Chị Tiền, 28 tuổi có tiền sử sảy thai, dự trữ buồng trứng (AMH) giảm, tưởng vô sinh nên đi khám, được bác sĩ tư vấn và hỗ trợ điều trị có con tự nhiên.

Năm 2020 chị kết hôn và mang thai nhưng bị sảy thai do chấn thương. Nỗi đau mất con khi còn trẻ khiến chị bị trầm cảm. Sau 2 năm điều trị, mong mãi không có tin vui, chị đến khám tại Bệnh viện Đa khoa Tâm Anh – Quận 8 vào đầu năm 2025.
Tại đây, ThS.BS Phan Hà Minh Hạnh, Trung tâm Hỗ trợ sinh sản IVF Tâm Anh cho biết chỉ số dự trữ buồng trứng của chị thấp, còn 0.9 ng/mL. Kết quả tinh dịch đồ của chồng chị, anh Chung (32 tuổi), cho thấy mật độ chỉ 6 triệu/ml, độ di động 20%, tỷ lệ sống 42%. Chẩn đoán chất lượng tinh trùng kém. Hai vợ chồng mong muốn được thực hiện thụ tinh trong ống nghiệm (IVF).
“Mật độ tinh trùng của người chồng thấp không có nghĩa là vô sinh. Tình trạng này khiến việc mang thai tự nhiên khó khăn hơn do xác suất tinh trùng khỏe mạnh tiếp cận trứng để thụ tinh thấp hơn”, bác sĩ Hạnh nói, thêm rằng chất lượng tinh trùng của anh Chung có thể được cải thiện để mang thai tự nhiên nếu thay đổi lối sống. Còn chị Tiền dù chỉ số dự trữ buồng trứng thấp nhưng vẫn có khả năng rụng trứng và thụ thai, ống dẫn trứng thông. Vì vậy vẫn có khả năng có thai tự nhiên nếu kiên trì.

Bác sĩ trữ đông 3 trứng của người vợ để dự phòng cho tương lai. Đồng thời kê đơn thuốc hỗ trợ điều trị, hướng dẫn vợ chồng chị Tiền xác định cụ thể chu kỳ kinh nguyệt và quan hệ vào những ngày dễ thụ thai nhất để tăng cơ hội thành công.
Chị Tiền cùng chồng điều chỉnh lối sống lành mạnh bao gồm chế độ dinh dưỡng nhiều rau xanh, các loại quả hạch, hạt và ngũ cốc nguyên cám. Bổ sung thêm vitamin D, Coenzyme Q10 và axit béo Omega-3 giúp cải thiện chất lượng trứng và tình trạng buồng trứng.
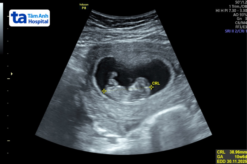
Bên cạnh đó, vợ chồng cần hoạt động thể thao và kiểm soát căng thẳng với những bài tập yoga, thiền định hoặc thả lỏng tâm trí giúp duy trì sự cân bằng hormone, giúp cải thiện khả năng sinh sản. Sau hơn 2 tháng điều trị cũng như tuân thủ theo hướng dẫn của bác sĩ, anh chị đã có thai tự nhiên. Hiện tại thai nhi được hơn 12 tuần, phát triển bình thường.

Theo thống kê, tại Việt Nam hiện có khoảng 2 triệu cặp vợ chồng vô sinh do nhiều nguyên nhân. Bác sĩ Hạnh khuyến cáo vợ chồng cần đi khám sớm nếu dưới 35 tuổi và đã cố gắng mang thai trong vòng một năm nhưng không có kết quả hoặc sau 6 tháng nếu trên 35 tuổi, có tiền sử sảy thai từ 2 lần trở lên, từng mắc các bệnh ở cơ quan sinh sản (như lạc hội chứng buồng trứng đa nang, lạc nội mạc tử cung…), mắc bệnh lây nhiễm qua đường tình dục.
Kèm theo đó là các dấu hiệu bất thường như chu kỳ kinh nguyệt không đều, đau vùng bụng dưới khi quan hệ, ra khí hư không rõ nguyên nhân…
Tại Hệ thống Bệnh viện Đa khoa Tâm Anh, bên cạnh điều trị các trường hợp vô sinh, các bác sĩ luôn nỗ lực để các cặp vợ chồng có thai tự nhiên để tránh được các can thiệp y tế xâm lấn và tốn kém hơn, đồng thời giảm gánh nặng tài chính.
“Trường hợp chị Tiền từng bị trầm cảm do mất con, việc mang thai tự nhiên giúp giảm bớt căng thẳng, lo âu liên quan đến các quy trình hỗ trợ sinh sản, cải thiện tâm lý”, bác sĩ Hạnh nói, thêm rằng việc tư vấn và hỗ trợ để bệnh nhân có thai tự nhiên thành công thường bao gồm tư vấn cải thiện lối sống, dinh dưỡng, và quản lý các bệnh lý nền.
HỆ THỐNG BỆNH VIỆN ĐA KHOA TÂM ANH