Ông Minh (58 tuổi, Hà Nội) nhiều lần nhập viện do tắc ruột, được phẫu thuật sau đó điều trị cải thiện nguyên nhân do nhiễm giun chó mèo.

Ông Minh bị đau bụng, nôn, chướng bụng, bí trung đại tiện, đi khám tại một bệnh viện phát hiện tắc ruột, được can thiệp phẫu thuật vào cuối năm 2023. Sau mổ, người bệnh tái phát tắc ruột nhiều lần, phải nhập viện điều trị nội khoa. Trong vòng 2 tháng, tình trạng bệnh vẫn tái diễn, ông tìm đến Bệnh viện Đa khoa Tâm Anh Hà Nội theo lời giới thiệu để gặp PGS Triệu Triều Dương với mong muốn tìm được nguyên nhân và điều trị khỏi.
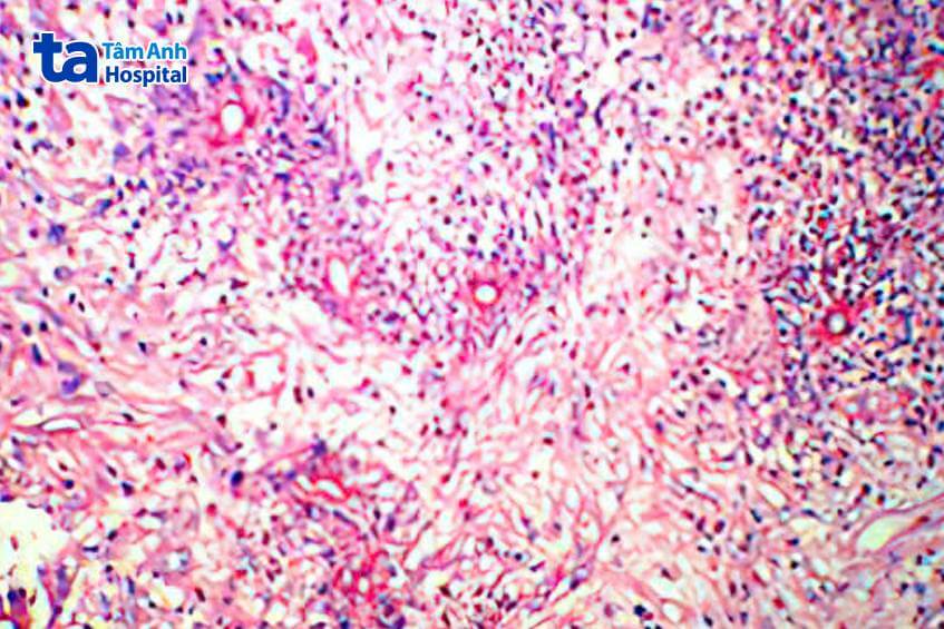
TTƯT.PGS.TS Triệu Triều Dương, Giám đốc chuyên môn Ngoại khoa, cho biết do người bệnh tái phát nhiều lần, bác sĩ hồi cứu lại quá trình mổ và kiểm tra bệnh phẩm được lưu giữ tại bệnh viện trước, hội chẩn cùng bác sĩ Giải phẫu bệnh, chỉ thấy hình ảnh viêm, không có hình ảnh ung thư đặc trưng. Khai thác kỹ tiền sử, gia đình ông Minh có nuôi nhiều thú cưng. Do đã nghỉ hưu, hàng ngày ông dành thời gian chăm sóc, vui chơi cùng vật nuôi. Bác sĩ nghi ngờ có tổn thương viêm do ký sinh trùng.
Kết quả xem xét tiêu bản dương tính với giun đũa chó mèo Toxocara, tổn thương nang dịch phù nề ruột non và mạc treo ruột non. Sau 3 tuần uống thuốc điều trị, ông Minh cải thiện sức khỏe, giảm đau, ăn uống trở lại, hết dịch ổ bụng và không còn tình trạng tắc ruột. Đầu tháng 12, sau gần 1 năm theo dõi thông qua tái khám định kỳ, sức khỏe ông Minh ổn định, không tái phát bệnh.

