Bà Mỹ (57 tuổi, Lâm Đồng) mắc bệnh xơ cứng bì do thừa collagen, điều trị 7 năm không hiệu quả, nay biến chứng nặng dẫn đến cụt ngón tay, tăng áp phổi và suy kiệt.

Bà Mỹ được chẩn đoán mắc bệnh xơ cứng bì, dạng toàn thể (Systemic Sclerosis) từ năm 2018, dù đã điều trị liên tục tại nhiều cơ sở trong 7 năm, bệnh không kiểm soát và tiến triển nặng. Bà từng nhiều lần nhập viện vì khó thở, đau buốt đầu ngón tay, ho kéo dài. Ngón tay, chân căng cứng, co rút gây khó khăn khi cầm nắm, vận động. Đầu ngón dễ tím tái, đau buốt từng cơn, đặc biệt khi tiếp xúc với nước lạnh hoặc căng thẳng. 4 ngón tay đã hoại tử phải cắt cụt. Người bệnh cũng sụt cân kéo dài, do ăn uống khó khăn vì rối loạn nhu động thực quản, gây cảm giác nghẹn, kèm ợ chua, mất ngủ vì ho khan và cảm giác “thở không nổi”.
Xơ cứng bì là bệnh tự miễn hiếm gặp và nguy hiểm, xảy ra khi hệ miễn dịch rối loạn, tấn công các mô khỏe mạnh. Tình trạng viêm mạn tính kích thích các tế bào sợi (fibroblast) tăng sinh collagen và gây xơ hóa mô. Xơ hóa này ảnh hưởng tới da, mạch máu và nhiều cơ quan nội tạng (phổi, tim, thận…), làm dày, cứng mô và giảm chức năng cơ quan. Tổn thương phổi kẽ (ILD) và tăng áp động mạch phổi (PAH) là hai nguyên nhân chính gây tử vong ở người mắc xơ cứng bì.
Khám tại Bệnh viện Đa khoa Tâm Anh TP.HCM (cơ sở phường Tân Hưng – Quận 7 cũ), bà Mỹ không thể đi bộ vì thở hụt hơi, nghẹn thở, đau rát trong lồng ngực, cơ thể suy kiệt, chỉ nặng 35 kg.
TS.BS Nguyễn Phúc Tân, khoa Miễn dịch Lâm sàng, nhận định tình trạng bệnh đã diễn tiến nặng, có thể đã có biến chứng lên phổi, mạch máu và nhiều cơ quan khác. Bác sĩ chỉ định bà tầm soát sức khỏe toàn diện – bước bắt buộc với người mắc xơ cứng bì toàn thể.
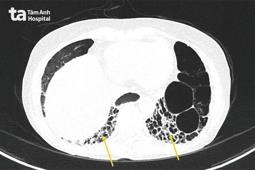
Kết quả cho thấy bệnh xơ cứng bì đã âm thầm phá hoại nhiều cơ quan, trong đó nghiêm trọng nhất là tăng áp động mạch phổi nặng với mức PAPs:78mmHg, cao gần gấp 3 lần so với mức bình thường và tổn thương phổi kẽ khiến giảm trao đổi oxy máu, gây khó thở dai dẳng. Người bệnh cũng có co thắt mạch máu ngoại biên (Raynaud) mức độ nặng, nguyên nhân trực tiếp gây hoại tử đầu ngón tay do máu không thể nuôi dưỡng các đầu chi. Đặc biệt, thăm khám phát hiện thực quản giãn đoạn ngực và giảm nhu động – biến chứng điển hình của xơ cứng bì theo hướng dẫn EULAR/ACR (Liên đoàn Chống Thấp khớp châu Âu/Hội Thấp khớp Hoa Kỳ), khiến thức ăn khó di chuyển xuống dạ dày, gây triệu chứng nghẹn, ứ đọng và trào ngược axit mạn tính, là lý do bà Mỹ sụt cân và suy kiệt kéo dài.

