Bà Mỹ, 57 tuổi, cấp cứu do đau bụng dữ dội, mệt mỏi, suy kiệt; phát hiện xương cá đâm xuyên thành dạ dày, được phẫu thuật lấy dị vật.

Bà Mỹ (ngụ An Giang) nhập cấp cứu Bệnh viện Đa khoa Tâm Anh trong tình trạng mệt mỏi, suy kiệt sau hai ngày đau bụng âm ỉ vùng thượng vị, sốt nhẹ và nôn ói liên tục. Đáng chú ý, người bệnh không hề biết mình đã nuốt phải xương cá trước đó trong bữa ăn.
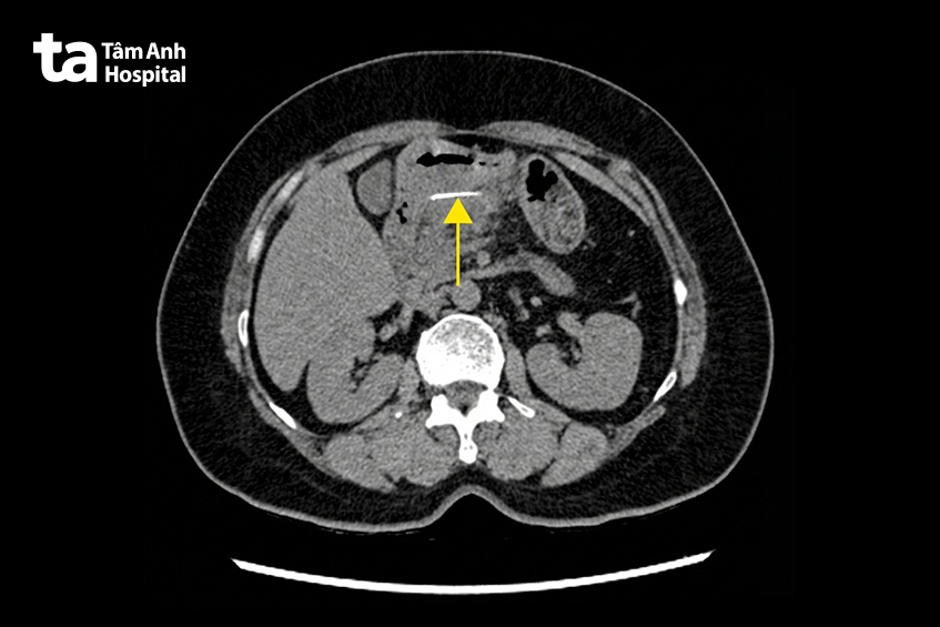
Tại bệnh viện, các bác sĩ chỉ định chụp CT đa lát cắt (1975 lát cắt). Kết quả ghi nhận một dị vật dạng đường dài khoảng 3 cm, mảnh, nằm ở hậu cung mạc nối, sát thành môn vị dạ dày tạo thành khối áp xe.

Thạc sĩ bác sĩ Võ Nhật Trường – Trung tâm Nội soi và Phẫu thuật Nội soi Tiêu hóa, Bệnh viện Đa khoa Tâm Anh TP HCM, cho biết dị vật đã đâm xuyên toàn bộ thành dạ dày, tạo thành khối viêm nhiễm áp xe ở hậu cung mạc nối. Đây là nguyên nhân khiến bệnh nhân đau bụng dữ dội, nôn ói, không ăn uống được.
Dị vật không còn nằm trong lòng dạ dày nên không thể lấy qua nội soi như thông thường. Người bệnh bắt buộc phải phẫu thuật nội soi ổ bụng để bóc tách khối áp xe, lấy dị vật ra ngoài và làm sạch ổ nhiễm trùng, tránh nguy cơ biến chứng nặng thêm.
Nếu không được xử trí sớm, khối áp xe có thể vỡ, mủ và vi khuẩn tràn vào ổ bụng gây viêm phúc mạc toàn thể, dẫn đến sốc nhiễm khuẩn, suy đa cơ quan và nguy hiểm đến tính mạng. Ngoài ra, dị vật đã xuyên thành dạ dày còn có thể tiếp tục di chuyển, đâm vào các cơ quan lân cận như gan, tụy hoặc các mạch máu lớn, gây xuất huyết ồ ạt trong ổ bụng.
Việc điều trị cho bà Mỹ gặp nhiều thách thức do bà có tiền sử bệnh tim mạch và đang sử dụng thuốc kháng đông mỗi ngày. Điều này làm tăng nguy cơ chảy máu trong phẫu thuật, nên không thể can thiệp ngay. Các bác sĩ buộc phải cho người bệnh ngưng thuốc kháng đông trong 5 ngày trước cuộc mổ, đồng thời điều trị kháng sinh phổ rộng để kiểm soát tình trạng nhiễm khuẩn, theo dõi sát dấu hiệu biến chứng.

