U màng não thất là một loại u não, hình thành khi các tế bào bị biến đổi. U này thường lành tính và phát triển từ tế bào màng nhện. Người bị bệnh u màng não thất cần đến gặp bác sĩ để kiểm tra, khám và tư vấn điều trị phù hợp.
U màng não thất là gì?
U màng não thất (Ependymoma) là một loại khối u phát triển từ các tế bào màng não thất (ependymal cells) – tế bào lót mặt trong của hệ thống não thất và ống trung tâm của tủy sống. Đây là một dạng u thần kinh đệm (glioma) có thể gặp ở cả trẻ em và người lớn.
U màng não thất có thể xuất hiện ở bất kỳ vị trí nào trong hệ thần kinh trung ương (CNS), nhưng thường gặp nhất ở hố sau của não (não thất IV), vùng trên lều tiểu não (não thất bên, não thất III) và tủy sống. Tùy theo mức độ ác tính, loại u này có thể phát triển chậm hoặc nhanh, ảnh hưởng đến khả năng điều trị cũng như tiên lượng sống của người bệnh. (1)
U màng não thất là tình trạng nguy hiểm cần điều trị sớm
Các cấp độ của u màng não thất
Theo hệ thống phân loại của Tổ chức Y tế Thế giới (WHO), u màng não thất được chia thành ba cấp độ (Grade I, II, III) dựa trên đặc điểm mô học của khối u: (2)
1. Độ I
U màng não thất cấp độ I là các khối u lành tính, phát triển chậm, gồm:
U dưới màng nội tủy (Subependymoma): Thường gặp ở não thất bên và não thất IV, có kích thước nhỏ và ít triệu chứng.
U màng não thất nhầy nhú (Myxopapillary ependymoma): Chủ yếu xuất hiện ở tủy cùng và đuôi ngựa, thường gặp ở người trưởng thành trẻ tuổi.
2. Độ II
U màng não thất cấp độ II là loại phổ biến nhất, có đặc điểm:
Phát triển chậm nhưng có khả năng xâm lấn.
Gây tắc nghẽn dịch não tủy, dẫn đến tăng áp lực nội sọ.
Các tế bào u thường tạo thành cấu trúc hoa hồng giả quanh mạch máu (perivascular pseudorosettes).
3. Độ III
U màng não thất độ III là loại u ác tính, có tốc độ phát triển nhanh, mật độ tế bào cao, nhân dị dạng và nhiều hoạt động phân bào. Loại này thường tái phát và khó điều trị hơn các loại khác.
Các vị trí u màng não thất thường gặp
U màng não thất có thể xuất hiện ở não hoặc tủy sống, gây ra các triệu chứng khác nhau tùy thuộc vào vị trí khối u:
1. U màng não thất hố sau
U màng não thất hố sau xuất phát từ não thất IV, gây tắc nghẽn lưu thông dịch não tủy, dẫn đến tăng áp lực nội sọ. Triệu chứng thường gặp là đau đầu, buồn nôn, nôn mửa, mất thăng bằng.
2. U màng não thất trên lều
U màng não thất trên lều thường xuất hiện ở não thất bên hoặc não thất III. Triệu chứng thường gặp là động kinh, suy giảm nhận thức, yếu liệt thần kinh khu trú.
3. U màng não thất ở tủy sống
U màng não thất tủy sống thường xuất hiện ở tủy cổ và tủy ngực. Triệu chứng là đau lưng, yếu chi, rối loạn cảm giác, mất kiểm soát bàng quang.
Triệu chứng u màng não thất
Các triệu chứng của u màng não thất thường liên quan đến sự gia tăng áp lực nội sọ và vị trí của khối u trong não, bao gồm: (3)
Đau đầu dai dẳng, thường nghiêm trọng hơn vào buổi sáng
Buồn nôn và nôn mửa, đặc biệt là khi thay đổi tư thế
Rối loạn thị giác, chẳng hạn như nhìn đôi hoặc mất thị lực
Chóng mặt, mất thăng bằng
Co giật (động kinh) trong một số trường hợp
Thay đổi nhận thức, suy giảm trí nhớ hoặc mất tập trung
Người bệnh bị đau đầu dai dẳng do u màng não thất
Khi nào cần gặp bác sĩ?
