Đến cấp cứu tại Trung tâm khám chữa bệnh Tâm Anh quận 7 vì đau bụng và nôn ói, chị Thùy, có thai 5 tuần, được phát hiện xoắn buồng trứng và được chuyển đến bệnh viện mổ ngay trong đêm. Người phụ nữ hiếm muộn được phẫu thuật bảo tồn buồng trứng, giữ thai nhi an toàn, xuất viện khỏe mạnh.

Ngày 25/10, BS.CKII Nguyễn Bá Mỹ Nhi, giám đốc Trung tâm Sản Phụ khoa, BVĐK Tâm Anh TP HCM, cho biết xoắn buồng trứng khi mang thai như chị Thùy là một biến chứng ít gặp, dễ gây sảy thai, mất một buồng trứng.
Xoắn buồng trứng là tình trạng cấp cứu, việc phẫu thuật được khuyến khích thực hiện càng nhanh càng tốt để khôi phục lại lưu lượng máu cho buồng trứng. Nếu phát hiện trễ hơn, lưu lượng máu đến buồng trứng bị suy giảm gây ra phù nề mô đệm, nhồi máu xuất huyết và hoại tử. Khi đó, bác sĩ phải thực hiện phẫu thuật cắt một buồng trứng, sức khỏe thai bị đe dọa do thiếu hụt nội tiết đột ngột.
“Việc phẫu thuật cắt bỏ buồng trứng có tác động xấu đến khả năng sinh sản”, bác sĩ Mỹ Nhi cho biết.
Chỉ trong vòng chưa đầy một giờ khám tại phòng cấp cứu và chẩn đoán cận lâm sàng, các bác sĩ chẩn đoán chính xác nguyên nhân gây đau bụng cấp. Ngay sau đó, chị Thùy được phẫu thuật nội soi bảo tồn buồng trứng thành công. Quan sát trong lúc mổ, sau tháo xoắn mạch máu nuôi ổn định, buồng trứng hồng trở lại. Quy trình chẩn đoán sớm, chuyển viện và phẫu thuật kịp thời đã giúp người bệnh tránh nguy cơ phải cắt một buồng trứng.

Trước đó, chị Thùy, 30 tuổi, ngụ tại Huế bị vô sinh 4 năm không rõ nguyên nhân. Sau hai lần thực hiện bơm tinh trùng vào tử cung (IUI) ở Huế thất bại, chị đến TP HCM, điều trị hiếm muộn tại một phòng mạch tư nhân. Bác sĩ cho chị uống thuốc 5 ngày, 6 ngày tiêm thuốc kích trứng, khuyến khích vợ chồng quan hệ tự nhiên để mang thai. Chị Thùy tuân thủ, có thai, khi thai được 5 tuần thì đau bụng mỗi lúc tăng dần kèm nôn ói được người nhà đưa đi cấp cứu lúc nửa đêm tại Trung tâm khám chữa bệnh Tâm Anh quận 7.
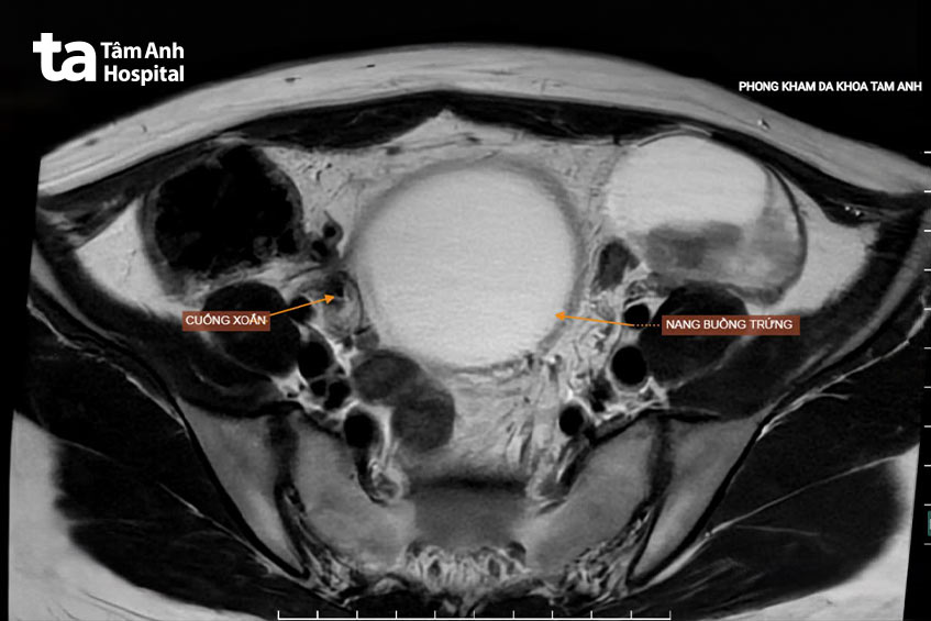
BS.CKI Hồng Văn In, Trưởng đơn vị Cấp cứu, cho biết dấu hiệu lâm sàng cho thấy chị Thùy xoắn buồng trứng. Kết quả chẩn đoán hình ảnh bệnh nhân phì đại buồng trứng hai bên, trong đó buồng trứng phải rất to, kích thước 10x12x12 cm, gấp 5 lần bình thường (kích thước buồng trứng trung bình cỡ 2x2x3 cm).
Theo bác sĩ In, chị Thùy bị xoắn buồng trứng bên phải, tức một bên buồng trứng xoắn xung quanh các dây chằng giữ nó. Bệnh có thể liên quan đến hội chứng quá kích buồng trứng sau dùng thuốc kích trứng trong quá trình điều trị hỗ trợ sinh sản, có khả năng đe dọa tính mạng với tỷ lệ mắc là 0,02% trong thai kỳ.
Chị Thùy được chuyển viện bằng xe cấp cứu từ Trung tâm khám chữa bệnh Tâm Anh quận 7 đến BVĐK Tâm Anh TP HCM. Bác sĩ trực của Trung tâm Sản Phụ khoa đã chờ đón và hội chẩn gấp ngay tại phòng cấp cứu, đánh giá cần phẫu thuật nội soi ngay để cứu buồng trứng và thai nhi cho người mẹ hiếm muộn. Chỉ trong 5-7 phút sau phẫu thuật, vòi trứng và buồng trứng đã hoàn toàn hồng hào trở lại. Chị Thùy không còn tình trạng đau bụng và nôn, thai kỳ vẫn tiến triển, xuất viện ngày 22/10.