Ca phẫu thuật diễn ra sau đó khá khó khăn. Dị vật đã đâm xuyên nhiều ngày, tạo khối áp xe và gây viêm dính, trong khi người bệnh vừa ngưng thuốc chống đông nên nguy cơ chảy máu vẫn cao. Khi bóc tách mô viêm để tìm dị vật, tình trạng chảy máu nhiều khiến việc xác định vị trí chính xác trở nên phức tạp. Sau gần hai giờ phẫu thuật, ê-kíp tìm thấy mảnh xương cá dài, xuyên qua mặt sau dạ dày vùng hang vị, nằm trong ổ áp xe. Các bác sĩ gắp dị vật ra ngoài, làm sạch mủ, lau rửa ổ bụng và cầm máu kỹ lưỡng. Lỗ thủng thành dạ dày nhỏ, đã được mô viêm bao bọc nên có khả năng tự lành. Sau phẫu thuật, bà Mỹ tiếp tục được điều trị bằng kháng sinh phổ rộng để kiểm soát nhiễm trùng.
Hậu phẫu, sức khỏe người bệnh dần ổn định, giảm đau rõ rệt, hết sốt, hết nôn ói. Sau hai ngày, bà có thể ngồi dậy, đi lại nhẹ nhàng và ăn cháo. Người bệnh được xuất viện sau 5 ngày điều trị.
“Rất may trường hợp này dị vật chưa gây viêm phúc mạc toàn thể”, bác sĩ Trường nói, thêm rằng, nếu xương cá đâm thủng ruột non, gây viêm phúc mạc, người bệnh buộc phải cắt bỏ một đoạn ruột.
Theo bác sĩ Trường, đối với trường hợp mắc xương cá, đa số dị vật sẽ mắc kẹt lại vùng hầu họng, thực quản hoặc ruột non. Tuy nhiên, trong một số ít trường hợp, xương cá cứng, sắc nhọn có thể đâm xuyên qua lớp cơ dày của thành dạ dày. Thống kê cho thấy, chỉ khoảng 1% các trường hợp dị vật đường tiêu hóa gây biến chứng thủng hoặc đâm xuyên.
Khi quá trình đâm thủng diễn ra từ từ, cơ thể có thể hình thành khối áp xe bao quanh, khiến triệu chứng không điển hình. Người bệnh thường chỉ đau âm ỉ vùng thượng vị, rất dễ nhầm với viêm loét dạ dày – tá tràng hoặc viêm tụy cấp, dẫn đến chậm trễ trong chẩn đoán.
Các bác sĩ khuyến cáo, khi có các dấu hiệu như đau bụng dữ dội, liên tục vùng trên rốn, bụng gồng cứng hoặc đau tăng khi ấn vào, kèm sốt, buồn nôn hoặc nôn mửa, người bệnh cần đến cơ sở y tế thăm khám ngay. Đặc biệt, nếu từng ăn cá hoặc thức ăn có xương, không nên chủ quan khi xuất hiện triệu chứng bất thường, bởi dị vật có thể gây ra những biến chứng nghiêm trọng, thậm chí đe dọa tính mạng.
(*) Tên bệnh nhân đã được thay đổi.
HỆ THỐNG BỆNH VIỆN ĐA KHOA TÂM ANH