Mắc u xơ tử cung 3 năm không điều trị, khối u to và chèn ép tĩnh mạch chậu, thuyên tắc phổi khiến chị Mai nguy hiểm tính mạng.

Chị Trúc Mai (39 tuổi, Tân Bình) biết mình có khối u xơ tử cung 3 năm nhưng không theo dõi và khám phụ khoa định kỳ. Khoảng 6 tháng nay bụng chị to dần, rong kinh mỗi khi tới tháng.
Ngày 13/7, chân trái của chị sưng, đau, người mệt, khó thở tăng dần được người nhà đưa vào BVĐK Tâm Anh TP HCM cấp cứu.

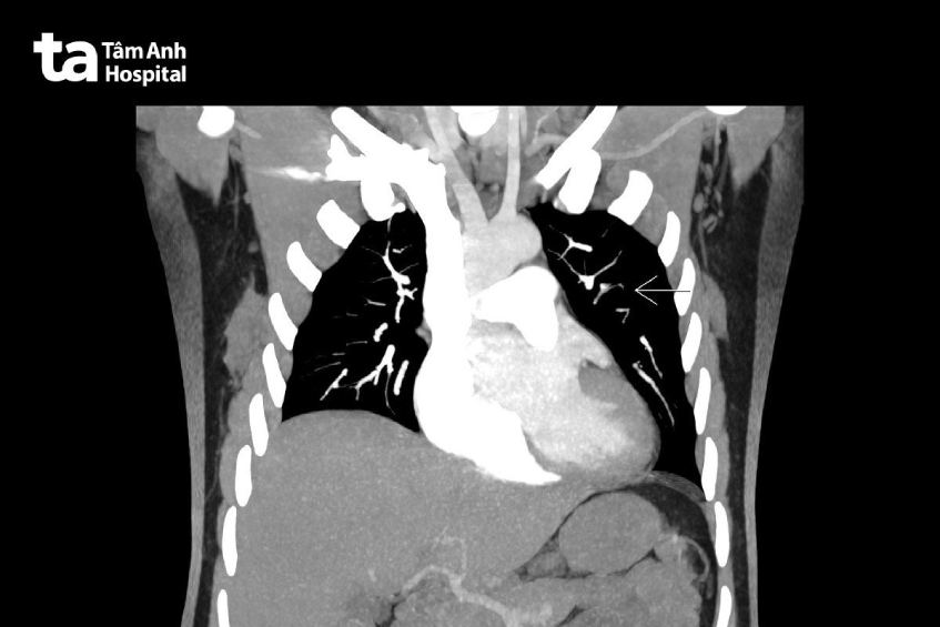
Tại đây, kết quả siêu âm cho thấy huyết khối kèm u xơ tử cung rất lớn, to bằng thai 30 tuần, thiếu máu nặng. Xét nghiệm máu, chỉ số hemoglobin còn 7g/dl (nữ bình thường là 12.5 – 14.2g/dl), phải truyền máu khẩn cấp. Người bệnh được chỉ định CT tiêm thuốc cản quang phát hiện, u xơ tử cung chèn ép dãn niệu quản và ứ nước thận phải, có huyết khối ở tĩnh mạch 2 chân, có huyết khối trong động mạch phổi.

BS CKII Nguyễn Bá Mỹ Nhi, Giám đốc Trung tâm Sản Phụ khoa, BVĐK Tâm Anh TP HCM cho biết, bác sĩ sản khoa và tim mạch hội chẩn, xác định sức khỏe chị Mai nguy hiểm do hiệu ứng chèn ép của khối u xơ lớn, dẫn đến ứ trệ tĩnh mạch vùng chậu và hai chi dưới, hình thành huyết khối, nguyên nhân chính gây thuyên tắc mạch phổi với triệu chứng khó thở. Nếu không điều trị, người bệnh có thể đột tử.
Xác định đây là trường hợp khó, hiếm gặp, bệnh viện tiến hành hội chẩn nhiều chuyên khoa, lên phương án điều trị cho người bệnh. Trước phẫu thuật, bệnh nhân được truyền máu bổ sung, sử dụng thuốc kháng đông ngăn ngừa sự hình thành huyết khối. Bác sĩ Trung tâm Tim mạch tiến hành can thiệp đặt lưới lọc vào tĩnh mạch chủ (IVCF) ngăn chặn tình trạng di chuyển huyết khối từ 2 chân và tĩnh mạch chậu về buồng tim và tuần hoàn phổi.
Khoảng 24h sau, ê kíp Sản khoa tiến hành phẫu thuật cắt u xơ tử cung. Ca mổ này giúp giải quyết tình trạng u xơ tử cung gây rong kinh khiến người bệnh suy nhược, thiếu máu đồng thời giải ép không để khối u đè vào tĩnh mạch vùng bụng – chậu.

“Người bệnh đã có nhiều cục huyết khối tự do trong cơ thể, khi phẫu thuật cắt u xơ tử cung, tư thế nằm phẫu thuật đầu thấp hơn chân, huyết khối có thể tràn về tim, gây thuyên tắc huyết khối, có thể đột tử. Ca mổ nguy cơ xuất huyết do bệnh nhân sử dụng thuốc kháng đông”, bác sĩ Mỹ Nhi cho biết.
Gần 2 giờ phẫu thuật căng thẳng, ekip đã cắt bỏ tử cung, khối u nặng 2,3kg, người bệnh bảo tồn được 2 buồng trứng. Sau mổ, bệnh nhân tiếp tục theo dõi tại Trung tâm Tim mạch.
Bác sĩ Mỹ Nhi khuyến cáo, u xơ tử cung là căn bệnh lành tính nhưng cần theo dõi định kỳ 6 tháng/lần. Khối u to có thể chèn ép nhiều cơ quan khác nhau như bàng quang, niệu quản, trực tràng, tĩnh mạch. Phụ nữ mắc bệnh cần đi khám ngay khi có biểu hiện bụng to, rong kinh, băng huyết, đau vùng bụng chậu, sưng chi, khó thở…