“Nếu không được theo dõi và điều trị đúng phác đồ, xơ cứng bì có thể tiến triển tới giảm chức năng phổi nghiêm trọng do tổn thương phổi kẽ và suy tim phải thứ phát do tăng áp động mạch phổi”, bác sĩ Tân nói.
Theo một phân tích tổng hợp quy mô lớn được đăng tải trên Thư viện Y khoa (NIH), tổng hợp 61 nghiên cứu dịch tễ từ khắp nơi trên thế giới, tỷ lệ lưu hành xơ cứng bì toàn thể được ước tính là khoảng 17,6 trường hợp/100.000 người, gặp ở nữ nhiều hơn nam và thường khởi phát ở tuổi 40-60.
Phần lớn các trường hợp không có tính chất gia đình, bệnh được xem là sự kết hợp giữa rối loạn miễn dịch, yếu tố di truyền làm tăng nguy cơ và các tác nhân môi trường. Hút thuốc, tiếp xúc dung môi công nghiệp hoặc bụi silica (bụi khoáng từ cát đá trong môi trường) là những yếu tố nguy cơ đã được ghi nhận trong nhiều nghiên cứu dịch tễ.
Hiện chưa có phương pháp hay loại thuốc nào có thể điều trị khỏi hoàn toàn bệnh xơ cứng bì. Tuy nhiên, một số loại thuốc có thể giúp kiểm soát các triệu chứng bệnh và ngăn ngừa biến chứng cho người bệnh. Bác sĩ Tân xây dựng phác đồ điều trị đa hướng để kiểm soát căn nguyên bệnh cũng như các biến chứng, gồm corticoid liều thấp, thuốc ức chế miễn dịch để giảm hoạt động tự miễn; thuốc giãn mạch ngoại biên và giãn mạch phổi nhằm kiểm soát tăng áp phổi và phòng suy tim. Song song, bà Mỹ được điều trị trào ngược dạ dày – thực quản, chăm sóc da, phục hồi tuần hoàn đầu ngón tay để tránh hoại tử mới. Người bệnh được điều trị nội khoa nâng thể trạng và theo dõi sát diễn tiến bệnh, khi tình trạng hô hấp cải thiện, bà tái khám và làm các xét nghiệm chuyên sâu mỗi tháng.
Trong một năm điều trị, tình trạng của bà Mỹ không ít lần diễn biến xấu, các đợt ho khan tăng lên khiến nguy cơ xơ hóa phổi kẽ tiến triển, hay các cơn Raynaud bùng phát làm tăng nguy cơ loét và hoại tử đầu chi. Mỗi lần xuất hiện biến chứng, bệnh nhân đều phải nhập viện để bác sĩ đánh giá lại chức năng hô hấp, tuần hoàn ngoại biên và điều chỉnh phác đồ điều trị dựa trên mức độ tổn thương phổi kẽ, mức độ tăng áp động mạch phổi và nguy cơ hoại tử đầu chi. Việc này rất quan trọng nhằm giữ an toàn tính mạng và kiểm soát tiến triển của người bệnh.
Hiện, tình trạng của bà Mỹ cải thiện rõ rệt, tăng áp phổi được kiểm soát, các đầu ngón không còn tím tái, da mềm hơn, giấc ngủ cải thiện… Quan trọng nhất, không xuất hiện ổ hoại tử mới và bệnh không tiến triển nặng. Người bệnh chỉ cần tái khám mỗi 2 tháng và điều trị duy trì.

Xơ cứng bì toàn thể hiện chưa có thuốc chữa khỏi hoàn toàn, người bệnh phải sống chung lâu dài. Tiên lượng phụ thuộc vào việc phát hiện sớm và điều trị đúng phác đồ, nếu kiểm soát tốt, bệnh có thể chậm tiến triển và hạn chế biến chứng nặng ở phổi, tim, thận hoặc đầu chi.
Để giảm nguy cơ biến chứng, bác sĩ Tân khuyến nghị người bệnh duy trì thói quen sống lành mạnh, không hút thuốc, giữ ấm tay chân để tránh hội chứng Raynaud, ăn uống điều độ và chia nhỏ bữa để giảm trào ngược, tập vận động nhẹ để duy trì linh hoạt khớp và tuần hoàn, theo dõi huyết áp định kỳ nhằm phát hiện biến chứng thận sớm.
Khi gặp các dấu hiệu như lạnh buốt đầu ngón tay, da dày cứng, nuốt nghẹn kéo dài, ợ chua mạn, ho dai dẳng hoặc khó thở không rõ nguyên nhân, người bệnh nên khám chuyên khoa Miễn dịch Lâm sàng để được xác định đúng bệnh và điều trị phù hợp. Bởi nhiều bệnh tự miễn nếu phát hiện trễ có thể dẫn đến suy tim, suy thận, suy hô hấp và hoại tử phải cắt chi.
HỆ THỐNG BỆNH VIỆN ĐA KHOA TÂM ANH