Ông Phong (53 tuổi, Hà Nội) cảm thấy đau tức ngực suốt hơn 1 năm không xác định rõ nguyên nhân, nhập viện do tràn dịch màng phổi, bác sĩ phát hiện màng phổi có nhiều nốt sần dày đặc do ung thư di căn.

Ông Phong (53 tuổi, Hà Nội) cảm thấy đau tức ngực suốt hơn 1 năm không xác định rõ nguyên nhân, nhập viện do tràn dịch màng phổi, bác sĩ phát hiện màng phổi có nhiều nốt sần dày đặc do ung thư di căn.
Ông Phong bắt đầu cảm thấy đau tức ngực từ hơn một năm trước. Ban đầu, cho rằng do lớn tuổi, sức khỏe yếu dần nên ông không chủ động đi khám. Nhưng triệu chứng đau tăng dần, cơn đau ngực trái lan ra sau lưng, cảm giác đau tăng lên khi nằm, ông đi khám cơ xương khớp ở một bệnh viện. Bác sĩ kết luận viêm khớp nhiều vị trí, sử dụng thuốc theo chỉ định nhưng cảm giác đau ngực vẫn còn. Ông Phong tìm tới nhiều bệnh viện lớn và được chẩn đoán viêm màng phổi, điều trị kháng sinh không hiệu quả.
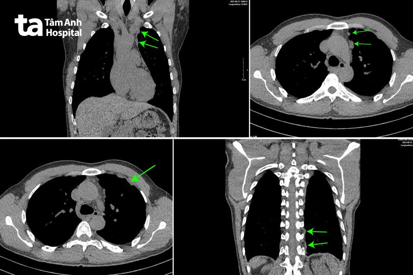
Bác sĩ Bệnh viện Đa khoa Tâm Anh Hà Nội đánh giá tình trạng bệnh lý phức tạp của ông Phong, đau ngực kéo dài hơn một năm, không xác định rõ nguyên nhân và quyết định hội chẩn đa khoa hô hấp, ung bướu, giải phẫu bệnh và ngoại lồng ngực. Người bệnh được chỉ định thực hiện chụp CT phổi liều thấp để tầm soát ung thư phổi. Kết quả cho thấy thể tích 2 phổi bình thường, không nhìn thấy tổ chức tổn thương nhưng màng phổi bên trái xuất hiện nhiều nốt sần theo mảng, nghi ngờ ung thư.

Để xác định chính xác tình trạng bệnh, ông Phong tiếp tục được chỉ định sinh thiết dịch và các nốt sần màng phổi bằng phương pháp nội soi ngoại khoa. Bác sĩ quan sát thấy khoang màng phổi có dịch màu hồng; bề mặt màng phổi bên trái xuất hiện nhiều nốt sần thành mảng sần sùi như rặng san hô màu vàng và trắng đan xen, “bao vây” phổi trái; bề mặt lá phổi mịn nhưng niêm mạc thâm tím nhiều điểm. Kết quả giải phẫu bệnh khẳng định ông Phong mắc ung thư phổi di căn màng phổi.
PGS.TS.BS Chu Thị Hạnh, Trưởng khoa Hô hấp, Bệnh viện Đa khoa Tâm Anh Hà Nội, cho biết thông thường ung thư phổi gây ra triệu chứng như ho, khó thở, khàn giọng, ho máu, tổn thương tại nhu mô phổi… Nhưng ông Phong không xuất hiện các triệu chứng này. Phim chụp cắt lớp vi tính phổi biểu hiện nốt sần ở màng phổi, dày màng phổi nhưng hình ảnh trên phim chụp mờ nhạt, dễ bị bỏ qua khiến tình trạng đau ngực kéo dài hơn một năm không chẩn đoán được nguyên nhân dù ông Phong đã đi khám nhiều nơi. Hội chẩn đa chuyên khoa.
Sau khi có kết quả chẩn đoán, ông Phong được điều trị kết hợp nhiều phương pháp theo tình trạng bệnh, chăm sóc giảm nhẹ tại chuyên khoa Ung bướu, hiện sức khỏe ổn định.

Ung thư phổi là ung thư phổ biến nhất thế giới, đa phần nguyên nhân tới từ việc hút thuốc lá. Theo chia sẻ, ông Phong từng nghiện thuốc lá, nhưng đã bỏ thuốc lá gần 5 năm và trước đó chưa gặp vấn đề sức khỏe nào do hút thuốc. PGS Hạnh chia sẻ, cơ thể sẽ có những thay đổi tích cực về sức khỏe khi bỏ hút thuốc nhưng nguy cơ ung thư phổi không giảm. Người đã từng hút thuốc trong một thời gian dài nên tầm soát ung thư phổi định kỳ. Điều này giúp phát hiện ung thư phổi (nếu có) trong giai đoạn sớm, nhờ đó quá trình điều trị hiệu quả hơn.
Ngoài ra, một số nhóm có nguy cơ ung thư phổi cao nên sàng lọc sức khỏe bao gồm người tiếp xúc thường xuyên với chất gây ung thư, phơi nhiễm phóng xạ, tiền sử ung thư, gia đình có người bị ung thư phổi, tiền sử bệnh phổi như COPD (bệnh phổi tắc nghẽn mạn tính), xơ hóa phổi, điều trị thay thế hormone.
Chụp CT phổi liều thấp là phương pháp tầm soát ung thư phổi được nhiều chuyên gia y tế khuyến cáo bởi hiệu quả chẩn đoán tương đương chụp CT thông thường, lượng tia X chiếu vào cơ thể thấp hơn, chi phí thấp hơn cho người bệnh. Với những người có nguy cơ cao cần đến cơ sở y tế chuyên sâu để được thăm khám và tầm soát sớm.
HỆ THỐNG BỆNH VIỆN ĐA KHOA TÂM ANH