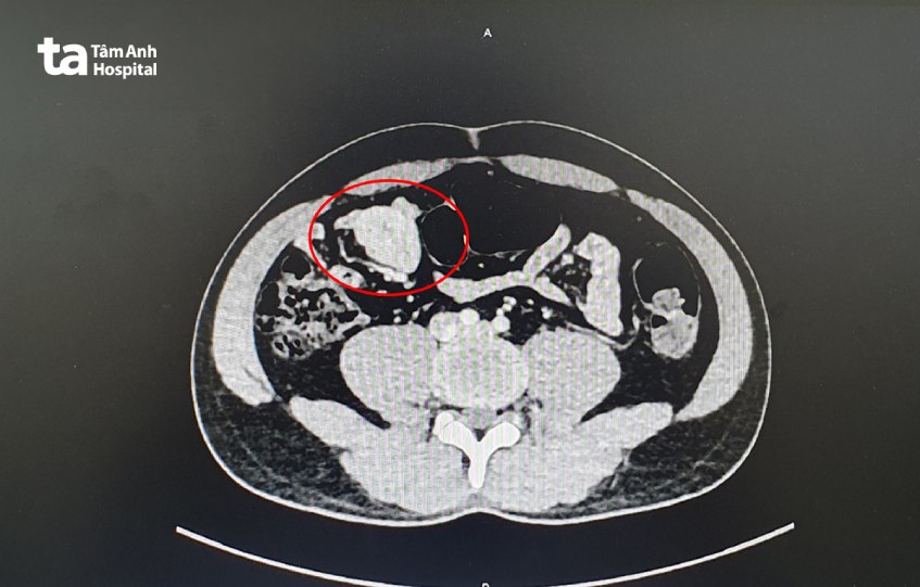
Anh Thanh, 31 tuổi, đau nhiều vùng sinh dục, đến bệnh viện khám nam khoa, chụp CT phát hiện khối u mạc treo ruột non kích thước 3 cm, cần phẫu thuật điều trị.

Người bệnh ngụ Cần Thơ, đến Bệnh viện Đa khoa Tâm Anh TP HCM khám nam khoa do đau vùng sinh dục. Bác sĩ chỉ định chụp CT scan, kết quả cho thấy khối u kích thước lớn nằm ở mạc treo ruột non. Tuy nhiên, người bệnh không cảm thấy đau bụng, buồn nôn, không sốt, tiêu tiểu bình thường.
Thạc sĩ, Bác sĩ CKII Trần Hiếu Nhân, Trung tâm Nội soi và Phẫu thuật Nội soi Tiêu hóa, tư vấn người bệnh phẫu thuật nội soi lấy u, phòng trường hợp khối u có thể tăng kích thước dẫn đến biến chứng nguy hiểm chèn ép lên các tạng xung quanh, không loại trừ khả năng ung thư.
Sau 30 phút phẫu thuật, bác sĩ loại bỏ toàn bộ khối u kích thước 3 cm, không làm tổn thương mạch máu ruột. Người bệnh hồi phục nhanh, xuất viện sau hai ngày. Kết quả giải phẫu cho thấy anh Thanh mắc bệnh Castleman, tức tăng sản nang lympho – mạch máu và tăng sản hạch bạch huyết khổng lồ lành tính. Đây là một dạng rối loạn liên quan đến sự sinh sản quá mức của các tế bào trong hạch bạch huyết, có thể gặp ở bất cứ vùng hạch nào. Người bệnh cần tái khám định kỳ, siêu âm mỗi 6 tháng một lần.

Bác sĩ Hiếu Nhân cho biết Castleman là bệnh lành tính, ít gặp, xảy ra ở nhiều độ tuổi, nhất là ở trẻ em và phụ nữ. Việc chẩn đoán bệnh này thường gặp nhiều khó khăn, vì biểu hiện đặc thù đa dạng dễ nhầm lẫn với các bệnh lý khác. Bệnh phát triển âm thầm, được phát hiện tình cờ khi sờ hoặc xét nghiệm cận lâm sàng lúc khám sức khỏe.
Các triệu chứng thường không rõ ràng như đau bụng, rối loạn tiêu hóa, cơn đau lan lên vai và cột sống (u lành tính), chán ăn, mệt mỏi, thiếu máu (u ác tính). Trong nhiều trường hợp, để xác định bệnh chính xác cần phải giải phẫu mô bệnh học.
Nếu không được phát hiện và xử lý kịp thời, khối u ở mạc treo lớn dần. Trường hợp ác tính u sẽ di căn, còn lành tính thì khối u xâm lấn các mạch máu, chèn ép các tạng lân cận, gây xoắn ruột, tắc ruột, nhồi máu mạc treo dẫn đến hoại tử ruột. Khi đó, việc điều trị khó khăn, phức tạp hơn, có thể phải cắt bỏ đoạn ruột của người bệnh.

Nguyên nhân gây u mạc treo ruột vẫn chưa xác định. Một số yếu tố nguy cơ như gene, tích tụ độc tố trong thời gian mang thai, trẻ nhạy cảm với thuốc men, thực phẩm.
Bệnh có thể phòng bệnh bằng cách áp dụng chế độ ăn uống lành mạnh, khoa học, uống thuốc theo chỉ định trong thời gian mang thai. Khám sức khỏe định kỳ và làm các xét nghiệm cận lâm sàng theo khuyến cáo của bác sĩ.
(*) Tên bệnh nhân đã được thay đổi
HỆ THỐNG BỆNH VIỆN ĐA KHOA TÂM ANH