Theo ThS.BS Nguyễn Hữu Trâm Em, Phó Tổng Giám đốc kiêm Phụ trách chuyên môn Trung tâm khám chữa bệnh Đa khoa Tâm Anh Quận 7, ca cấp cứu và phẫu thuật của chị Thùy là trường hợp điển hình cho thấy thế mạnh của mô hình cấp cứu đa chuyên khoa và xử lý liên viện của Hệ thống Bệnh viện Đa khoa Tâm Anh.

Với đặc thù là trung tâm phục vụ khám sức khỏe, khám và chữa bệnh trong ngày, cấp cứu đa khoa và cấp cứu đột quỵ, lọc máu và chạy thận không lưu bệnh nội trú, Tâm Anh Quận 7 có hàng chục chuyên khoa, gần 130 phòng khám và phòng chức năng, được đầu tư rất lớn cho những điều kiện khám tầm soát chuyên sâu công nghệ cao ở tất cả các chuyên khoa, tương đương tại các bệnh viện chuyên khoa lớn.
Đặc biệt, trung tâm triển khai cấp cứu đa khoa, cấp cứu đột quỵ hiện đại và quy mô lớn bậc nhất thành phố. Khu cấp cứu trang bị đầy đủ giường, máy móc, thiết bị chuyên dụng, siêu âm tại giường, máy sốc tim, máy CT 32 lát cắt… có khả năng giải quyết hầu hết nhu cầu xử trí ban đầu, quy trình khép kín ngay tại chỗ. 100% bác sĩ cấp cứu có thể sử dụng được máy siêu âm và các thiết bị hiện đại. Các máy CT 768 lát cắt, MRI 3 Tesla hiện đại phục vụ đánh giá nhanh đột quỵ trong cấp cứu đột quỵ.
Bệnh nhân cấp cứu sẽ được siêu âm ngay tại giường cấp cứu, hoặc siêu âm chuyên sâu, với hệ thống máy móc cận lâm sàng hiện đại như máy CT 36 lát cắt, máy X-quang để chụp những tình huống cần kỹ thuật cao tại chỗ…
“Đây là mô hình hiếm có ở Việt Nam, vì thường cấp cứu sẽ đưa đi các khu vực chức năng, nhưng ở đây chúng tôi có thể giải quyết hết các nhu cầu cơ bản, với quy trình khép kín, từ toàn diện đến chuyên sâu”, bác sĩ Trâm Em cho biết, thêm rằng người bệnh cần điều trị chuyên sâu sẽ được chuyển viện trong cùng Hệ thống Bệnh viện Đa khoa Tâm Anh (cơ sở Quận 8 và Tân Bình).

Theo bác sĩ Trâm Em, từ ngày khai trương đến nay, Trung tâm khám chữa bệnh Tâm Anh Quận 7 đã tiếp nhận cấp cứu và xử trí gần 3.000 ca. Trong đó, 40% là bệnh nhân đột quỵ não, nhồi máu cơ tim, ngừng thở ngưng tim, chấn thương do tai nạn… cần xử trí nhanh tránh nguy cơ tử vong. 60% còn lại là các cấp cứu thường quy khác, như viêm dạ dày cấp, viêm ruột thừa cấp, đau bụng cấp, co giật ở trẻ em, thai ngoài tử cung, ngộ độc hóa chất/thực phẩm, bỏng, điện giật, sốc phản vệ…
*Tên nhân vật đã được thay đổi
HỆ THỐNG BỆNH VIỆN ĐA KHOA TÂM ANH