Bà Thanh, 61 tuổi, sau thay khớp, có thể tự bước đi sau một năm di chuyển bằng xe lăn hoặc cà lết bằng hai tay do thoái hóa khớp gối.

Bà Thanh bị đau khớp gối và đi đứng bất tiện sau một tai nạn vào nhiều năm trước. Tình trạng ngày càng nghiêm trọng, gây đau nhiều và chân phải không thể đi được, gần như dựa hoàn toàn vào chân trái. Bà đã cố gắng điều trị bằng nhiều phương pháp như uống thuốc đông y, tây y, tiêm khớp,… ai mách gì, đều làm theo nhưng không cải thiện. Một năm gần đây, bà không thể tự đi lại được, khi di chuyển phải ngồi xuống lết bằng hai tay hoặc dùng xe lăn.
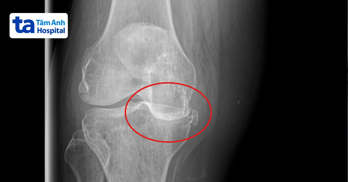
Kết quả chụp X-quang tại Bệnh viện Đa khoa Tâm Anh TP HCM cho thấy chân phải của bà Thanh bị lỏng lẻo dây chằng, thoái hóa khớp gối giai đoạn cuối, sụn khớp tiêu biến hoàn toàn khiến hai đầu xương khớp gối va chạm vào nhau khi di chuyển. Tình trạng này kéo dài gây biến dạng khớp, chân phải vẹo trong nặng, gối ưỡn khoảng 45 độ.
ThS.BS.CKII Trần Anh Vũ, Trưởng khoa Y học thể thao & Nội soi, Trung tâm Chấn thương Chỉnh hình, cho biết ở trường hợp bà Thanh, phẫu thuật thay khớp gối là phương pháp duy nhất có thể giải phóng người bệnh khỏi đau đớn và khôi phục khả năng vận động. Nếu tiếp tục kéo dài, người bệnh đối mặt với nguy cơ thoái hóa chân trái nhanh hơn do chân này phải gánh thêm trọng lực cho chân phải. Trong nỗ lực giảm đau và cố gắng đi lại, người bệnh thay đổi dáng đi, khiến khung chậu bị lệch, lâu dài có thể gây vẹo cột sống. Bước đi không ổn định còn có thể gây té ngã, dẫn đến các chấn thương nặng như gãy xương, trật khớp. Người bệnh phải dùng thuốc kháng viêm và giảm đau liên tục, ảnh hưởng nhiều đến chức năng gan, thận và gây viêm dạ dày.

Trong mổ, bác sĩ tiếp cận khớp gối phải thông qua một đường rạch da khoảng 8 cm. Sau đó thay thế các phần sụn và xương bị hư hỏng bằng các vật liệu nhân tạo. Bà Thanh được phẫu thuật với khớp gối nhân tạo fix bearing. Kỹ thuật tập trung vào lựa chọn sụn nhân tạo phù hợp cả về độ dày và hình dạng để tái tạo chức năng, sự vững chắc và biên độ vận động tự nhiên của khớp gối. Từ đó cố định khớp ở cả 4 phía trước, sau và trong, ngoài, đảm bảo sự cân bằng dây chằng cả khi gấp và duỗi gối. Điều này giúp khớp hoạt động êm ái, người bệnh có thể đi lại một cách vững vàng; giảm mài mòn và kéo dài tuổi thọ khớp nhân tạo lên đến hơn 20 năm.
Ngày đầu sau mổ, lần đầu tiên sau 5 năm, bà Thanh có thể gấp duỗi và đứng chịu lực trên chân phải, chân thẳng ra rõ rệt. Bà bắt đầu tập đi lại vào ngày tiếp theo. Sau thời gian dài bị giới hạn vận động, để có thể đi lại tự nhiên, bà Thanh cần tích cực tập vật lý trị liệu và phục hồi chức năng. Tiên lượng sau 1,5 tháng, người bệnh có thể tự đi lại mà không cần dụng cụ hỗ trợ.

Bác sĩ Vũ cho biết, thoái hóa khớp gối do tai nạn (thoái hóa khớp thứ phát) là tình trạng sụn khớp bị mài mòn, tổn thương nhanh chóng sau chấn thương như gãy xương, đứt rách dây chằng hoặc vỡ sụn chêm… Nếu không được điều trị đúng cách, các tình trạng này có thể gây đau nhiều, làm biến dạng khớp, hạn chế vận động, thậm chí là tàn tật. Do đó, khi xảy ra chấn thương, người bệnh nên đến khám tại các bệnh viện có chuyên khoa để được điều trị kịp thời.
HỆ THỐNG BỆNH VIỆN ĐA KHOA TÂM ANH