Đau thắt lưng âm ỉ gần một năm nay, chị Ngà nghĩ đau xương khớp do tập luyện thể thao, mới đây đi khám bác sĩ phát hiện có khối u “khổng lồ” sau phúc mạc.

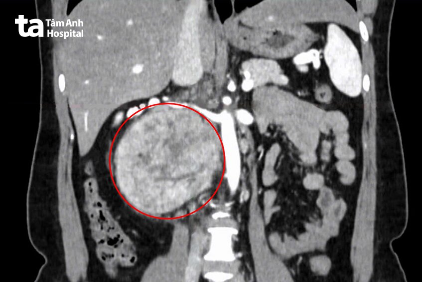
“Khối u rất lớn, kích thước 12 cm nằm sau tĩnh mạch chủ, cạnh động mạch và hai tĩnh mạch thận, gây chèn ép các cơ quan lân cận, chúng tôi phải tiến hành mổ mở để lấy trọn khối u một cách tốt nhất cho người bệnh”, TS.BS Nguyễn Hoàng Đức, Trưởng khoa Tiết niệu, Trung tâm Tiết niệu – Thận học – Nam khoa, Bệnh viện Đa khoa Tâm Anh TP.HCM, cho biết.
Một năm nay, chị Ngà bị đau thắt lưng phải, nhưng nghĩ do bản thân luyện tập thể thao nhiều nên gây đau nhức cơ xương khớp. Đi khám tại một phòng khám xương khớp, bác sĩ chẩn đoán bị thoát vị đĩa đệm, chị được điều trị nội khoa (bằng thuốc), tuy nhiên cơn đau không thuyên giảm.
2 tuần trước, chị Ngà đến Bệnh viện Đa khoa Tâm Anh TP.HCM khám sức khỏe tổng quát, kết quả chụp cắt lớp vi tính (CT Scan) vùng bụng phát hiện một khối u rất lớn ở vùng sau phúc mạc – là những khối u bất thường xuất hiện giữa khoang ổ bụng và cột sống lưng, thường phát sinh từ mô, thần kinh, tế bào mầm hoặc các nang sau phúc mạc.
Do khối u lớn, nằm ở vị trí phức tạp không thể phẫu thuật nội soi hoặc nội soi robot, bác sĩ Đức cùng êkip bác sĩ khoa Tiết niệu gồm BSNT.CKI Châu Minh Duy, ThS.BS.CKII Phạm Thanh Trúc quyết định thực hiện phẫu thuật mổ mở cho chị Ngà.

Ca mổ diễn ra trong vòng 3 giờ, êkip đã tiếp cận khối u, bóc tách toàn bộ ruột non và ruột già dính ở phía trước và phía sau khối u, bóc tách động mạch, tĩnh mạch chủ, đảm bảo cắt trọn khối u an toàn mà không làm tổn thương các mạch máu và các cơ quan lân cận. Sau mổ, giải phẫu bệnh cho kết quả bệnh Castleman, dạng mạch hyalin hóa – một nhóm các rối loạn tăng sinh lympho mạn tính ít gặp.
Theo bác sĩ Đức, bệnh thường biểu hiện bằng các hạch bạch huyết to không đau, nên trước đây được gọi là bệnh hạch bạch huyết “khổng lồ”. Hiện nguyên nhân và cơ chế gây bệnh Castleman chưa rõ ràng, trong những năm gần đây, các nghiên cứu cho thấy có vai trò của virus human herpesvirus-8 (HH-8), Kaposi sarcoma herpesvirus (KSHV) cũng như Human immunodeficiency virus (HIV), đặc biệt trong bệnh Castleman thể lan tỏa.

Bệnh Castleman khó chẩn đoán, chỉ được xác định bằng kết quả giải phẫu bệnh sau phẫu thuật hoặc sinh thiết hạch. Bệnh có hai thể gồm thể khu trú và thể lan tỏa. Thể khu trú (đơn tổn thương) điều trị bằng phẫu thuật là đủ. Thể lan tỏa (đa cơ quan) phải điều trị kết hợp nhiều phương pháp.
Nhiều người mắc bệnh Castleman nhưng ít xuất hiện triệu chứng, đôi khi cảm thấy căng tức vùng ngực, bụng, khó thở, ho, mệt mỏi, sốt, giảm cân đột ngột, một số thấy hạch sưng to ở cổ, nách, hoặc bẹn. Bác sĩ Đức lưu ý người dân nên có thói quen đi khám bệnh định kỳ để kịp thời phát hiện bệnh, điều trị sớm để đạt hiệu quả tốt nhất.
HỆ THỐNG BỆNH VIỆN ĐA KHOA TÂM ANH