Bà Vũ Thị Liên, 56 tuổi, đau tức ngực, ho lâu không khỏi, đi khám phát hiện ung thư phổi giai đoạn muộn, khối u lan rộng hai bên phổi, di căn gan, dù chưa từng hút thuốc lá.

Bà Liên cho biết gia đình không có ai mắc ung thư phổi, bản thân bà không hút thuốc nhưng chồng nghiện thuốc lá nặng. Mỗi ngày người chồng hút 1-2 bao thuốc, thường xuyên hút trong nhà dù bà và con cháu nhắc nhở nhiều lần.
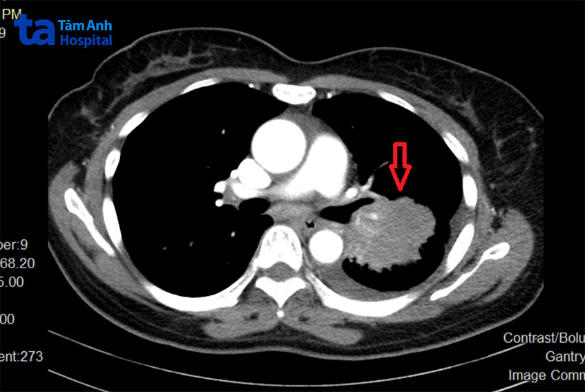
TS.BS Vũ Hữu Khiêm, Trưởng khoa Ung bướu BVĐK Tâm Anh Hà Nội cho biết trên phim chụp cắt lớp vi tính của bà Liên phát hiện nhiều khối u rải rác hai bên phổi, u lớn nhất đường kính 51 x 49 x 35 mm. Bác sĩ sinh thiết khối u, kết quả cho thấy đây là ung thư biểu mô tuyến có đột biến gen EGFR L585R exon 21.
Người bệnh ung thư phổi ở giai đoạn muộn, khối u di căn sang phổi đối bên và gan. Bệnh nhân sau đó được điều trị thuốc đích EGFR TKI. Hiện tại, sức khỏe của bà Liên ổn định, đi lại, ăn uống, sinh hoạt tốt.

Tương tự, chị Trần Thị Nữ, phát hiện ung thư phổi ở tuổi 37 dù không hút thuốc lá, chồng và bố chồng thường xuyên hút thuốc lá, thuốc lào. May mắn chị phát hiện ở giai đoạn sớm (IIA), được bác sĩ phẫu thuật cắt bỏ thùy phổi bên có khối u, kết hợp điều trị hóa chất để loại bỏ các tế bào ung thư còn sót lại sau phẫu thuật, làm giảm tỉ lệ tái phát và di căn.
TS Khiêm cho biết BVĐK Tâm Anh Hà Nội gần đây tiếp nhận nhiều trường hợp ung thư phổi không hút thuốc, chủ yếu là nữ. Đa số bệnh nhân thường xuyên tiếp xúc với khói thuốc lá tại nhà hoặc nơi làm việc. Chính vì tâm lý chưa bao giờ hút thuốc nên người bệnh có phần chủ quan, khi có triệu chứng thường ít nghĩ tới ung thư phổi để tầm soát, dẫn đến phát hiện ở giai đoạn muộn.
Theo TS Khiêm, nhiều nghiên cứu trên thế giới cho thấy tỷ lệ ung thư phổi ở người không hút thuốc đang gia tăng. Nghiên cứu của Thụy Điển trên 2170 bệnh nhân ung thư phổi từ năm 2008 đến 2017 cho thấy tần suất người không bao giờ hút thuốc hàng năm tăng hơn gấp đôi trong 7 năm, phần lớn có triệu chứng không rõ ràng và phát hiện tình cờ. Nghiên cứu khác của Mỹ trên hơn 10.500 bệnh nhân ung thư phổi trong 23 năm cũng cho thấy tỷ lệ người mắc ung thư phổi chưa từng hút thuốc ngày càng tăng qua từng năm.
Theo TS Khiêm, ung thư phổi ở người không hút thuốc chủ yếu xảy ra ở nữ giới, đa phần là ung thư phổi không tế bào nhỏ. Trong đó, 15–35% trường hợp là do tiếp xúc với khói thuốc thụ động. Nguy cơ mắc bệnh cũng tăng lên đối với những người không hút thuốc nhưng có vợ hoặc chồng hút thuốc.
Trong một phân tích tổng hợp trên 55 nghiên cứu, người ta phát hiện ra rằng những phụ nữ kết hôn với người hút thuốc có nguy cơ mắc bệnh ung thư phổi tăng 27%. Ngoài khói thuốc lá, một số yếu tố nguy cơ gây phát triển ung thư phổi ở người không hút thuốc gồm tuổi tác, yếu tố di truyền, khói nấu ăn, ô nhiễm môi trường, bệnh phổi tiềm ẩn, virus gây ung thư…
TS Khiêm cho biết sử dụng hoặc hít khói thuốc lá điện tử thường xuyên cũng tăng nguy cơ ung thư phổi. Khói của thuốc lá điện tử chứa rất nhiều chất hóa học như formaldehyde, benzene và nitrosamines, acetaldehyde và các chất gây ung thư khác có hại cho người hít phải.

