Chị Trinh, 44 tuổi, hoại tử xương, phải thay khớp háng nhưng ca mổ khó khăn do người bệnh mắc xơ gan, nhóm máu B Rh- siêu hiếm, béo phì 80 kg.

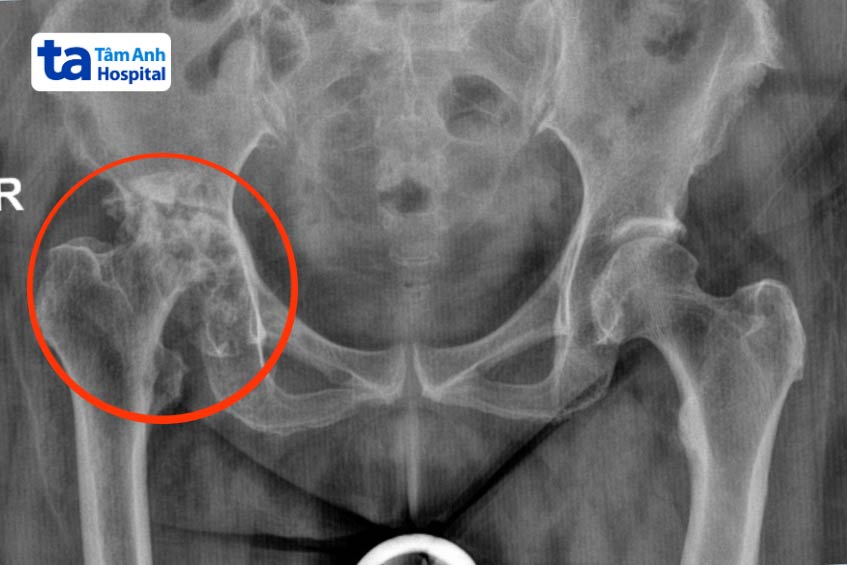
Chị Trinh bị hư hoại hoàn toàn chỏm xương đùi, chỉ còn lại cổ xương đùi. Trong quá trình sinh hoạt hàng ngày, cổ xương đùi không ngừng va chạm và khoét rộng ổ cối, gây mất xương ổ cối nghiêm trọng. Hơn hai năm gần đây, người bệnh không thể đi lại, phải ngồi xe lăn.

Ngày 1/8, ThS.BS.CKI Lê Đình Khoa, Trưởng khoa Tái tạo khớp, Trung tâm Chấn thương Chỉnh hình, nhận định đây là một trường hợp phức tạp và ít gặp vì người bệnh đồng thời mắc nhiều vấn đề sức khỏe nguy hiểm, trực tiếp chi phối kết quả và tính an toàn của ca phẫu thuật. “Bệnh viện Đa khoa Tâm Anh chưa từng tiếp nhận một ca nào tương tự”, bác sĩ Khoa cho biết.
Tình huống cần các bác sĩ và ê kíp phẫu thuật hội chẩn đa chuyên khoa gồm chấn thương chỉnh hình, nội cơ xương khớp, truyền máu huyết học, gây mê hồi sức,… nhằm đưa ra giải pháp điều trị hiệu quả, an toàn cao nhất cho người bệnh.
ThS.BS Nguyễn Thị Thùy Linh, khoa Nội cơ xương khớp, Trung tâm Chấn thương Chỉnh hình, Bệnh viện Đa khoa Tâm Anh TP HCM, cho biết chị Trinh bị xơ gan Wilson. Đây là bệnh di truyền ít gặp với tỷ lệ mắc là 1/30.000. Bệnh làm giảm mạnh lượng tiểu cầu trong máu, chỉ còn khoảng 60.000, trong khi một cuộc đại phẫu như thay khớp háng cần đến 150.000 tiểu cầu. Thiếu hụt tiểu cầu làm tăng nguy cơ xuất hiện tình trạng khó đông máu, có thể dẫn đến mất máu trong và sau mổ.
Chị Trinh còn có nhóm máu B Rh-. Đây là nhóm máu cực kỳ hiếm vì sở hữu cả hai yếu tố là nhóm máu B (nhóm máu hiếm thứ 2 trên thế giới) và nhóm máu Rh- (chiếm chưa đến 0,1% dân số Việt Nam).
Trung tâm Truyền máu Huyết học của Bệnh viện Đa khoa Tâm Anh TP HCM lên kế hoạch tìm kiếm nguồn cung cấp máu cho người bệnh. Đây là một nhiệm vụ khó khăn vì B Rh- là nhóm máu siêu hiếm. Kế hoạch phẫu thuật lần đầu tiên không thể thực hiện vì không tìm được nguồn cung cấp máu, chị Trinh phải xuất viện chờ đợi. Sau 15 ngày với nhiều nỗ lực tìm kiếm và giúp đỡ của Viện Huyết học – Truyền máu Trung ương, ê kíp đã chuẩn bị được 2 đơn vị tiểu cầu và 1 đơn vị hồng cầu lắng. Ca phẫu thuật lập tức được tiến hành ngay ngày hôm sau.
Bác sĩ Khoa cho biết, bệnh Wilson khiến cơ thể không giải phóng đồng vào mật như bình thường mà tích tụ lại trong gan, gây xơ gan. Tình trạng này buộc bác sĩ phải cân nhắc nhiều trong quá trình gây tê, gây mê. Người bệnh được gây tê tủy sống thay vì gây mê. Phương pháp vô cảm này giúp tránh nguy cơ não gan, một biến chứng nguy hiểm có thể dẫn đến hôn mê và tử vong. Việc sử dụng thuốc sau phẫu thuật cũng được lên kế hoạch chi tiết và cẩn thận.
Ngoài ra, chị Trinh còn béo phì nặng, cao 1,5m nhưng cân nặng 80 kg. Điều này gây khó khăn cho bác sĩ khi tiếp cận khớp háng, có thể làm chậm quá trình lành vết thương và giảm tuổi thọ của khớp nhân tạo.