Người bệnh nên đi khám ngay khi nhận thấy xuất hiện các triệu chứng như:
Đau đầu kéo dài
Buồn nôn không rõ nguyên nhân
Rối loạn thị giác hoặc mất thăng bằng
Nguyên nhân gây bệnh u màng não thất
Hiện nay, nguyên nhân chính xác gây ra u màng não thất vẫn chưa được xác định. Tuy nhiên, các nghiên cứu cho thấy một số yếu tố có thể liên quan đến sự phát triển của khối u này, bao gồm: (4)
Đột biến gen, đặc biệt là trong các bệnh lý như u sợi thần kinh týp 2 (Neurofibromatosis type II – NF2)
Rối loạn phát triển tế bào thần kinh đệm trong hệ thần kinh trung ương
Tiếp xúc với bức xạ (hiếm gặp)
Bệnh u màng não thất có nguy hiểm không?
U màng não thất có thể gây ra nhiều biến chứng nguy hiểm, đặc biệt là khi khối u lớn dần theo thời gian và chèn ép các cấu trúc trong não, phải kể đến như:
Tăng áp lực nội sọ, gây đau đầu dữ dội, nôn mửa và giảm ý thức
Tắc nghẽn dòng chảy dịch não tủy, dẫn đến não úng thủy
Suy giảm chức năng thần kinh, ảnh hưởng đến vận động, nhận thức hoặc thị giác
Tái phát sau điều trị, đặc biệt là ở những trường hợp khối u không được loại bỏ hoàn toàn.
U màng não thất có thể gây ra nhiều biến chứng nghiêm trọng cho sức khỏe
Tiên lượng u màng não thất sống được bao lâu?
Tiên lượng của bệnh u màng não thất phụ thuộc vào nhiều yếu tố như kích thước khối u, vị trí, mức độ ác tính và phương pháp điều trị. Theo thống kê, tỷ lệ sống sau 5 năm ở trẻ em khoảng 60 – 80% (nếu có thể phẫu thuật loại bỏ hoàn toàn), người lớn khoảng 70 – 90% (đối với khối u lành tính). Những trường hợp u ác tính hoặc không thể can thiệp phẫu thuật cắt bỏ có nguy cơ tái phát cao hơn.
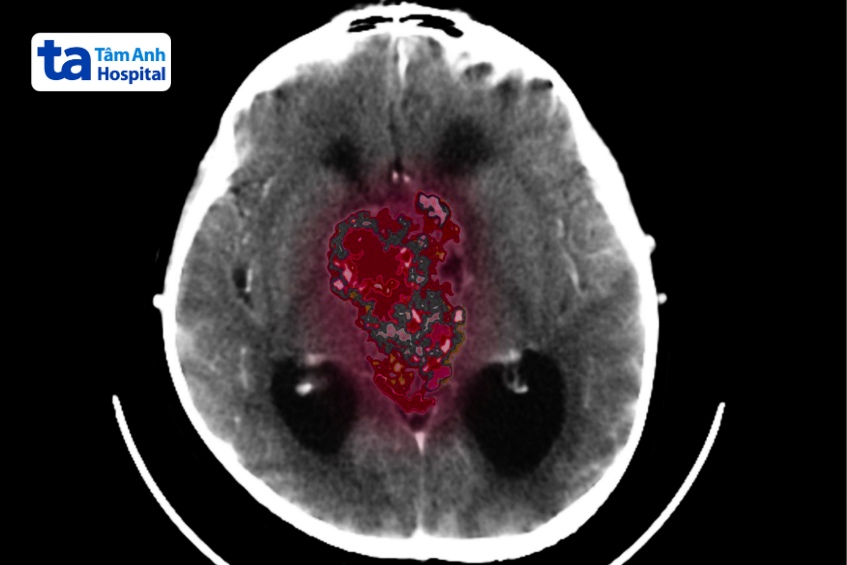
Cách chẩn đoán bệnh u màng não thất
Để chẩn đoán chính xác bệnh u màng não thất, bác sĩ sẽ tiến hành đánh giá lâm sàng, chẩn đoán hình ảnh và xét nghiệm mô bệnh học, cụ thể như sau:
Đánh giá lâm sàng: Bác sĩ xem xét các triệu chứng người bệnh gặp phải như đau đầu, buồn nôn, nôn mửa, rối loạn thăng bằng, nhìn mờ, co giật (u trong não) hay đau lưng, yếu cơ, tê bì chân tay, rối loạn tiểu tiện và đại tiện (u trong tuỷ sống). Đồng thời, bác sĩ cũng có thể tiến hành khám thần kinh để kiểm tra chức năng vận động, phản xạ và cảm giác nhằm đánh giá mức độ ảnh hưởng của khối u.
