Thai nhi 23 tuần bất thường tim và hệ thần kinh trung ương, bác sĩ chẩn đoán do lặp một đoạn lớn nhiễm sắc thể số 9.

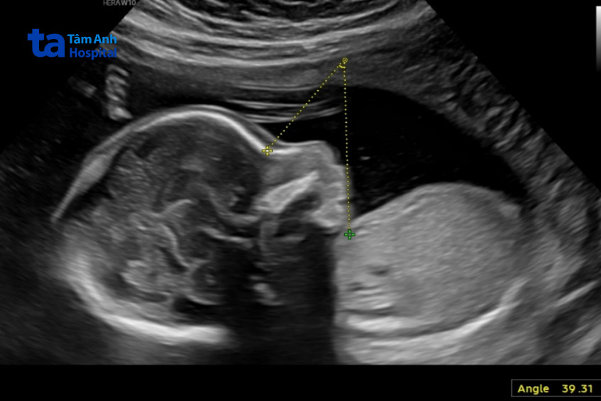
BS.CKI Nguyễn Thị Mộng Nghi, Trung tâm Y học bào thai, Bệnh viện Đa khoa Tâm Anh TP.HCM, siêu âm ghi nhận thai nhi cằm nhỏ, mũi khoằm (đầu mũi nhọn và cong xuống dưới), chưa thấy dấu hiệu bàn tay mở trong quá trình khảo sát. Các bất thường hệ thần kinh bao gồm thiểu sản thể chai (cấu trúc nối hai bán cầu đại não), rãnh Sylvius (nằm ở mặt ngoài của bán cầu đại não, ngăn cách thùy thái dương với thùy trán, thùy đỉnh) và rãnh đỉnh chẩm (rãnh ngăn cách thùy đỉnh và thùy chẩm) nông so với tuổi thai.
Thai nhi còn có bất thường tim cung động mạch chủ sang phải, tức là cung động mạch chủ (đoạn động mạch chủ từ tim, phân nhánh để cấp máu cho đầu, cổ và chi trên) đi về phía bên phải của khí quản và thực quản, thay vì bên trái như bình thường.

Thai phụ được chọc ối xét nghiệm di truyền, kết quả xác định thai nhi bị lặp đoạn nhánh dài nhiễm sắc thể số 9 (dup(9)(q21.11-q22.1)). Đây là bất thường di truyền hiếm gặp, hiện y văn thế giới chưa có thống kê cụ thể. Bất thường này xảy ra khi một đoạn của nhánh dài nhiễm sắc thể số 9, cụ thể ở vị trí q21.11-q22.1 lặp lại, tức là có nhiều hơn hai bản sao của đoạn này trong tế bào, dẫn đến tăng số lượng gene tại vị trí này.
Bác sĩ Nghi cho biết, thai nhi lặp đoạn nhiễm sắc thể số 9 này, kích thước lặp đoạn lớn chứa nhiều gene quan trọng cho phát triển thần kinh, hình thái và chuyển hóa. Lặp đoạn các gene này có thể làm rối loạn biểu hiện gene dẫn đến chậm phát triển trí tuệ, thể chất, khó khăn về ngôn ngữ, vận động, rối loạn tự kỷ, dị tật hình thái (mặt, tim, thận, xương…)
Kết quả xét nghiệm di truyền của vợ chồng thai phụ không ghi nhận bất thường gene tương tự. Do đó, thai nhi bị lặp đoạn q21.11- q22.1 nhánh dài nhiễm sắc thể số 9 là do đột biến mới (denovo) xảy ra ngẫu nhiên trong quá trình thụ thai, khả năng tái phát ở thai kỳ sau thấp, theo bác sĩ Nghi.
Vợ chồng thai phụ được tư vấn tình trạng thai tiên lượng nặng, diễn tiến thai kỳ theo nguyện vọng của gia đình. Sau khi cân nhắc kỹ, anh chị quyết định ngừng thai.

Lặp đoạn nhiễm sắc thể số 9 có thể dẫn tới các biểu hiện đa dạng, từ không có triệu chứng rõ ràng đến các vấn đề sức khỏe nghiêm trọng. Mức độ nặng hay nhẹ của bệnh tùy thuộc vào kích thước, vị trí đoạn lặp, các gene bị ảnh hưởng, bất thường đi kèm và các yếu tố nguy cơ khác.
Bệnh có nhiều biểu hiện khác nhau bao gồm bất thường khuôn mặt, chậm phát triển trong tử cung, sinh non, chậm phát triển toàn diện, trật khớp háng, giọng mũi, lỏng khớp, mũi, mắt trũng sâu, chậm phát triển ngôn ngữ, viền môi dưới lật ra ngoài, cong ngón tay, dáng đi bất thường, giảm sắc tố da, giảm trương lực cơ, thiểu năng trí tuệ, sụp mi, ngắn ngón tay số 5, rối loạn học tập đặc hiệu, u máu mao mạch, tinh hoàn ẩn, khó ăn lúc nhỏ, đầu nhỏ và tầm vóc ngắn cân đối…
Hiện không có phương pháp điều trị hoàn toàn tình trạng lặp đoạn nhiễm sắc thể số 9. Trẻ cần được thăm khám đa chuyên khoa để xác định tất cả vấn đề sức khỏe có thể gặp phải. Các biện pháp chủ yếu gồm quản lý triệu chứng, hỗ trợ phát triển tâm thần vận động, cải thiện chất lượng cuộc sống của trẻ theo hướng cá nhân hóa.
Bác sĩ khuyến nghị tất cả phụ nữ mang thai nên sàng lọc dị tật thai nhi và các bệnh di truyền trước sinh. Thai phụ cần tuân thủ các mốc khám thai, nhất là quý một (11-13 tuần 6 ngày). Đây là thời điểm lý tưởng để siêu âm độ mờ da gáy kết hợp xét nghiệm máu double test hoặc xét nghiệm trước sinh không xâm lấn NIPT nhằm sàng lọc bất thường nhiễm sắc thể ở thai nhi. Nếu nghi ngờ thai nhi bất thường nhiễm sắc thể, bác sĩ chỉ định sinh thiết gai nhau hoặc chọc ối để chẩn đoán chính xác nguyên nhân.
Khi phát hiện sớm bất thường thai, tùy trường hợp cụ thể, bác sĩ có thể can thiệp, sửa chữa một số dị tật ngay trong bào thai, có chế độ chăm sóc, theo dõi trong thai kỳ và hướng điều trị sau sinh. Đối với những bệnh lý di truyền có thể lặp lại ở thai kỳ sau, bác sĩ sẽ có kế hoạch dự phòng nhằm mang lại những đứa con khỏe mạnh cho thai phụ và gia đình trong những thai kỳ tiếp theo.
HỆ THỐNG BỆNH VIỆN ĐA KHOA TÂM ANH