ở người cao tuổi, nhất là ở lứa tuổi từ 65-75 tuổi. (1)

Ung thư âm hộ thường được chia thành nhiều loại dựa trên vị trí hình thành ung thư và đặc điểm của từng loại khối u. Các loại ung thư phổ biến gồm có: (2)
Đây là loại ung thư âm hộ phổ biến nhất, chiếm khoảng 90% trong tổng số các trường hợp. Ung thư biểu mô tế bào vảy âm hộ có nguồn gốc từ các tế bào biểu mô vảy, thường bắt đầu hình thành từ lớp biểu mô ở bề mặt âm hộ.
Khi mắc phải bệnh, bệnh nhân có thể có cảm giác ngứa ngáy, đau rát hoặc có những sự thay đổi bất thường ở vùng âm hộ. Các triệu chứng của bệnh ở giai đoạn đầu thường không rõ ràng, có thể dễ gây nhầm lẫn với các vấn đề sức khỏe khác, dẫn đến việc phát hiện bệnh muộn, gây khó khăn cho quá trình điều trị.
Ung thư hắc tố âm hộ còn được biết đến với tên gọi melanom âm hộ. Mặc dù ít gặp hơn ung thư biểu mô tế bào vảy, chỉ phổ biến thứ 2 trong các loại ung thư âm hộ, chiếm khoảng 5% các trường hợp mắc bệnh nhưng loại ung thư này thường có tiến triển nhanh và có khả năng di căn cao sang các bộ phận khác trong cơ thể.
Ung thư hắc tố âm hộ được hình thành từ các tế bào sắc tố (melanocytes) trong vùng âm hộ, trông giống như nhiều nốt ruồi dính nhau. Bệnh nhân có thể phát hiện ra một khối u màu sẫm hoặc không đều ở vùng âm hộ, kèm theo sự thay đổi về màu sắc da.
Bên cạnh 2 loại phổ biến được kể trên, còn có một số loại ung thư âm hộ hiếm gặp khác như ung thư tuyến Bartholin (chiếm khoảng 1%), ung thư tế bào đáy (chiếm khoảng từ 1 – 2%), bệnh Paget (chỉ chiếm dưới 1%), Sarcoma âm hộ (chiếm khoảng 1 – 2 %), Adenocarcinoma dạng mụn cơm,… Mặc dù rất hiếm gặp và khả năng mắc phải không cao nhưng đây cũng là những loại ung thư rất nguy hiểm, có tác động không nhỏ gây ảnh hưởng đến sức khỏe của phụ nữ.
Ung thư âm hộ là loại ung thư phụ khoa ít gặp so với các dạng ung thư khác như ung thư cổ tử cung hoặc ung thư buồng trứng. Tại Mỹ, tỷ lệ mắc phải chiếm khoảng 0,7% trong số các ca ung thư ở phụ nữ. Theo Hiệp hội Ung thư Hoa Kỳ (American Cancer Society), mỗi năm có khoảng 6.500 phụ nữ được chẩn đoán mắc ung thư âm hộ(3).
Loại ung thư này chủ yếu xảy ra ở phụ nữ lớn tuổi, với khoảng 80% trường hợp xảy ra ở phụ nữ trên 50 tuổi, và độ tuổi trung bình khi chẩn đoán là khoảng 68 tuổi. Tỷ lệ mắc bệnh tăng dần theo độ tuổi, việc thăm khám phụ khoa định kỳ và tầm soát là rất quan trọng, đặc biệt đối với phụ nữ lớn tuổi hoặc người có các yếu tố nguy cơ.