Chẩn đoán hình ảnh: Chụp cộng hưởng từ (MRI) có tiêm thuốc cản quang để phát hiện u màng não thất, chụp cắt lớp vi tính (CT Scan) được sử dụng khi không thể thực hiện MRI, giúp phát hiện vôi hóa hoặc tình trạng tắc nghẽn dòng chảy dịch não tủy gây não úng thủy.
Chụp MRI tủy sống: Cần thực hiện nếu có khối u trong não, giúp kiểm tra nguy cơ khối u lan xuống tủy sống.
Xét nghiệm mô bệnh học:
Sinh thiết hoặc phẫu thuật cắt bỏ khối u: Giúp xác nhận chẩn đoán và đánh giá mức độ ác tính của khối u.
Nhuộm miễn dịch hóa mô (IHC): U màng não thất thường dương tính với các dấu ấn GFAP (Glial Fibrillary Acidic Protein) và EMA (Epithelial Membrane Antigen).
Xét nghiệm sinh học phân tử: Giúp xác định các nhóm phụ của u màng não thất (ví dụ: ependymoma RELAT fusion-positive), từ đó hỗ trợ tiên lượng và lựa chọn phác đồ điều trị phù hợp.
Xét nghiệm dịch não tủy (CSF): Chọc dò tủy sống có thể được thực hiện để kiểm tra sự lan rộng của tế bào ung thư vào dịch não tủy, đặc biệt trong các trường hợp nghi ngờ di căn.
Xét nghiệm di truyền và phân tử: Giúp phân loại chính xác các nhóm u màng não thất (ví dụ: u màng não thất hố sau nhóm A và B), hỗ trợ bác sĩ trong việc cá nhân hóa điều trị, nâng cao hiệu quả kiểm soát bệnh.
Xét nghiệm hình ảnh chẩn đoán bệnh u màng não thất
Cách điều trị u màng não thất
Phương pháp điều trị u màng não thất được chỉ định tùy thuộc vào kích thước, vị trí khối u và tình trạng sức khỏe của người bệnh:
Phẫu thuật cắt bỏ khối u: Phẫu thuật là phương pháp điều trị chính. Nếu khối u ở vị trí khó tiếp cận, bác sĩ có thể chỉ loại bỏ một phần để giảm áp lực lên não.
Xạ trị: Được sử dụng sau phẫu thuật để tiêu diệt tế bào u còn sót lại và ngăn ngừa tái phát.
Hóa trị: Thường áp dụng trong một số trường hợp đặc biệt, như u ác tính hoặc tái phát.
Biện pháp phòng ngừa bệnh u màng não thất
Hiện chưa có biện pháp phòng ngừa cụ thể đối với tình trạng u màng não thất do nguyên nhân gây bệnh không được xác định chưa rõ ràng. Tuy nhiên, mỗi người có thể áp dụng một số cách sau, góp phần giảm nguy cơ mắc bệnh:
Duy trì lối sống khoa học, chú trọng tăng cường sức khỏe hệ miễn dịch
Hạn chế tiếp xúc với bức xạ, đặc biệt là bức xạ ion hóa
Khám sức khỏe định kỳ tại bệnh viện uy tín, đặc biệt nếu có tiền sử gia đình mắc bệnh thần kinh đệm.
Để đặt lịch thăm khám, điều trị bệnh tại Hệ thống Bệnh viện Đa khoa Tâm Anh, Quý khách vui lòng liên hệ:
HỆ THỐNG BỆNH VIỆN ĐA KHOA TÂM ANH
Bệnh viện Đa khoa Tâm Anh Hà Nội:
108 Phố Hoàng Như Tiếp, Phường Bồ Đề, TP. Hà Nội
(Đ/c cũ: 108 Hoàng Như Tiếp, P.Bồ Đề, Q.Long Biên, TP. Hà Nội)
Để chẩn đoán chính xác u màng não thất đòi hỏi sự kết hợp giữa các phương pháp hình ảnh, xét nghiệm mô bệnh học và kiểm tra dịch não tủy nếu cần thiết. Nếu nhận thấy cơ thể có dấu hiệu bất thường, người bệnh nên đi khám sớm để được phát hiện và can thiệp điều trị, góp phần cải thiện tiên lượng bệnh.
Cập nhật lần cuối: 13:47 14/05/2025
Chia sẻ:
Nguồn tham khảo
Ependymoma: Diagnosis and Treatment. (2024, August 20). Cancer.gov. https://www.cancer.gov/rare-brain-spine-tumor/tumors/ependymoma