Chị Mai, 28 tuổi, đau nhói nửa đầu bên trái đến bệnh viện khám, bác sĩ phát hiện chị đang bị đột quỵ thể huyết khối tĩnh mạch nội sọ.

Ba ngày trước nhập viện, chị Mai xuất hiện cơn đau đầu dữ dội vùng thái dương – đỉnh bên trái. Nghĩ do căng thẳng công việc, chị tự mua thuốc giảm đau uống và thấy dịu bớt. Tuy nhiên, những ngày sau cơn đau tăng dần về cường độ, kéo dài liên tục, uống thuốc không còn hiệu quả, kèm cảm giác buồn nôn nhẹ. Lo lắng, chị đến Bệnh viện Đa khoa Tâm Anh TP HCM khám.
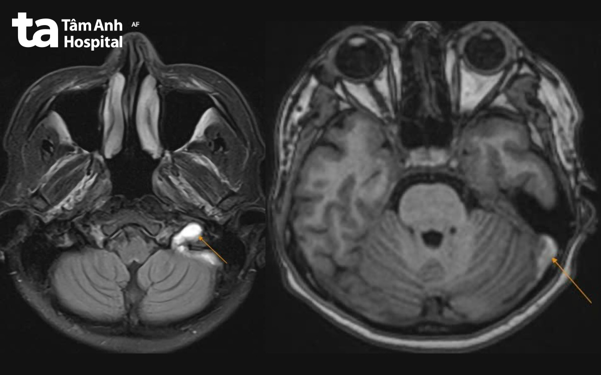
BS.CKI Cao Hoàng Trọng, Khoa Thần kinh, Trung tâm Khoa học Thần kinh, cho biết tại thời điểm thăm khám, chị Mai tỉnh táo, không nói đớ, không yếu liệt tay chân, không sốt, không co giật. Tuy nhiên, nhận thấy tính chất đau đầu bất thường, tăng dần và kém đáp ứng với thuốc giảm đau, bác sĩ chỉ định chụp MRI 3 Tesla khảo sát mạch máu não.
Kết quả cho thấy có cục máu khối hình thành ở tĩnh mạch cảnh trong bên trái, gần như làm tắc nghẽn dòng máu tại đoạn hành. Huyết khối đang ở giai đoạn bán cấp và đã lan lên xoang sigma, một phần xoang ngang bên trái. yKhai thác tiền sử, chị Mai cho biết đã sử dụng thuốc tránh thai hằng ngày trong khoảng một năm.

“Trường hợp này người bệnh đang bị đột quỵ nhưng không biết”, bác sĩ Trọng nói, thêm rằng huyết khối tĩnh mạch nội sọ là tình trạng cục máu đông hình thành trong hệ thống tĩnh mạch dẫn lưu máu từ não về tim. Khác với đột quỵ do tắc động mạch (thiếu máu não cấp), thể bệnh này gây cản trở dòng máu tĩnh mạch thoát ra khỏi não.
Đột quỵ do huyết khối tĩnh mạch nội sọ thường bị nhầm với đau đầu thông thường vì triệu chứng ban đầu nghèo nàn, đôi khi chỉ biểu hiện đau đầu đơn thuần. Tuy nhiên, khi tĩnh mạch bị tắc, máu không thoát được sẽ ứ trệ trong nhu mô não, làm tăng áp lực nội sọ. Áp lực này khiến thành mạch bị giãn, rò rỉ hoặc vỡ, gây đột quỵ xuất huyết não thứ phát. Đồng thời, tình trạng ứ máu kéo dài làm giảm tưới máu mô não xung quanh, gây tổn thương tế bào thần kinh.
Theo bác sĩ Trọng, nếu người bệnh không đến viện sớm, huyết khối có thể lan rộng, làm phù não tiến triển, co giật, rối loạn ý thức, hôn mê. Khi đã xuất hiện xuất huyết não diện rộng, tiên lượng nặng nề hơn, thời gian điều trị kéo dài và nguy cơ để lại di chứng cao.
Về mối liên quan thuốc tránh thai, bác sĩ Trọng giải thích thuốc tránh thai đường uống chứa estrogen có thể làm tăng xu hướng đông máu do kích thích gan sản xuất nhiều yếu tố đông máu và làm giảm một phần cơ chế chống đông tự nhiên. Ở phụ nữ có sẵn yếu tố nguy cơ như béo phì, hút thuốc lá hoặc rối loạn đông máu tiềm ẩn, sự thay đổi này có thể thúc đẩy hình thành cục máu đông trong hệ tĩnh mạch, kể cả tĩnh mạch não.
Chị Mai được nhập viện điều trị kháng đông theo phác đồ, kết hợp theo dõi sát dấu hiệu thần kinh và kiểm soát áp lực nội sọ. Sau 3 ngày, cơn đau đầu giảm dần, không xuất hiện thêm biến chứng. Người bệnh tiếp tục được theo dõi và dùng thuốc dài hạn nhằm tái thông dòng chảy tĩnh mạch, ngăn ngừa tái phát.

Theo bác sĩ Trọng, đau đầu do huyết khối tĩnh mạch nội sọ thường có đặc điểm đau tăng dần theo ngày, liên tục, ít đáp ứng thuốc giảm đau thông thường. Một số trường hợp kèm buồn nôn, nhìn mờ, co giật hoặc yếu liệt chi. Trong khi đó, đau đầu do căng thẳng hoặc migraine thường xuất hiện theo từng cơn, thường có tiền triệu, đáp ứng phần nào với thuốc đặc hiệu.
Bác sĩ khuyến cáo phụ nữ sử dụng thuốc tránh thai đường uống kéo dài cần được tư vấn nguy cơ hình thành huyết khối, đặc biệt nếu có thêm rối loạn đông máu, tiền sử gia đình có bệnh lý huyết khối. Khi xuất hiện đau đầu dữ dội bất thường, tăng dần hoặc khác với những cơn đau trước đây, người bệnh không nên chủ quan tự điều trị mà cần đến bệnh viện có chuyên khoa thần kinh để được thăm khám và chụp hình ảnh học sọ não giúp phát hiện sớm nguy cơ đột quỵ tiềm ẩn.
HỆ THỐNG BỆNH VIỆN ĐA KHOA TÂM ANH