Bà Hồng 61 tuổi u to ở mang tai lan xuống cằm gây tê yếu một bên mặt, được bác sĩ phẫu thuật cắt u, bảo tồn dây thần kinh mặt.

Bà Hồng xuất hiện u nhỏ ở vùng mang tai khoảng 6 năm trước. Khi u đau, sưng tai gây mất ngủ, bà đi khám, được điều trị nội khoa 7 tháng, gần đây triệu chứng nặng nên đến Bệnh viện Đa khoa Tâm Anh TP.HCM kiểm tra.
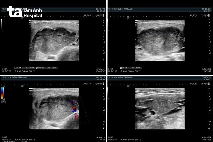
Kết quả chụp chiếu vùng mang tai và cổ cho thấy u tuyến mang tai trái kích thước 29×15 mm, ranh giới rõ, bờ cong đều, không vôi hóa. Các tuyến nước bọt khác và hạch vùng cổ bình thường, chưa ghi nhận dấu hiệu viêm hay di căn. Bác sĩ còn phát hiện một vài nhân nhỏ ở tuyến giáp hai bên, kích thước lớn nhất 22×13 mm, lành tính.

Tương tự, anh Thành, 31 tuổi, có khối u vùng mang tai cách đây 5 năm, bác sĩ khuyên mổ sớm song triệu chứng chưa ảnh hưởng sức khỏe nên anh chọn theo dõi tại nhà. Gần đây, u to hơn nên lo lắng. Lúc này, bác sĩ xác định khối u hỗn hợp tuyến mang tai phải khoảng 4 cm, chắc, di động.
Lần này, hai người bệnh đều được bác sĩ Bệnh viện Đa khoa Tâm Anh TP.HCM phẫu thuật loại bỏ u, ngăn biến chứng.
BS.CKII Đoàn Minh Trông, khoa Ngoại Vú – Đầu Mặt Cổ, tiến hành tách mô bằng dao siêu âm và dụng cụ vi phẫu, cắt thùy nông tuyến mang tai và bảo tồn hoàn toàn dây thần kinh số 7 – cơ quan điều khiển vận động cơ mặt. Sau hơn hai giờ, bác sĩ bóc tách trọn vẹn u, bệnh nhân không mất máu nhiều và hồi phục tốt. Hậu phẫu, bà có thể ăn uống, nói chuyện, vận động cơ mặt bình thường, xuất viện.

Anh Thành được BS.CKII Đỗ Tường Huân phẫu thuật cắt thùy nông tuyến mang tai phải, bảo tồn dây thần kinh mặt. Bác sĩ Huân rạch da vùng mang tai, tách da, bộc lộ tuyến mang tai và bướu. Nhờ phẫu thuật tỉ mỉ và chính xác, các nhánh dây thần kinh mặt được bảo tồn nguyên vẹn. Khối u được loại bỏ hoàn toàn, giữ nguyên hình dáng vùng mặt.
Sau mổ, anh hồi phục tốt, vận động cơ mặt bình thường. Kết quả sinh thiết xác định khối u lành tính, các chức năng thần kinh mặt hoàn toàn được bảo tồn.
U tuyến nước bọt thường xuất phát từ tuyến mang tai, phần lớn là lành tính. Tuy nhiên, nếu không được xử trí đúng, u có thể phát triển lớn, chèn ép dây thần kinh mặt, gây méo miệng hoặc liệt cơ mặt. Bác sĩ Huân cho biết phẫu thuật u tuyến mang tai là kỹ thuật khó do dây thần kinh mặt nằm sâu trong tuyến. Loại bỏ u sớm giúp bệnh nhân thoát nguy cơ liệt mặt, đảm bảo thẩm mỹ.

Bác sĩ khuyến cáo người bệnh không nên trì hoãn phẫu thuật khi đã được chỉ định. Sau mổ, cần tái khám định kỳ, vệ sinh vết thương và tập phục hồi cơ mặt theo hướng dẫn để đạt kết quả tốt nhất.
HỆ THỐNG BỆNH VIỆN ĐA KHOA TÂM ANH