Ung thư tại âm hộ hiếm gặp, các triệu chứng ban đầu của bệnh dễ nhầm lẫn với các bệnh phụ khoa khác nên bệnh thường được phát hiện ở giai đoạn muộn. Vì vậy, chị em nên đi khám ngay nếu có những dấu hiệu dưới đây:
Nguyên nhân chính xác gây nên ung thư âm hộ vẫn chưa được xác định rõ ràng. Tuy nhiên, một số nguyên nhân và yếu tố nguy cơ có thể hình thành nên bệnh lý này có thể kể đến như: (4)
Theo nhiều nghiên cứu cho thấy, nguy cơ mắc ung thư âm hộ có khả năng tăng lên theo tuổi tác, đặc biệt là ở phụ nữ từ 60 tuổi trở lên. Ở giai đoạn này, cơ thể phụ nữ bắt đầu suy yếu, sức khỏe và sức đề kháng giảm sút nghiêm trọng. Sư lão hóa tăng lên làm giảm khả năng tự chữa và tự hồi phục của cơ thể, tạo điều kiện thuận lợi cho các tế bào bất thường phát triển thành khối u ác tính.
Không phải bệnh nhân nào nhiễm HPV cũng đều sẽ mắc phải ung thư. Tuy nhiên, theo nhiều số liệu nghiên cứu cho biết, virus HPV (Human Papillomavirus) được xác định là nguyên nhân chính, nguy cơ cao dẫn đến nhiều loại ung thư phụ khoa xuất hiện ở nữ giới.
HPV là bệnh lý có thể lây truyền qua quá trình quan hệ tình dục và có nhiều biến thể khác nhau, trong đó một số biến thể có khả năng gây ung thư cao. Vì thế, phụ nữ cần tiêm phòng HPV để phòng ngừa ung thư và các bệnh lý khác có khả năng gây ảnh hưởng nghiêm trọng đến sức khỏe.
Thuốc lá chứa hàng nghìn chất độc ảnh hưởng đến sức khoẻ của người trực tiếp sử dụng và những người hút thụ động xung quanh. Phụ nữ có thói quen hút thuốc có nguy cơ mắc ung thư âm hộ cao hơn so với những người không sử dụng. Nicotine và các chất độc hại khác có trong thuốc lá có thể làm tổn thương các tế bào trong vùng âm hộ, gây nên sự bất thường và biến đổi cấu trúc của các tế bào.

Những người có hệ miễn dịch suy yếu, chẳng hạn như người nhiễm HIV/AIDS, người đã trải qua ghép nội tạng hoặc người đã trải qua điều trị bệnh lý bằng phương pháp hóa trị, sẽ có nguy cơ mắc ung thư cao hơn vì lúc này cơ thể đã suy giảm các chức năng nên khó chống chọi lại được với các tác nhân gây ung thư.
U tân sinh biểu mô âm đạo là tình trạng tiền ung thư có thể làm tăng nguy cơ phát triển thành ung thư âm hộ. Hầu hết các trường hợp u tân sinh biểu mô âm hộ sẽ không phát triển thành ung thư nhưng một số ít trường hợp sẽ trở thành ung thư xâm lấn. Vì vậy, khi gặp phải tình trạng này, chị em cần thăm khám ngay và tuân thủ đúng liệu trình điều trị của bác sĩ để loại bỏ các vùng tế bào bất thường và theo dõi định kỳ sau điều trị.
Những tổn thương trước đó tại vùng da ở âm hộ mà phụ nữ gặp phải như lichen sclerosus (Lichen xơ hóa) hoặc condyloma (sùi mào gà/ mụn cóc sinh dục) cũng có thể làm tăng nguy cơ phát triển thành khối u ác tính. Những tình trạng này có thể gây ra sự thay đổi tế bào, dẫn đến sự phát triển của tế bào ung thư nếu không được phát hiện, điều trị kịp thời và hiệu quả.
Phụ nữ nên gặp bác sĩ để được thăm khám ngay khi có bất kỳ triệu chứng bất thường nào xuất hiện ở vùng âm hộ và kéo dài hơn hai tuần. Bên cạnh đó, nếu chị em nhận thấy có sự thay đổi trong chu kỳ kinh nguyệt hoặc tình trạng sức khỏe tổng thể đang gặp vấn đề nên tham vấn ý kiến của bác sĩ để có thể phát hiện sớm được các dấu hiệu bất thường ngay từ giai đoạn đầu. Từ đó, quá trình điều trị và phục hồi sức khỏe sẽ diễn ra thuận lợi và nhanh chóng hơn.
Các dấu hiệu của ung thư âm hộ bao gồm sự thay đổi trên bề mặt da của một phần âm hộ, sự xuất hiện của vết sưng hoặc u mới, cảm giác da dày lên hoặc thô ráp, ngứa, nóng rát, vết loét hở, vết chảy máu mới xuất hiện hoặc sự xuất hiện của vết đốm và chảy dịch âm đạo. Để xác định tình trạng bệnh, bác sĩ sẽ tiến hành thăm khám tổng quát, đặc biệt là khám vùng chậu và đặt những câu hỏi liên quan đến sức khỏe của bệnh nhân. (5)
Nếu các triệu chứng nghi ngờ mắc bệnh, bác sĩ có thể chỉ định các xét nghiệm sau:
Đây là phương pháp lấy mẫu mô nhỏ từ vùng nghi ngờ để xét nghiệm tế bào ung thư. Sinh thiết là xét nghiệm có thể xác định chắc chắn sự hiện diện của ung thư.
Thuốc gây mê có thể được sử dụng để giúp bệnh nhân ngủ và không cảm thấy đau trong khi bác sĩ tiến hành thăm khám trực tiếp vùng âm hộ nhằm phát hiện các dấu hiệu của ung thư và sự di căn của nó.
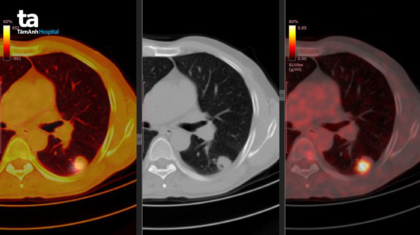
Phương pháp này có thể được áp dụng để đánh giá mức độ lan rộng của ung thư và xác định liệu ung thư có di căn hay không.
Các kỹ thuật này giúp tạo hình ảnh chi tiết của vùng bị nghi ngờ, giúp phát hiện ung thư hoặc tình trạng di căn.
Đây là phương pháp quan sát toàn bộ cơ thể để phát hiện sự hiện diện của ung thư và xác định các vùng di căn mà chưa được xác định rõ qua các xét nghiệm khác. Các xét nghiệm trên đóng vai trò quan trọng trong việc xác định mức độ xâm lấn và di căn của ung thư, từ đó giúp xây dựng kế hoạch điều trị phù hợp.