TS Khiêm khuyến cáo mọi người không sử dụng thuốc lá điếu, thuốc lá điện tử, thuốc lào. Người hút thuốc không hút trong nhà hoặc khi ở gần trẻ nhỏ, phụ nữ, người cao tuổi. Các chất độc trong khói thuốc lá bám rất lâu trên tường, nội thất, quần áo, do đó các gia đình có người hút thuốc lá nên thường xuyên mở cửa để lưu thông không khí, giặt chăn, ga, gối, rèm cửa, thảm để loại bỏ mùi khói thuốc. Khi một người trong nhà mắc ung thư phổi liên quan đến thuốc lá, những người sống cùng cũng nên tầm soát ung thư phổi.
TS Khiêm cho biết người hút thuốc lá lâu năm hoặc thường xuyên tiếp xúc với khói thuốc nên tầm soát ung thư phổi bằng chụp cắt lớp vi tính (CT) liều thấp. Phương pháp này sử dụng liều tia X rất nhỏ, gần bằng một vài lần chụp X-quang, nhưng có thể phát hiện được các tổn thương giai đoạn sớm kích thước < 1cm mà X-quang không ghi nhận được.
Theo thống kê của Globocan 2022, ung thư phổi có số ca mắc mới và tử vong cao nhất trong tất cả các bệnh ung thư. Hút thuốc lá là nguyên nhân chính dẫn đến ung thư phổi, nhưng có 10-20% người bệnh ung thư phổi chưa bao giờ hút thuốc. Giai đoạn sớm bệnh hầu như không có triệu chứng hoặc triệu chứng mơ hồ dễ nhầm lẫn với các bệnh thông thường khác. Khi bệnh muộn, các triệu chứng thường gặp gồm ho kéo dài, nặng lên theo thời gian, ho ra máu, đau ngực, khó thở, sụt cân, mệt mỏi, khó nuốt…
“Việc khám sức khỏe định kỳ và đánh giá nguy cơ giúp phát hiện ung thư phổi giai đoạn sớm, tăng cơ hội điều trị khỏi bệnh, ít biến chứng với chi phí tối thiểu”, TS Khiêm nhấn mạnh. Khoa Ung bướu BV Tâm Anh đã xây dựng chương trình Tầm soát – Nhắc hẹn giúp phân loại nguy cơ, tầm soát, nhắc hẹn định kỳ nhằm phát hiện sớm, tiêu diệt u từ “trứng nước”.
Livestream: K PHỔI – PHÁT HIỆN RẤT SỚM ĐỂ ĐIỀU TRỊ HIỆU QUẢ lúc 20h ngày 23/4 do BVĐK Tâm Anh phối hợp với Đài truyền hình Việt Nam tổ chức, sẽ cung cấp nhiều kiến thức hữu ích về tầm soát và điều trị K phổi.Các chuyên gia đầu ngành về K phổi trực tiếp tư vấn gồm:
Chương trình phát sóng trực tiếp trên Báo điện tử thanhnien.vn, vnexpress.vn, website tamanhhospital.vn và vnvc.vn. Livestream trên ứng dụng VTVgo, THVLi và các fanpage: VTV24 – Trung tâm tin tức, VTV8 – Đài Truyền hình Việt Nam, Truyền hình Vĩnh Long, Báo điện tử VnExpress.net, Báo Thanh niên, Bệnh viện Đa khoa Tâm Anh, VNVC – Trung tâm tiêm chủng cho Trẻ em và Người lớn, Chẩn đoán Hình ảnh & Điện quang can thiệp Tâm Anh, Ung bướu Tâm Anh, Hô hấp Tâm Anh; kênh Youtube Bệnh viện Đa Khoa Tâm Anh, Youtube VNVC, Youtube Báo Thanh Niên, youtube Truyền hình Vĩnh Long.
Quý khách gửi câu hỏi cho chuyên gia tại đây.
HỆ THỐNG BỆNH VIỆN ĐA KHOA TÂM ANH