Siêu âm là phương pháp thăm khám đầu tay giúp xác định dấu hiệu của lạc nội mạc tử cung thông qua việc phát hiện mô và u nang. Đây là một thủ thuật đơn giản, an toàn thường được chỉ định trong chẩn đoán lạc nội mạc tử cung. Cùng tìm hiểu rõ hơn về quy trình, rủi ro và những thông tin liên quan đến siêu âm lạc nội mạc tử cung qua bài viết.

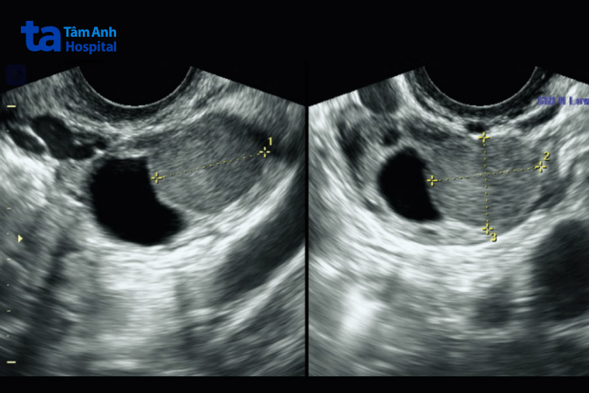
Siêu âm có phát thể hiện lạc nội mạc tử cung bằng việc cho thấy các khối mô lớn hoặc sẹo có khả năng là dấu hiệu của bệnh. Siêu âm có thể xác định bệnh lạc nội mạc tử cung ở buồng trứng nhưng không thể cho thấy các mảnh mô nhỏ (loại lạc nội mạc tử cung phổ biến). Cụ thể, hình ảnh lạc nội mạc tử cung trên siêu âm có thể cho thấy:

Siêu âm không thể hiển thị mô lạc nội mạc tử cung nhỏ và nằm trên bề mặt của một cơ quan (lạc nội mạc tử cung nông). Các tổn thương nhỏ hơn 5 mm. Đây là loại lạc nội mạc tử cung phổ biến nhất.
Vấn đề là ngay cả khi siêu âm cho thấy mô không thuộc về, vẫn không có cách nào để chắc chắn 100% đó là lạc nội mạc tử cung. Cách để xác định chắc chắn là cắt bỏ mô và xét nghiệm. Khi này cần phải phẫu thuật nội soi ổ bụng. Nhưng siêu âm có thể cho bác sĩ biết rằng bệnh nhân có khả năng bị lạc nội mạc tử cung, giúp việc lập kế hoạch phẫu thuật hiệu quả hơn.
Siêu âm lạc nội mạc tử cung bao gồm đánh giá kỹ lưỡng tử cung và buồng trứng bằng siêu âm độ phân giải cao và đầu dò ba chiều, cũng như các cơ quan vùng chậu khác như bàng quang, trực tràng, dây chằng tử cung và âm đạo. Với bệnh lạc nội mạc tử cung siêu âm sẽ thấy các mảnh mô tương tự như mô lót tử cung (nội mạc tử cung) có thể xuất hiện ở những nơi bên ngoài tử cung, như buồng trứng, bàng quang và ruột. Mô không đúng vị trí này có thể bị viêm, phát triển thành u nang hoặc khối u và gây ra các triệu chứng khó chịu, như đau bụng kinh.
Siêu âm lạc nội mạc tử cung thường là qua ngả âm đạo và kỹ thuật này sử dụng sóng âm để tạo hình ảnh bên trong cơ thể. Siêu âm không cung cấp đủ thông tin để chẩn đoán lạc nội mạc tử cung vì nó chỉ cho thấy các u nang hoặc khối u lớn hơn, không thấy các khối u nhỏ hơn. Nhưng nó cung cấp dữ liệu để bác sĩ có thể sử dụng để quyết định các bước tiếp theo khi đưa ra chẩn đoán. Siêu âm cũng có thể cung cấp thông tin để bác sĩ đề xuất phương pháp điều trị. (1)


Siêu âm lạc nội mạc tử cung có thể được bác sĩ chỉ định trong các trường hợp sau:
Trước khi tiến hành siêu âm lạc nội mạc tử cung bác sĩ sẽ cung cấp cho bệnh nhân các hướng dẫn cần thiết để chuẩn bị cho quá trình siêu âm diễn ra thuận lợi, hiệu quả. Bác sĩ có thể yêu cầu bệnh nhân thực hiện một số điều liên quan đến thủ thuật như để bàng quang rỗng hoặc bàng quang đầy…
Để quá trình siêu âm lạc nội mạc tử cung được tối ưu, hiệu quả bệnh nhân cần thực hiện theo các hướng dẫn từ bác sĩ chuyên khoa và xem xét cẩn thận tất cả danh sách kiểm tra trước thủ thuật.
Siêu âm lạc nội mạc tử cung cho phép bác sĩ nhìn vào bên trong khoang chậu của bệnh nhân, cung cấp góc nhìn cận cảnh các cơ quan bị ảnh hưởng nhiều nhất bởi lạc nội mạc tử cung, như buồng trứng, bàng quang và ruột. Thông thường, để chẩn đoán lạc nội mạc tử cung sẽ sử dụng phương pháp siêu âm qua ngã âm đạo theo quy trình sau:

