Ông Kiên, 85 tuổi, sốt lạnh run, ho nhiều kèm khó thở tăng dần, bác sĩ phát hiện thuyên tắc phổi do các cục máu đông lấp đầy nhiều nhánh động mạch phổi.

TS.BS Chu Thị Hà, Đơn vị Hô hấp, Phòng khám Đa khoa Tâm Anh Quận 7, cho biết thuyên tắc phổi là tình trạng nguy hiểm, nếu không được chẩn đoán và điều trị kịp thời sẽ gây gián đoạn dòng máu đến phổi, dẫn đến thiếu oxy toàn thân, tụt huyết áp, rối loạn nhịp tim, choáng, ngất, ngừng tim và tử vong.
Ông Kiên có tiền sử mắc bệnh phổi tắc nghẽn mạn tính. Khai thác bệnh sử, ông bắt đầu ho cách thời điểm nhập viện khoảng 10 ngày. Ba ngày sau, người bệnh xuất hiện sốt nhẹ, ho đờm vàng tăng dần, mệt mỏi, uể oải, kèm theo thở khò khè. Khi nhập viện, ông Kiên khó thở, có dấu hiệu co kéo nhẹ các cơ hô hấp phụ – biểu hiện người bệnh phải gắng sức nhiều hơn bình thường để hít thở. Khám phổi ghi nhận ran ngáy hai bên, cho thấy đường dẫn khí ở phế quản bị thu hẹp.
Khi đến bệnh viện, bác sĩ chỉ định thực hiện các cận lâm sàng điện tim, siêu âm tim, chụp X-quang ngực thẳng và xét nghiệm nhằm đánh giá tình trạng nhiễm trùng, chức năng gan – thận, men tim, điện giải, D-Dimer (chất báo động cục máu đông). Xét nghiệm D-Dimer cần thiết để kiểm tra cục máu đông, đặc biệt quan trọng với người lớn tuổi nhiều bệnh nền (hô hấp, tim mạch, đái tháo đường). Song song đó, người bệnh được phun khí dung thuốc giãn phế quản và điều trị triệu chứng.
Kết quả xét nghiệm cho thấy D-Dimer tăng nhẹ (trên 500 ng/mL). Trên cơ sở triệu chứng lâm sàng và tiền sử bệnh, ông Kiên được chẩn đoán đợt cấp bệnh phổi tắc nghẽn mạn tính. Ông Kiên còn mắc nhiều bệnh nền khác như tăng huyết áp, rối loạn lipid máu, rối loạn giấc ngủ. Ông được điều trị ngoại trú bằng kháng sinh, kháng viêm, long đàm, giãn phế quản và hẹn tái khám sau 3 ngày.
Tuy nhiên ông Kiên tái khám muộn 6 ngày. Tại lần tái khám, ông vẫn còn ho, khó thở giảm nhưng hay mệt. Xét nghiệm D-Dimer cho thấy chỉ số tiếp tục tăng so với 6 ngày trước. Trước diễn tiến này, bác sĩ chỉ định chụp cắt lớp vi tính (CT) Triple Rule Out có tiêm thuốc cản quang, lát cắt siêu mỏng, tái tạo đa thì.
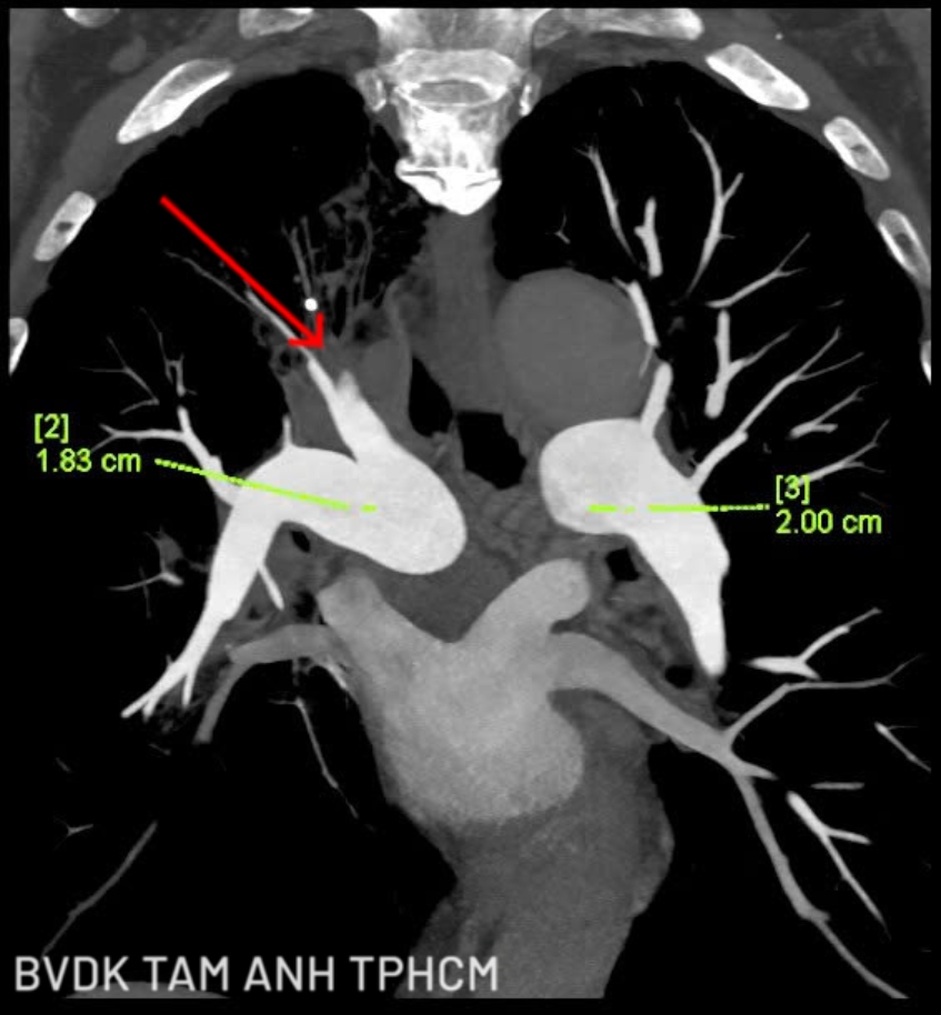
Đây là kỹ thuật chẩn đoán hiện đại giúp đánh giá đồng thời ba nguyên nhân nguy hiểm thường có biểu hiện tương tự nhau là thuyên tắc phổi, bệnh mạch vành và bóc tách động mạch chủ. Kết quả ghi nhận mảng xơ vữa gây hẹp 50–60% động mạch liên thất trước, xơ vữa dọc thành động mạch chủ; đặc biệt, huyết khối lấp hoàn toàn nhánh A1, A2 và đoạn xa của một phân nhánh A3 động mạch phổi phải. Ông Kiên được chẩn đoán thuyên tắc phổi trên nền COPD đợt cấp bội nhiễm, kèm nhiều bệnh lý tim mạch và chuyển hóa.

