TP HCM – Tuấn, 16 tuổi, gần đây mỏi mệt, đau bụng, sờ thấy khối sưng ở vùng dưới sườn trái, đi khám bác sĩ phát hiện lách to bất thường.

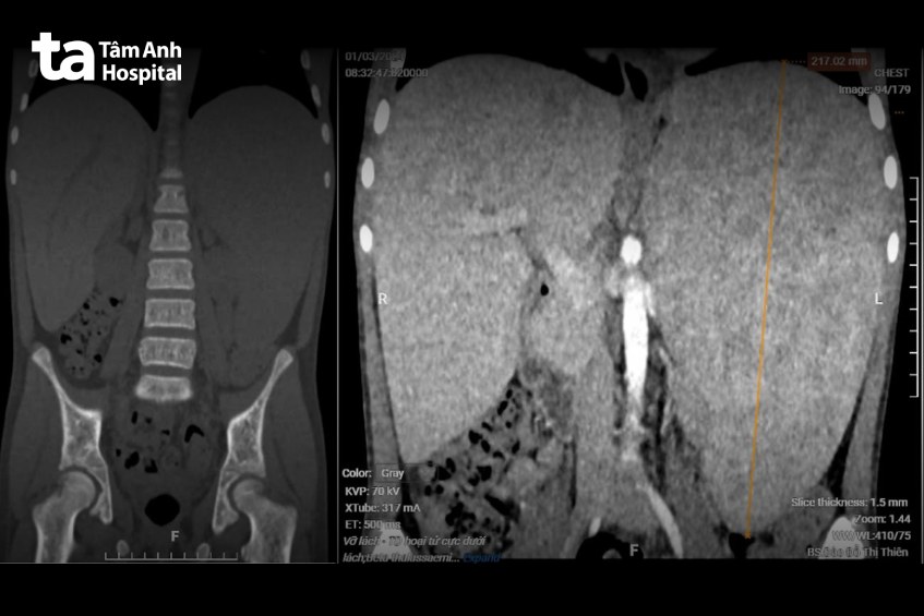
Ngày 2/1, Tiến sĩ bác sĩ Phạm Công Khánh, Trưởng khoa Gan – Mật – Tụy, Trung tâm Nội soi và Phẫu thuật Nội soi Tiêu hóa, Bệnh viện Đa khoa Tâm Anh TP HCM cho biết kết quả chụp cắt lớp vi tính (CT) cho thấy lách người bệnh to độ 4 (mức độ cao nhất), với chiều cao của lách là hơn 21 cm (bình thường khoảng 7-14 cm). Vùng dưới lách còn có mảng tổn thương kích thước dài gần 5 cm, nghi ngờ nhồi máu lách.
“Lách to là diễn biến thường gặp của người mắc bệnh thiếu máu bẩm sinh (bệnh beta thalassaemia)”, bác sĩ Khánh cho biết, thêm rằng lách càng to người bệnh phải truyền máu càng nhiều. Nguy cơ cao xảy ra biến chứng như nhồi máu lách, vỡ lách gây chảy máu ổ bụng, đe dọa tính mạng. Cắt lách là chỉ định cần thiết để giảm nhu cầu truyền máu cho bệnh nhân, đồng thời phòng ngừa biến chứng nguy hiểm.
Gia đình cho biết Tuấn vốn mắc bệnh thiếu máu bẩm sinh, phải theo dõi sức khỏe định kỳ hàng tháng. Mỗi năm Tuấn phải truyền khoảng 36 đơn vị máu (tương đương 9 lít máu). Người bệnh còn bị lupus ban đỏ và đang theo dõi hội chứng kháng phospholipid (rối loạn miễn dịch), thiếu canxi máu do chế độ ăn uống.

Người bệnh được chỉ định phương pháp phẫu thuật nội soi cắt lách. Bác sĩ thám sát ổ bụng ghi nhận lách to ngang mào chậu, không có dịch. Tiến hành phẫu tích hậu cung mạc nối, kiểm soát bó mạch lách gần đuôi tụy, cắt dây chằng lách – đại tràng, di động lách ra khỏi đuôi tụy, trụ hoành bên trái, mặt dưới gan trái. Bác sĩ tiếp tục cắt dây chằng hoành lách, thận lách; đưa lách vào bao bệnh phẩm và đưa ra ngoài qua đường rạch da khoảng 3 cm quanh rốn.
Quá trình phẫu thuật khó khăn do tĩnh mạch lách rất lớn 1,2-1,5 cm, nguy cơ chảy máu cao trong quá trình phẫu tích động mạch và tĩnh mạch lách. Lách lại sưng rất to, chiếm nhiều không gian trong ổ bụng, dính với nhiều cơ quan xung quanh. “Người bệnh đã từng có 1 lần nhồi máu lách nên quá trình di động lách còn là một thử thách lớn”, bác sĩ Khánh nói.
Ngay trước mổ, các bác sĩ Gan – Mật – Tụy hội chẩn sâu với chuyên khoa Huyết học, người bệnh được khám tiền mê, chuẩn bị và truyền đủ máu, huyết tương tươi đông lạnh (2 đơn vị huyết tương). Ngoài ra trước đó hai tuần, do lách vốn đảm nhiệm chức năng sản xuất kháng thể bảo vệ cơ thể trước nguy cơ nhiễm trùng nên người bệnh cũng được chích ngừa phế cầu, não mô cầu và haemophilus influenzae nhằm tăng cường hệ miễn dịch sau phẫu thuật.
Sau mổ, sức khỏe Tuấn dần hồi phục, ít đau, có thể ăn uống, vận động bình thường trở lại. Dự kiến xuất viện sau mổ 5 ngày. Bác sĩ theo dõi sau mổ và đánh giá cuộc mổ an toàn, người bệnh không cần theo dõi thêm về ngoại khoa nhưng tiếp tục tái khám và điều trị với bác sĩ chuyên khoa Huyết học.

Bác sĩ Công Khánh cho biết, lách là một cơ quan nhỏ, nằm dưới vòm hoành trái. Kích thước lách của mỗi người không giống nhau, thông thường, lách có chiều cao khoảng 70-140 mm. Cắt lách được chỉ định trong các trường hợp xuất huyết giảm tiểu cầu vô căn, áp xe lách, u nang lách, lách phì đại, vỡ lách do chấn thương… Sau phẫu thuật, người bệnh phải tuân thủ hướng dẫn của bác sĩ về phòng ngừa, bảo vệ cơ thể trước những biến chứng tiềm ẩn có thể xảy ra.
(*) Tên bệnh nhân đã được thay đổi
HỆ THỐNG BỆNH VIỆN ĐA KHOA TÂM ANH