Khối u niêm mạc ác tính kéo dài từ gò má trái xuống cằm, ăn mòn xương, che lấp ổ miệng khiến bà Tình (80 tuổi, Đồng Nai) biến dạng mặt, không ăn uống, nói chuyện được.

6 tháng trước, bà Tình thấy má trái hơi sưng, đau khi nhai, cảm giác vướng víu. Đến nay, khối u lớn rõ, khiến má trái lúc nào cũng sưng căng, đẩy vùng má, môi lồi lõm, lệch hẳn ra ngoài, phía trong miệng lở, rỉ dịch. Bà đau nhiều, nói không rõ, không ăn uống được nên sụt gần 5kg.
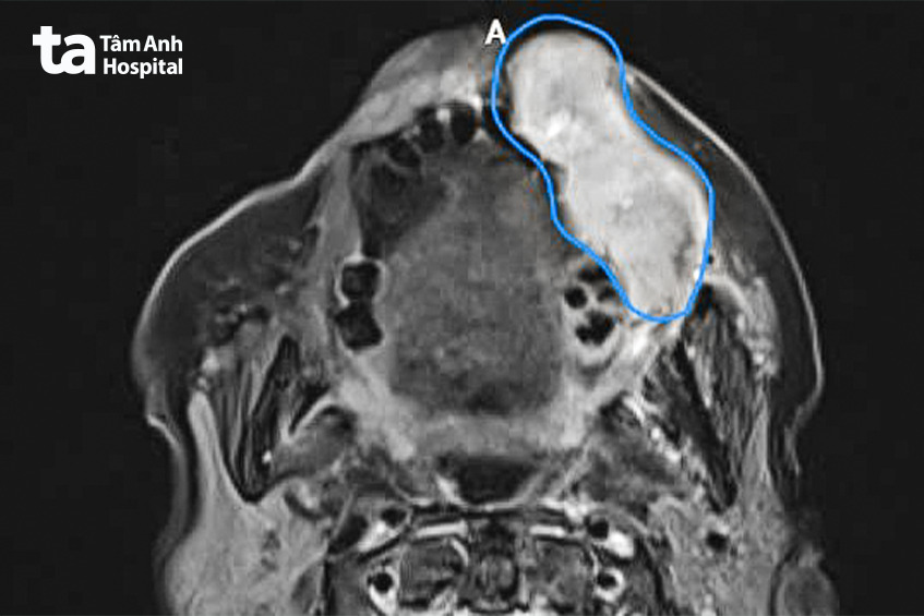
Tại Trung tâm Ung bướu, Bệnh viện Đa khoa Tâm Anh TP.HCM (cơ sở P.Tân Sơn Hòa – Q.Tân Bình cũ), kết quả sinh thiết xác định bà Tình mắc ung thư niêm mạc má giai đoạn 3, khối u lớn, dài 7cm, dày 4cm. Đây là một loại ung thư vùng ổ miệng, thường gặp ở người cao tuổi và có xu hướng tiến triển nhanh. Bà có thói quen nhai trầu rất nhiều và đây là một trong những yếu tố nguy cơ chính gây ung thư ổ miệng tại Việt Nam.

BS.CKI Nguyễn Huy Lộc, khoa Xạ trị, Trung tâm Ung bướu cho biết, với loại ung thư này, nguyên tắc điều trị chủ yếu là giải quyết khối u tại chỗ. Người bệnh có chỉ định phẫu thuật cắt bỏ toàn bộ khối u, cắt rộng xung quanh và nạo hạch cổ để đảm bảo lấy hết tế bào ung thư, ngăn di căn, tái phát. Hậu phẫu, người bệnh có thể bị khuyết lõm vùng má, ảnh hưởng đến chức năng nói, ăn uống, thẩm mỹ do khối u lớn. Để khắc phục, bác sĩ có thể tái tạo, phục hồi chức năng bằng cách lấy vạt da tự thân ghép lên vùng khuyết. Tuy nhiên, vì người bệnh tuổi cao, sức yếu, nhiều bệnh nền nên sau khi tư vấn người nhà không mong muốn phẫu thuật, vì vậy xạ trị được đề xuất là phương pháp điều trị thay thế.
Xạ trị là phương pháp không xâm lấn, không cần nằm viện suốt quá trình điều trị, giúp người bệnh tránh được các nguy cơ biến chứng của phẫu thuật cần gây mê, khả năng phục hồi tốt hơn.
Bác sĩ Lộc xây dựng phác đồ xạ trị cho bà Tình gồm 33 lần xạ, tập trung vào khối u niêm mạc má và hạch cổ hai bên dự phòng ung thư di căn, tái phát.

Vì khối u nằm sát da, lồi ra ngoài gây biến dạng khuôn mặt, do đó, ngoài việc làm mặt nạ cố định có hình dáng đặc biệt ôm theo khối u, bác sĩ còn thiết kế thêm miếng bù liều để đạt hiệu quả chiếu tia tối ưu nhất. Bác sĩ Lộc lý giải, tia xạ mạnh và phát huy tác dụng tốt nhất khi chiếu vào vị trí u dưới bề mặt da khoảng 2-3 cm. Tuy nhiên, ở bệnh nhân này, khối u lan ra vùng môi, miếng bù liều dày khoảng 1 cm làm bằng nhựa cứng, đóng vai trò như một lớp mô bao phủ phía trên u, giúp tia xạ chiếu trúng đích và giảm tổn thương mô lành dưới u.
Sau 5 lần xạ, người bệnh đáp ứng tốt, khối u giảm kích thước rõ rệt, bà Tình giảm đau, ăn nhai, nói chuyện dễ dàng hơn. Vùng u lồi ở miệng biến mất, trả lại hình dạng khuôn mặt gần như bình thường.
“Trước những lần xạ tiếp theo, người bệnh được lập kế hoạch xạ trị mới theo kích thước thu nhỏ của khối u và làm lại mặt nạ cố định, miếng bù liều cho ôm sát vùng điều trị”, bác sĩ Lộc cho hay.
Bác sĩ Lộc khuyến cáo ung thư ổ miệng thường gặp ở những người sau 50 tuổi thường xuyên hút thuốc lá, uống rượu bia, nhai trầu cau, vệ sinh răng miệng kém, bị viêm loét mạn tính nhưng không điều trị dứt điểm… Bệnh thường phát hiện ở giai đoạn muộn (3 hoặc 4) do các triệu chứng ban đầu không rõ ràng, dễ nhầm với nhiệt miệng, viêm nhiễm thông thường, ít ảnh hưởng đến sinh hoạt nên người bệnh chủ quan không đi khám sớm.
Điều trị ở giai đoạn muộn tiên lượng xấu hơn rõ rệt so với giai đoạn sớm, cả về khả năng điều trị lẫn chất lượng sống. Do đó, ngay khi phát hiện dấu hiệu bất thường như sưng đau vùng miệng, người bệnh cần đi bệnh viện khám ngay. Ngoài ra, mỗi người cần khám răng miệng định kỳ 6-12 tháng/lần để kịp thời phát hiện, điều trị (nếu có).
* Tên người bệnh đã được thay đổi
HỆ THỐNG BỆNH VIỆN ĐA KHOA TÂM ANH