Toxocara là ký sinh trùng thuộc loại giun đũa chó mèo gồm giun đũa chó (Toxocara canis) và giun đũa mèo (Toxocara cati). Toxocara ký sinh ở ruột non vật chủ chó mèo khoảng 60 – 90 ngày kể từ khi ấu trùng giun xâm nhập, nở và trưởng thành. Giun cái có thể đẻ đến 200.000 trứng một ngày, trứng thải qua phân không có khả năng lây nhiễm, cần khoảng một tuần hoặc lâu hơn ủ bệnh trong đất để phát triển thành ấu trùng. Trứng phôi có thể tồn tại khả năng lây nhiễm trong môi trường trong vài năm.
Con người nhiễm bệnh do ăn phải trứng Toxocara phôi từ đất, hoặc ấu trùng từ nội tạng chưa nấu chín (chủ yếu là gan). Con người cũng có thể bị nhiễm bệnh do ăn phải ấu trùng có vỏ bọc trong mô sống hoặc chưa nấu chín của vật chủ như bò, đà điểu, gà, lợn; hoặc trái cây và rau quả bị ô nhiễm chưa rửa sạch. Tiếp xúc với trứng phôi trên lớp lông chó mèo hoặc chất thải của chúng cũng tăng nguy cơ nhiễm Toxocara. Sau khi ăn vào, trứng có phôi nở trong ruột non, giải phóng ấu trùng chưa trưởng thành, xâm nhập vào niêm mạc, di chuyển đến gan qua đường máu, di chuyển đến phổi, tim, hệ tuần hoàn, hệ thần kinh trung ương. Ấu trùng di chuyển và có thể tồn tại ở hệ tuần hoàn trong nhiều tháng hoặc vài năm, cho đến khi chúng bị giữ lại trong các mạch có kích thước nhỏ, tạo điều kiện xâm nhập vào các mô xung quanh. Ấu trùng cũng có thể xâm nhập qua da, nhất là da non. Toxocara tại da gây tổn thương có biểu hiện như nổi mề đay mạn tính, ngứa mạn tính, bệnh chàm hỗn hợp.

Số liệu từ CDC Hoa Kỳ cho thấy có tới 30% số chó trên 6 tháng tuổi có trứng Toxocara trong phân và 25% mèo bị nhiễm. Trên toàn cầu có khoảng 1,4 tỷ người nhiễm Toxocara, vùng nhiệt đới có độ ẩm cao có xu hướng nhiễm bệnh nhiều hơn các vùng ôn đới. Chó mèo phóng uế phân bừa bãi vào môi trường và các vật dụng có thể lây nhiễm trứng Toxocara, phát triển thành ấu trùng, tăng nguy cơ lây cho người qua đường ăn uống.
Theo PGS Triều Dương, phần lớn những người nhiễm Toxocara thường không có triệu chứng. Bệnh diễn tiến âm thầm, thường chỉ phát hiện nhiễm Toxocara khi đã có biến chứng như trường hợp của ông Minh. Các tổn thương Toxocara trên người hay gặp nhất là gan, phổi, hệ thần kinh trung ương và mắt. Tổn thương toàn thân do nhiễm Toxocara dễ bị bỏ sót trong chẩn đoán do nhầm lẫn với các bệnh thông thường như sốt, phát ban, ngứa, ho, có thể khò khè, khó thở… Ký sinh trùng ở đường tiêu hóa có biểu hiện đau bụng, chướng bụng, sốt, khó tiêu, buồn nôn… Tổn thương ở mắt thường gây kích ứng, đỏ mắt, nhìn thấy đốm hoặc tia sáng, mất thị lực, đồng tử có màu sắc bất thường. Bệnh thường chỉ ảnh hưởng đến một mắt. Theo PGS Dương, tổn thương do Toxocara ở ruột gây biến chứng tắc ruột của ông Minh là rất hiếm, ít được ghi nhận trên y văn thế giới.
Người bệnh có yếu tố nguy cơ hoặc có triệu chứng nghi ngờ mắc bệnh như phát ban gây ngứa, sốt, đau bụng, mệt mỏi… cần thăm khám sớm. Bác sĩ cần khai thác kỹ bệnh sử, hội chẩn với giải phẫu bệnh để không bỏ sót bệnh. Người bệnh có thể thực hiện xét nghiệm Test kháng nguyên, xét nghiệm chẩn đoán huyết thanh hoặc PCR. Các xét nghiệm, chụp chiếu đặc thù xác định tổn thương ở cơ quan đích như soi đáy mắt (u hạt làm biến dạng, bong tróc võng mạc gây mù lòa), chụp cắt lớp vi tính não, phổi (dạng nang đơn độc hoặc tập hợp nhiều nang), gan (các khoang áp xe hoặc dạng nang liên kết lại, kết tụ thành một ổ, một đám hoặc đơn độc).
