Bà Hồng, 50 tuổi, thoái hóa khớp gối nặng trên nền viêm khớp dạng thấp, ròng rã 13 năm tự tìm cách chữa bệnh, vừa được thay khớp bằng robot thành công.

“Đây là trường hợp điển hình điều trị sai cách kéo dài, không chỉ làm bệnh ngày càng nghiêm trọng mà còn ảnh hưởng chức năng của nhiều cơ quan khác”, ThS.BS.CKI Đặng Khoa Học, Trưởng khoa Chấn thương Chỉnh hình Tổng quát, Bệnh viện Đa khoa Tâm Anh TP HCM cho biết.
Hơn 13 năm trước, khớp gối của bà Hồng đột nhiên sưng to, vô cùng đau nhức. Bà đã can thiệp hút dịch, cắt lọc nhưng tình trạng trở nên nghiêm trọng hơn khi các khớp khác cũng đồng thời sưng đau, không thể đi lại, phải nằm một chỗ. Bà Hồng chuyển sang tự điều trị bằng các loại thuốc bắc, thuốc gia truyền trong nhiều năm nhưng không cải thiện. Có lúc đau quá bà đi khám tại cơ sở y tế địa phương, được chẩn đoán viêm đa khớp dạng thấp và chỉ định dùng thuốc tây. Tuy nhiên, tác dụng phụ của thuốc gây đau dạ dày nên bà tự ý ngưng thuốc và tiếp tục dùng các loại rượu thuốc, thuốc tễ. Gần đây, khớp càng sưng đau không giảm, không thể đi lại bình thường nên bà đến khám tại Bệnh viện Đa khoa Tâm Anh TP HCM.
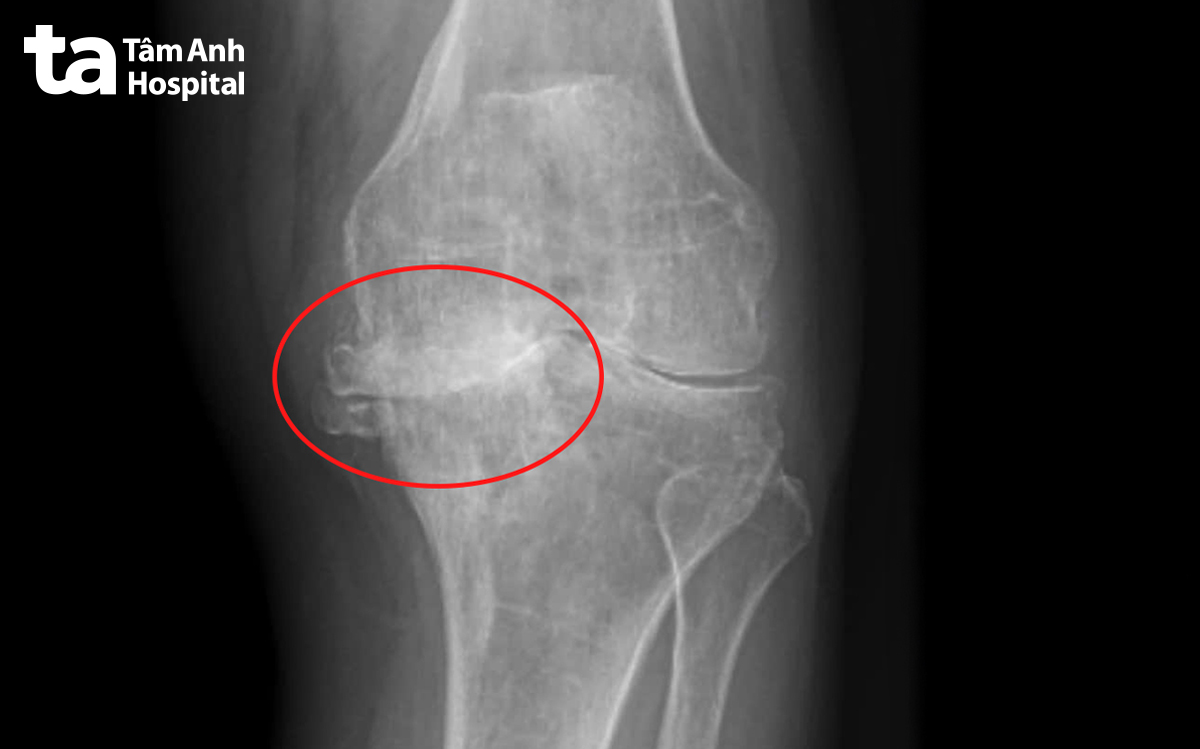
Kết quả chụp X-quang cho thấy khớp gối trái của người bệnh đã bị thoái hóa giai đoạn cuối trên nền viêm khớp dạng thấp, biến dạng nặng, vẹo trục 15 độ, mất hết sụn, tổn thương xương dưới sụn, mất xương mâm chày bên trong. Người bệnh còn bị suy giảm chức năng gan thận, dẫn đến bệnh thận mạn giai đoạn sớm do tự ý dùng nhiều thuốc trong thời gian dài.

