Cụ ông 80 tuổi mang trong mình khối u nặng 2,5kg, kích thước 30 x 20 cm được chỉ định mổ khẩn cấp lấy trọn khối u, chặn đứng nguy cơ di căn, thậm chí tử vong.

Trung tuần tháng 7, ông Nguyễn Minh Khang (80 tuổi – Đồng Nai) đến Bệnh viện Đa khoa Tâm Anh TP HCM với trình trạng đau âm ỉ vùng bụng trên, ăn uống kém, da dẻ xanh xao, sụt cân nhiều. Khai thác bệnh sử được biết, ngoài triệu chứng đau bụng, chán ăn khoảng 2 tháng nay, ông còn có bệnh tắc nghẽn phổi mãn tính và cao huyết áp.
Qua thăm khám, BS.CKII Nguyễn Quốc Thái (Trưởng khoa Ngoại Tiêu hóa – Trung tâm Nội soi và Phẫu thuật Nội soi Tiêu hóa) nhận thấy người bệnh mất máu nặng, chỉ số hemoglobin trong hồng cầu chỉ có 5.0g/dl (người bình thường phải 13 – 18g/dl). Bác sĩ yêu cầu người bệnh nhập viện.
Sau khi nhập viện, ông Khang được truyền 3 đơn vị hồng cầu (khoảng hơn 1 lít máu) để sức khỏe hồi phục. Tiếp đó, bác sĩ chỉ định người bệnh làm một số xét nghiệm để chẩn đoán chính xác tình trạng bệnh lý mà ông đang gặp phải.
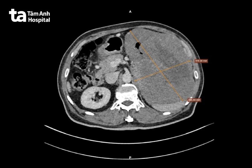
Kết quả nội soi cho thấy, người bệnh có khối u hơn 20 cm nằm ở vị trí phình vị dạ dày (phần cao nhất của dạ dày), đồng thời ghi nhận tình trạng hoại tử và xuất huyết bên trong. Kết quả chụp cắt lớp vi tính (CT) cũng cho thấy khối u xâm lấn vào gan và cơ hoành bên trái.

Với khối u lớn bất thường như vậy nếu để lâu sẽ nguy hiểm cho sức khỏe và tính mạng của người bệnh. Do vậy, các bác sĩ Trung tâm Nội soi và Phẫu thuật nội soi tiêu hóa đã hội chẩn và đưa ra quyết định mổ khẩn cấp lấy khối u cho ông Khang.
Tiến sĩ bác sĩ Đỗ Minh Hùng (Giám đốc Trung tâm Nội soi và Phẫu thuật nội soi tiêu hóa) cùng ê kíp đã tiến hành phẫu thuật nội soi thám sát đánh giá trước cho bệnh nhân. Tuy nhiên, trong khi phẫu thuật, bác sĩ Hùng nhận thấy khối u quá lớn, xâm lấn vào cơ hoành nghi ngờ u mô đệm đường tiêu hóa (một dạng ung thư), cần mổ mở để lấy trọn khối u. Theo bác sĩ, loại u này nếu vỡ khi mổ mở có thể lây lan tế bào ung thư ra ổ bụng, khiến bệnh tái phát nhanh. Nếu khối u vỡ gây mất nhiều máu, người bệnh có thể tử vong ngay trên bàn mổ.
Tuy nhiên, nhờ kinh nghiệm và sự phối hợp ăn ý của ê-kip mổ, cũng như sự hỗ trợ của máy móc hiện đại, khối u đã được cắt trọn cùng một phần cơ hoành, đảm bảo không làm tổn thương các cơ quan xung quanh, hạn chế tối đa tình trạng mất máu cho người bệnh. Một tuần sau hậu phẫu, sức khỏe ông Khang ổn định, có thể ăn uống, đi lại bình thường và xuất viện.
Bác sĩ Minh Hùng cho biết, đây là ca bệnh khá hiếm gặp với kích thước khối u quá lớn, bệnh nhân lớn tuổi, lại có nhiều bệnh nền nên quá trình phẫu thuật hết sức cẩn trọng. Bác sĩ phải sử dụng dao siêu âm để hạn chế lượng máu mất ít nhất.
Kết quả giải phẫu bệnh của ông Khang chính xác là u mô đệm đường tiêu hóa (hay còn gọi là GIST – viết tắt là Gastrointestinal Stromal Tumor), với kích thước lớn hiếm thấy 30 x 20 cm, trọng lượng gần 2,5kg. Sau khi mổ, bệnh nhân cần theo dõi sức khỏe kỹ càng vì u này dễ tái phát. Đặc biệt, cần kết hợp dùng hóa trị (liệu pháp nhắm trúng đích) để điều trị triệt căn.
Bác sĩ Minh Hùng chia sẻ thêm, u mô đệm đường tiêu hóa là bệnh lý hiếm gặp, bắt nguồn từ tế bào Cajal chỉ chiếm 3% trong các loại ung thư ở dạ dày, là ung thư của mô liên kết và xương. Khối u GIST có thể xuất hiện ở bất kỳ vị trí nào của ống tiêu hóa, chúng thường phân bố ở dạ dày là 60-70%, ở tá tràng và ruột non là 20-30%, đại trực tràng là 5%, thực quản và các bộ phận khác là dưới 5%.
Bệnh thường có triệu chứng mơ hồ, và khi có dấu hiệu thì thường ở giai đoạn trễ. GIST được nghi ngờ và phát hiện dựa trên các triệu chứng như thiếu máu, đau bụng, thậm chí có thể gặp khối u GIST hoại tử gây loét dẫn đến đi tiêu ra máu, nôn ra máu hoặc thiếu máu. Hiện nay, bệnh lý này vẫn chưa xác định rõ nguyên nhân, chỉ khoanh vùng ở một số yếu tố nguy cơ như: độ tuổi (từ 50 tuổi trở lên), di truyền, lối sống sinh hoạt (thường xuyên hút thuốc lá, uống nhiều bia rượu)…
Đặc biệt, GIST có khả năng tái phát, do vậy, sau khi điều trị, người bệnh cần thăm khám theo lịch hẹn của bác sĩ và thăm khám sức khỏe định kỳ. Với những người trên 40 tuổi nên tầm soát bệnh lý về đường tiêu hóa: nội soi đại tràng hàng năm giúp phát hiện bệnh ở giai đoạn sớm, việc điều trị sẽ dễ dàng, ít xâm lấn và hiệu quả hơn, bác sĩ Minh Hùng khuyến nghị.
* Tên bệnh nhân đã được thay đổi
HỆ THỐNG BỆNH VIỆN ĐA KHOA TÂM ANH