Sinh thiết là một thủ thuật y tế xâm lấn có tính chính xác cao được dùng để chẩn đoán và xác định bệnh nhân có mắc phải các loại ung thư phụ khoa như ung thư âm hộ, ung thư nội mạc tử cung, ung thư buồng trứng,… Bác sĩ sẽ lấy một mẫu mô từ vùng nghi ngờ để phân tích và xác định xem có sự tồn tại của các tế bào ung thư hay không.
Bên cạnh các phương pháp được liệt kê phía trên thì còn có một số xét nghiệm khác giúp sàng lọc, hỗ trợ chẩn đoán ung thư âm hộ, kiểm tra sự lan rộng và đánh giá tổng thể tình trạng sức khỏe của bệnh nhân thường được sử dụng như:
Ung thư âm hộ nếu không được phát hiện sớm, điều trị ung thư âm hộ kịp thời và hiệu quả, bệnh sẽ có diễn tiến nhanh để lại nhiều biến chứng nguy hiểm, ảnh hưởng trực tiếp đến sức khỏe và tâm sinh lý của phụ nữ. Cụ thể:
Khi được chẩn đoán mắc ung thư âm hộ, người bệnh cần trao đổi với bác sĩ về phương án điều trị tiếp theo. Bên cạnh việc tuân thủ chỉnh định điều trị và thăm khám, bệnh nhân nên suy nghĩ tích cực, có chế độ dinh dưỡng cân bằng, nghỉ ngơi, vận động hợp lý để tăng cường sức khoẻ tổng thể và giúp việc đáp ứng điều trị ung thư âm hộ được tốt nhất.
Khả năng chữa khỏi ung thư âm hộ phụ thuộc vào các yếu tố như giai đoạn ung thư âm hộ, loại ung thư và tình trạng sức khỏe tổng thể của bệnh nhân. Nếu được phát hiện sớm và điều trị kịp thời, bệnh nhân có thể hồi phục sức khỏe và duy trì được chất lượng cuộc sống.
Để bảo vệ tốt sức khỏe sinh sản và sức khỏe phụ khoa, phòng ngừa hiệu quả các loại ung thư, chị em có thể áp dụng một số biện pháp sau:

Nếu có nhu cầu đặt lịch khám, chăm sóc sức khỏe phụ khoa, tầm soát và điều trị các loại ung thư tại Trung tâm Sản Phụ khoa, Bệnh viện Đa khoa Tâm Anh, quý khách hàng có thể liên hệ đến:
HỆ THỐNG BỆNH VIỆN ĐA KHOA TÂM ANH
Tóm lại, ung thư âm hộ là một trong những căn bệnh nghiêm trọng, gây nguy hiểm đến tính mạng của bệnh nhân nhưng có thể phòng ngừa và điều trị hiệu quả nếu được phát hiện sớm. Hiểu biết về các dấu hiệu, nguyên nhân và phương pháp chẩn đoán không chỉ giúp phụ nữ bảo vệ tốt sức khỏe bản thân mà còn tạo điều kiện cho việc phát hiện và điều trị kịp thời bệnh lý ngay từ giai đoạn ban đầu.