TP HCM_Bé Thanh, 19 tháng tuổi, đang nghỉ dưỡng ở Vũng Tàu cùng gia đình đột nhiên đau bụng, đi tiêu có máu, bác sĩ phát hiện dị tật ruột đôi biến chứng xuất huyết.

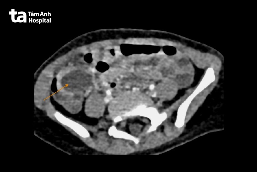
Ngày 29/4, BS.CKI Nguyễn Thanh Sơn Vũ, khoa Nhi, Bệnh viện Đa khoa Tâm Anh TP HCM, cho biết bé gái vào viện cấp cứu trong tình trạng da hơi xanh, sốt, mệt. Bụng bé ở góc hố chậu phải, tại ruột già có một nang kích thước 2x4cm.
“Đây là dị tật ruột đôi bẩm sinh ở đường tiêu hóa, còn gọi là nang ruột đôi, và phẫu thuật là phương pháp điều trị cần thiết để tránh biến chứng”, bác sĩ Vũ nói. Ê kíp mổ nội soi bóc u, khâu lại ruột. Sau mổ ba ngày, bé hồi phục, xuất viện.
Bác sĩ Vũ cho rằng bé Thanh may mắn đến viện sớm nên được xử trí kịp thời. Nếu phát hiện bệnh trễ, bé có thể bị biến chứng xoắn ruột, lồng ruột, xuất huyết tái phát, nguy cơ hóa ác tính.

Ruột đôi có thể xảy ra bất kỳ vị trí nào của đường tiêu hóa từ thực quản tới đại trực tràng, thường gặp nhất ở ruột. Những nang ruột đôi có cấu tạo bao gồm lớp biểu mô, cơ trơn, lớp cấu tạo giống đường ống tiêu hóa. Nang bẩm sinh, hình thành từ khi còn bào thai, có thể lớn dần theo thời gian.
Theo bác sĩ Vũ, đây là dị tật có tỷ lệ gặp 1/4.500 trẻ. Khoảng 25-30% trường hợp dị tật có thể phát hiện sớm khi khám thai định kỳ.
Bé Thanh khi còn là bào thai 22 tuần, siêu âm đã phát hiện mắc dị tật này. Tuy nhiên sau sinh, bé khỏe mạnh bình thường, gia đình không theo dõi thêm.
Dị tật ruột đôi bẩm sinh không gây triệu chứng nhưng âm thầm tăng kích thước. Lúc này trẻ thường có dấu hiệu đau bụng, tiêu chảy, táo bón hoặc có máu trong phân, chậm tăng cân, xuất huyết tiêu hóa.

Từ đầu 2024 đến nay, khoa Nhi, Bệnh viện Đa khoa Tâm Anh TP HCM thực hiện khoảng 30 ca mổ cấp cứu cho trẻ gặp sự cố sức khỏe khi khi du lịch như viêm ruột thừa, xoắn buồng trứng, xoắn tinh hoàn, thoát vị bẹn, lồng ruột, thủng dạ dày do virus HP…
Để bảo đảm sức khỏe trẻ, cha mẹ nên cho con khám tổng quát trước khi khởi hành. Gia đình đi du lịch dài ngày, ra nước ngoài… cần tìm hiểu thông tin bệnh viện gần nhất để đề phòng vấn đề bất lợi. Với trẻ mắc bệnh lý bẩm sinh chưa cần can thiệp, bác sĩ Vũ khuyến cáo phụ huynh cho bé khám định kỳ để đánh giá tình trạng sức khỏe, can thiệp sớm khi có dấu hiệu bất thường.
HỆ THỐNG BỆNH VIỆN ĐA KHOA TÂM ANH