Kết quả sau siêu âm có thể cho ra kết quả bình thường hoặc có vấn đề. Khi có vấn đề siêu âm có thể cho thấy các dấu hiệu của bệnh lạc nội mạc tử cung (như sẹo) hoặc cho thấy u lạc nội mạc tử cung hoặc khối u ruột.
Tùy thuộc vào kết quả sau siêu âm lạc nội mạc tử cung, bác sĩ có thể đề xuất các thủ thuật tiếp theo, như chụp cộng hưởng từ (MRI) hoặc nội soi ổ bụng, để xác định rõ hơn khối u xuất hiện trong quá trình siêu âm của bệnh nhân.
Khi đã xác định chính xác tình trạng lạc nội mạc tử cung, bác sĩ có thể đề nghị bệnh nhân bắt đầu điều trị các triệu chứng của bệnh lạc nội mạc tử cung.
Siêu âm không bao giờ có thể loại trừ hoàn toàn bệnh lạc nội mạc tử cung vì loại lạc nội mạc tử cung nông không thể chẩn đoán được bằng siêu âm. Nếu mô nội mạc tử cung của bệnh nhân nhỏ và xuất hiện trên bề mặt các cơ quan thay vì bên trong chúng, siêu âm sẽ không phát hiện ra. Khi này hình ảnh lạc nội mạc tử cung trên siêu âm là bình thường, ngay cả khi bệnh nhân có thể bị lạc nội mạc tử cung.
Khi siêu âm lạc nội mạc tử cung, đặc biệt là siêu âm qua ngả âm đạo, bệnh nhân có thể cảm thấy hơi khó chịu. Thông thường, đây không phải là một thủ thuật gây đau đớn, nhưng có thể gây đau do vị trí và bản chất của lạc nội mạc tử cung.
Siêu âm có thể gây khó chịu khi bệnh nhân bị lạc nội mạc tử cung nhưng siêu âm là phương pháp an toàn. Hãy cho bác sĩ chăm sóc sức khỏe của bạn biết nếu bạn cảm thấy đau trong quá trình siêu âm. Hãy cho bác sĩ biết nếu cảm thấy đau trong quá trình siêu âm.

Siêu âm có thể cho thấy các cục mô lớn hoặc sẹo có khả năng là dấu hiệu của lạc nội mạc tử cung. Siêu âm rất tốt trong việc xác định lạc nội mạc tử cung ở buồng trứng của bệnh nhân. Nhưng siêu âm không thể cho thấy các mảnh mô nhỏ là loại lạc nội mạc tử cung phổ biến nhất.
Sau khi siêu âm vùng chậu, bệnh nhân có thể sẽ cần thực hiện thêm các xét nghiệm khác để xác nhận chẩn đoán lạc nội mạc tử cung. Bác sĩ có thể tiến hành chụp MRI để tạo ra hình ảnh có thể giúp nhìn thấy toàn bộ mức độ lạc nội mạc tử cung và xác định xem có cần phẫu thuật để cắt bỏ mô hay không. Bác sĩ cũng có thể chỉ định bệnh nhân nội soi ổ bụng để quan sát trực tiếp mô trong hệ thống sinh sản. Nội soi ổ bụng là phương pháp phổ biến để chẩn đoán lạc nội mạc tử cung và đóng vai trò quan trọng trong việc xác định chẩn đoán.
Bệnh lạc nội mạc tử cung là một bệnh toàn thân mãn tính có thể gây đau, vô sinh nữ và giảm chất lượng cuộc sống. Do đó, bệnh cần được chẩn đoán sớm để kịp thời có phương pháp điều trị phù hợp, hạn chế những rủi ro, biến chứng. Ngoài ra, việc lựa chọn địa chỉ thăm khám uy tín cũng có vai trò quan trọng trong việc xác định chính xác tình trạng bệnh. Bởi để đảm bảo tính chính xác cao, chẩn đoán lạc nội mạc tử cung không chỉ dựa trên kết quả siêu âm mà còn cần kết hợp với các phương pháp xét nghiệm khác.
BVĐK Tâm Anh là địa chỉ uy tín hội tụ những chuyên gia, đội ngũ y bác sĩ được đào tạo chuyên sâu về lĩnh vực sản khoa/phụ khoa và có kiến thức tối ưu về bệnh lạc nội mạc tử cung. Ngoài ra, bệnh viện luôn chú trọng đầu tư những trang thiết bị hiện đại, không ngừng cập nhật những kĩ thuật, phương pháp điều trị bệnh tiên tiến nhất hiện nay giúp tối ưu quá trình thăm khám, nâng cao hiệu quả điều trị với phác đồ cá nhân hóa.
Nếu có nhu cầu thăm khám siêu âm lạc nội mạc tử cung hoặc gặp phải các vấn đề liên quan cần được tư vấn, điều trị có thể liên hệ đến BVĐK Tâm Anh theo phương thức:
HỆ THỐNG BỆNH VIỆN ĐA KHOA TÂM ANH
Bên trên là những thông tin về phương pháp siêu âm trong chẩn đoán lạc nội mạc tử cung và rủi ro có thể gặp phải trong quá trình thực hiện. Hy vọng, qua những thông tin này sẽ giúp bạn hiểu rõ hơn về phương pháp siêu âm lạc nội mạc tử cung, ý thức được tầm quan trọng của việc thăm khám sớm để đạt được hiệu quả điều trị tối ưu khi bị lạc nội mạc tử cung, tránh những biến chứng gây ảnh hưởng đến khả năng sinh sản.