Chị Trinh được chỉ định phẫu thuật thay khớp háng bằng kỹ thuật mổ không cắt cơ ABMS (Anterior Based Muscle Sparing). Bác sĩ vén cơ mông nhỡ, cơ căng mạc đùi và thực hiện thay khớp, giúp bảo tồn nguyên vẹn các cơ xung quanh khớp, hạn chế tối đa tổn thương mô mềm, ít mất máu nhất có thể. Kỹ thuật này giúp người bệnh tránh được nguy cơ trật khớp và tổn thương dây thần kinh, liệt.
Theo bác sĩ Khoa, khớp háng được cấu tạo từ hai thành phần chính là chỏm xương ở đùi có hình cầu và ổ cối ở xương chậu, lõm vào như cái chén, bao bọc chỏm xương đùi. Ở trường hợp bị nặng mất hoàn toàn ổ cối xương đùi như chị Trinh, nếu thay khớp theo các phương pháp thông thường, có thể phải cắt cơ và cần lấy xương từ vị trí khác để bù vào phần khoét hổng ở ổ cối. Điều này làm người bệnh đối mặt với nguy cơ mất máu và kéo dài thời gian phẫu thuật, gây tổn thương gan.
Phần khuyết hổng ở ổ cối quá lớn nhưng không thể lấy xương ở vị trí khác bù vào vì sẽ gây mất máu. Do đó, thông qua đo đạc và tính toán trên phần mềm TraumaCad, bác sĩ Khoa đã thay khớp háng nhân tạo kỹ thuật Jumbo Cup với đường mổ ABMS. Jumbo Cup là kỹ thuật thay loại khớp đặc biệt, có ổ cối to hơn so với ổ cối tự nhiên của người bệnh, bao phủ toàn bộ phần ổ cối đã mất xương. Vì vậy, không cần phải lấy xương từ các vị trí khác và góp phần cầm máu ở khớp háng. Ngoài ra, ổ cối to còn giúp tản lực tốt, người bệnh có thể sớm tập phục hồi chức năng và tăng tuổi thọ khớp nhân tạo.
Ca phẫu thuật diễn ra trong khoảng 1 giờ, các đơn vị tiểu cầu và hồng cầu được sử dụng toàn bộ. Ngày đầu tiên sau phẫu thuật, người bệnh cho biết đã giảm đau đáng kể, chỉ còn đau nhẹ tại vị trí vết mổ, bắt đầu đi lại và tập vật lý trị liệu. Dự kiến sau 1 tháng, người bệnh có thể đi lại bình thường, không cần dụng cụ hỗ trợ. Sau phẫu thuật, người bệnh tiếp tục được theo dõi, điều trị bệnh xơ gan và điều chỉnh chế độ ăn uống, sinh hoạt để kiểm soát tình trạng béo phì.

Bác sĩ Khoa cho biết, dù không phải là tình trạng khẩn cấp nhưng hoại tử chỏm xương đùi gây đau, giảm khả năng vận động và ảnh hưởng nhiều đến chất lượng cuộc sống. Vì vậy, người bệnh nên các đơn vị có chuyên khoa chấn thương chỉnh hình để điều trị sớm, nhất là những trường hợp có các tình trạng sức khỏe đặc biệt, nhiều bệnh lý đi kèm.
HỆ THỐNG BỆNH VIỆN ĐA KHOA TÂM ANH