Bệnh giun đũa chó mèo hiện vẫn là một vấn đề sức khỏe đáng quan tâm trên toàn thế giới, gây ra bệnh đa hệ thống, nhất là ở những người trẻ tuổi. Bệnh cần thời gian điều trị lâu dài, khó hồi phục khi ấu trùng xâm nhập nhiều cơ quan, có xu hướng ngày càng gia tăng. Trên toàn thế giới có khoảng 26 triệu con chó và 23 triệu con mèo bị nhiễm Toxocara. Những loại động vật này sẽ thải ra một lượng lớn trứng vào môi trường mỗi năm, gây ra nguy cơ lây nhiễm cho con người và sức khỏe cộng đồng. Việc chung sống với chó mèo làm tăng khả năng lây truyền Toxocara, nhất là tiếp xúc với chó mèo nhiễm bệnh, đặc biệt là chó con, mèo con.
Theo Số liệu từ Công ty Euromonitor tại Việt Nam hiện có khoảng 28 triệu thú cưng, trong đó 11,8 triệu chó và mèo với tốc độ tăng trưởng hàng năm trên 6,8%, tương ứng với khoảng 20% hộ gia đình nuôi. Đối tượng nuôi thú cưng hiện nay phần lớn là giới trẻ. Mọi người thường có thói quen ôm ấp, ngủ cùng, hoặc trong quá trình chăm sóc không mang găng tay… Với chó mèo nuôi để trông nhà, người dân thường thả rông khiến chúng phóng uế bừa bãi, tăng nguy cơ nhiễm giun chó mèo từ đất trồng sang rau củ. Trẻ nhỏ cũng thường đưa vào miệng những vật dụng trên nền nhà, hoặc chơi đùa với thú cưng, nghịch đất cát nhưng không rửa tay sạch tăng nguy cơ nhiễm ấu trùng giun chó mèo.
PGS Triều Dương khuyến cáo, nhiều người có thói quen nuôi thú cưng trong nhà hoặc sống ở vùng có nhiều người nuôi thú cưng ít chú ý đến dự phòng nhiễm giun sán, dẫn đến nhiễm bệnh, gặp biến chứng ảnh hưởng đến sức khỏe mới phát hiện và điều trị. Những gia đình nuôi thú cưng được xem là yếu tố nguy cơ đáng kể. Việc giáo dục hành vi có vai trò quan trọng giảm nguy cơ nhiễm Toxocara: cần thực hiện ăn chín uống sôi, không nên ăn thịt sống hoặc nấu chưa chín kỹ; không nên ăn rau sống được tưới bằng nước thải ô nhiễm hoặc trồng trên đất có nguy cơ cao nhiễm trứng Toxocara; nấu hoặc rửa kỹ bằng nước sạch trước khi chế biến đồ ăn.
Hiện nay do chưa có phương pháp hiệu quả để giảm gánh nặng trứng trong môi trường nên việc ngăn ngừa ô nhiễm môi trường ban đầu vô cùng quan trọng. Người dân nên đưa chó hoặc mèo của gia đình đi khám, điều trị ký sinh trùng, nhất là khi chúng còn nhỏ hoặc đang mang thai, cho con bú vì chó mèo con có tải lượng ký sinh trùng hoạt động cao nhất, nhằm giảm số lượng trứng truyền nhiễm ra môi trường. Mọi người nên vệ sinh tay sau khi tiếp xúc thú cưng hoặc các động vật khác, sau các hoạt động ngoài trời và trước khi chế biến thực phẩm hoặc ăn uống.
Thay quần áo, có bảo hộ khi chơi; tiếp xúc hay dọn vệ sinh chuồng chó, mèo và nơi phóng uế; quản lý phân rác từ chó mèo, vật dụng có thể lây nhiễm; Giảm tiếp xúc với đất bị ô nhiễm; khi làm việc với đất cần đeo găng tay và rửa tay sau khi làm việc. Người dân nên xét nghiệm và tẩy giun cho người trong gia đình và vật nuôi định kỳ theo hướng dẫn của y tế.
*Tên người bệnh đã được thay đổi.
HỆ THỐNG BỆNH VIỆN ĐA KHOA TÂM ANH