Với tình trạng tổn thương và biến dạng khớp gối nặng, để đặt khớp nhân tạo chính xác, Bà Hồng được chỉ định thay khớp gối bằng robot CUVIS-Joint thế hệ mới, tích hợp trí tuệ nhân tạo, giúp tái tạo và định vị lại các cấu trúc giải phẫu khớp. Phần mềm chuyên dụng J-Planner của robot sử dụng hình ảnh CT 3D của người bệnh để phân tích hình thái xương, dựng hình, tái tạo các mốc giải phẫu như trước khi xảy ra tổn thương. Từ những thông số này, kế hoạch phẫu thuật trên không gian ba chiều được xây dựng với vị trí cắt xương, hướng cắt xương, trục chi, vị trí đặt khớp…
Bước vào ca mổ, bác sĩ đối chiếu các thông số trên kế hoạch với thực tế xương của người bệnh, cân bằng khe khớp và mô mềm, tối ưu trục chi… thông qua một “bản đồ GPS” do robot tạo ra. Sau khi thống nhất tất cả thông số, bác sĩ đặt lệnh cho robot tự thực hiện cắt xương theo kế hoạch, với độ chuẩn xác đến từng mm. Sau đó, các thành phần của khớp nhân tạo được đặt vào gần như vừa khít với xương đùi và xương chày của người bệnh.
Bác sĩ Học cho biết, nhờ vào sự chính xác trong các thao tác phẫu thuật, người bệnh bảo tồn được tối đa cấu trúc xương, hạn chế tổn thương mô mềm. Điều này giúp giảm đau, giảm biến chứng và phục hồi nhanh hơn sau phẫu thuật. Người bệnh có thể giảm liều các loại thuốc giảm đau và kháng viêm, sớm tập phục hồi chức năng, từ đó giảm ảnh hưởng đến chức năng gan thận. Ngày đầu tiên sau mổ, bà Hồng chỉ còn đau tại vị trí vết mổ. Ngày tiếp theo, người bệnh có thể đi lại ổn định với sự hỗ trợ của khung tập đi.

Ở người bệnh viêm đa khớp dạng thấp, hệ miễn dịch hoạt động một cách bất thường, nhận lầm các mô lành trong cơ thể là các yếu tố gây hại và tấn công chúng. Hậu quả là gây viêm bao hoạt dịch, khiến cho các khớp trở nên sưng, nóng, đỏ và đau. Đây là bệnh lý tự miễn mạn tính, không thể chữa khỏi hoàn toàn, nếu không được kiểm soát tốt, bệnh có thể dẫn đến các biến chứng nặng và tổn thương nhiều cơ quan khác, như mắt, tim, phổi, da, mạch máu…
Bác sĩ Học khuyến cáo, nếu người bệnh đi khám sớm và tuân thủ chỉ định điều trị của bác sĩ, có thể kiểm soát tốt các triệu chứng của bệnh, giúp giảm đau, cải thiện khả năng vận động và hạn chế ảnh hưởng đến các cơ quan khác. Những trường hợp đã được chẩn đoán mắc viêm khớp dạng thấp hoặc xuất hiện các bất thường ở hệ cơ xương khớp, nên sớm đến khám tại các cơ sở y tế chuyên khoa để kịp thời điều trị, đảm bảo chất lượng cuộc sống.
Hiện, Hệ thống Bệnh viện Đa khoa Tâm Anh đang tổ chức chương trình Tuần tư vấn “Robot AI thay khớp thế hệ mới đầu tiên tại Việt Nam: Chỉ định đúng, phẫu thuật an toàn, hiệu quả vượt trội” trên website chính thức của Bệnh viện Đa khoa Tâm Anh. Các câu hỏi của độc giả gửi về sẽ được giải đáp trực tiếp bởi các chuyên gia, bác sĩ từ Trung tâm Chấn thương Chỉnh hình. Độc giả quan tâm có thể tiếp tục gửi câu hỏi tại đây.
HỆ THỐNG BỆNH VIỆN ĐA KHOA TÂM ANH