Sau hội chẩn, bác sĩ chỉ định ông Kiên tiêm thuốc chống đông trong 8 ngày, sau đó chuyển sang thuốc kháng đông đường uống, phối hợp điều trị kháng sinh, thuốc giãn mạch vành, chống kết tập tiểu cầu, hạ mỡ máu, long đàm, giãn phế quản, thuốc điều trị trào ngược dạ dày – thực quản và thuốc kiểm soát huyết áp. Sau 12 ngày điều trị tích cực, tình trạng khó thở và đau ngực cải thiện rõ, sức khỏe ổn định, ông được xuất viện.
Theo bác sĩ Hà, có nhiều yếu tố có thể dẫn đến hình thành huyết khối ở phổi như trường hợp ông Kiên, bệnh lý nền như COPD làm thay đổi áp lực lồng ngực và ảnh hưởng đến chức năng bơm máu của tim, trong khi tiền sử tổn thương thành mạch do xơ vữa, phẫu thuật, đặt stent, ít vận động, nằm ngồi lâu gây ứ trệ dòng máu ở người. Ngoài ra, ung thư, bệnh tự miễn, suy giãn tĩnh mạch chi dưới cũng làm tăng nguy cơ thuyên tắc. “Đây là một trong những nguyên nhân gây tử vong hàng đầu do tim mạch, chỉ đứng sau nhồi máu cơ tim và đột quỵ”, bác sĩ Hà nói.

Bác sĩ cho biết thêm, triệu chứng thuyên tắc phổi rất đa dạng, từ khó thở khi gắng sức hoặc ngay cả lúc nghỉ ngơi, đau ngực, ngất xỉu, đến ho ra máu, chóng mặt, vã mồ hôi, sốt, tím tái. Một số trường hợp diễn tiến âm thầm, nhưng cũng có trường hợp triệu chứng xuất hiện đột ngột và rất nặng.
Người bệnh, đặc biệt là người cao tuổi có nhiều bệnh nền, cần tuân thủ chặt chẽ phác đồ điều trị, dùng thuốc đúng chỉ định và tái khám đúng hẹn. Khi xuất hiện các đợt cấp trên nền bệnh mạn tính, người bệnh tuyệt đối không tự ý ngưng thuốc hoặc trì hoãn tái khám, vì các triệu chứng có thể chồng lấp, dễ che lấp những biến chứng nguy hiểm như thuyên tắc phổi.
HỆ THỐNG BỆNH VIỆN ĐA KHOA TÂM ANH